67 yo F h/o breast ca., HTN, DM II w/ 3+ proteinuria. C3 low. UIFE w/ 1 IgG K & 1 free K. FLC 8.81.
What's the underlying condition?
A. Diabetic nephropathy
B. Membranous glomerulopathy
C. Amyloidosis
D. Dense deposit disease (DDD)

Answer
D: Dense deposit disease (DDD)
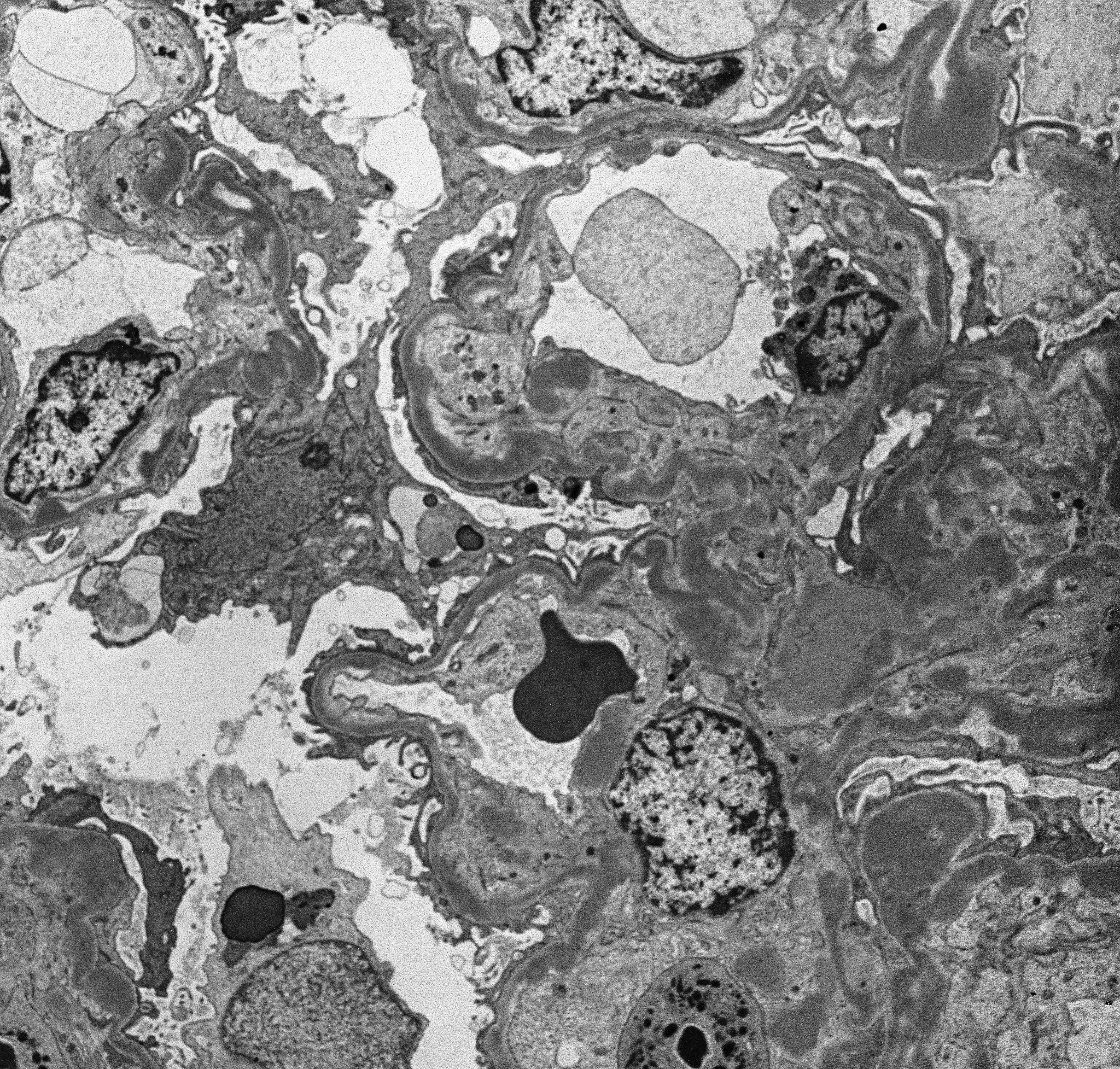
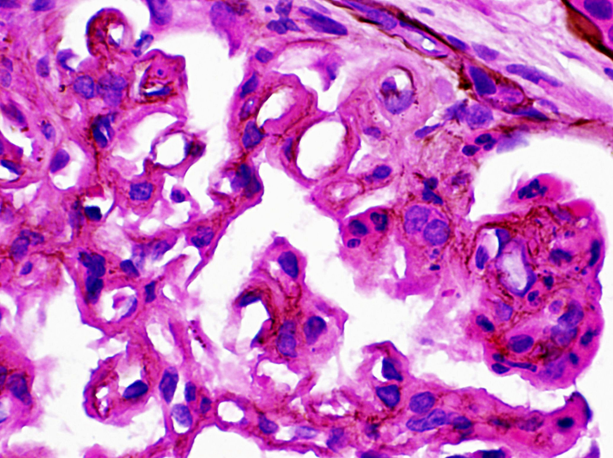
DDD, previously known as membranoproliferative glomerulonephritis (MPGN) type II, is now considered a subtype of C3 glomerulopathy, as MPGN pattern of glomerular injury, characterized by diffuse splitting of the glomerular basement membranes and mesangial hypercellularity with or without endocapillary hypercellularity (Fig A & B), is identified only in one third of the patients with DDD and is therefore misleading. The defining feature of DDD is ultrastructural finding of continuous, ribbon like, predominantly intramembranous, segmental subendothelial and mesangial globular intensely electron-dense deposits (fig: 4), from where the disease derives its name. These deposits show strong staining for C3 with absent or minimal staining for immunoglobulins and C1q, by immunofluorescence (Fig: 3).
In view of the clinical history of severe proteinuria there was a strong clinical suspicion of secondary membranous glomerulopathy due to possibility of recurrent carcinoma or amyloidosis due to paraproteinemia. Although less likely, but diabetic nephropathy was also in the differential due to nephrotic range proteinuria and history of long standing diabetes. However, the renal biopsy showed classic features of DDD. DDD was not in the clinical differential as it primarily affects children and young adults and is very rare in old age. Interestingly in more than 70% of the cases, occurring in old age, there is a concomitant diagnosis of monoclonal gammopathy of undermined significance (MGUS). It is hypothesize that monoclonal proteins somehow alter regulation of alternative complement pathway, a pathogenetic mechanism involved in the development of dense deposit disease, in younger ages. Thus DDD in older patients may represent an uncommon complication of MGUS.
Reference:
Sethi S et al. Dense deposit disease associated with monoclonal gammopathy of undetermined significance. Am J Kidney Dis. 2010 Nov;56(5):977-82. doi: 10.1053/j.ajkd.2010.06.021.
Contributed by: Dr. Huma Fatima