Explore UAB

Fig131 year old man with an enlarging. painful mass at the apex of the gluteal cleft. Gross exam shows a 7.1 cm multinodular solid mass.

What's the underlying condition?

A. Spindle cell melanoma
B. Solitary fibrous tumor
C. Pigmented dermatofibrosarcoma protuberans
D. Cutaneous leiomyosarcoma



 Fig 3

Answer

The answer is “C” Pigmented dermatofibrosarcoma protuberans

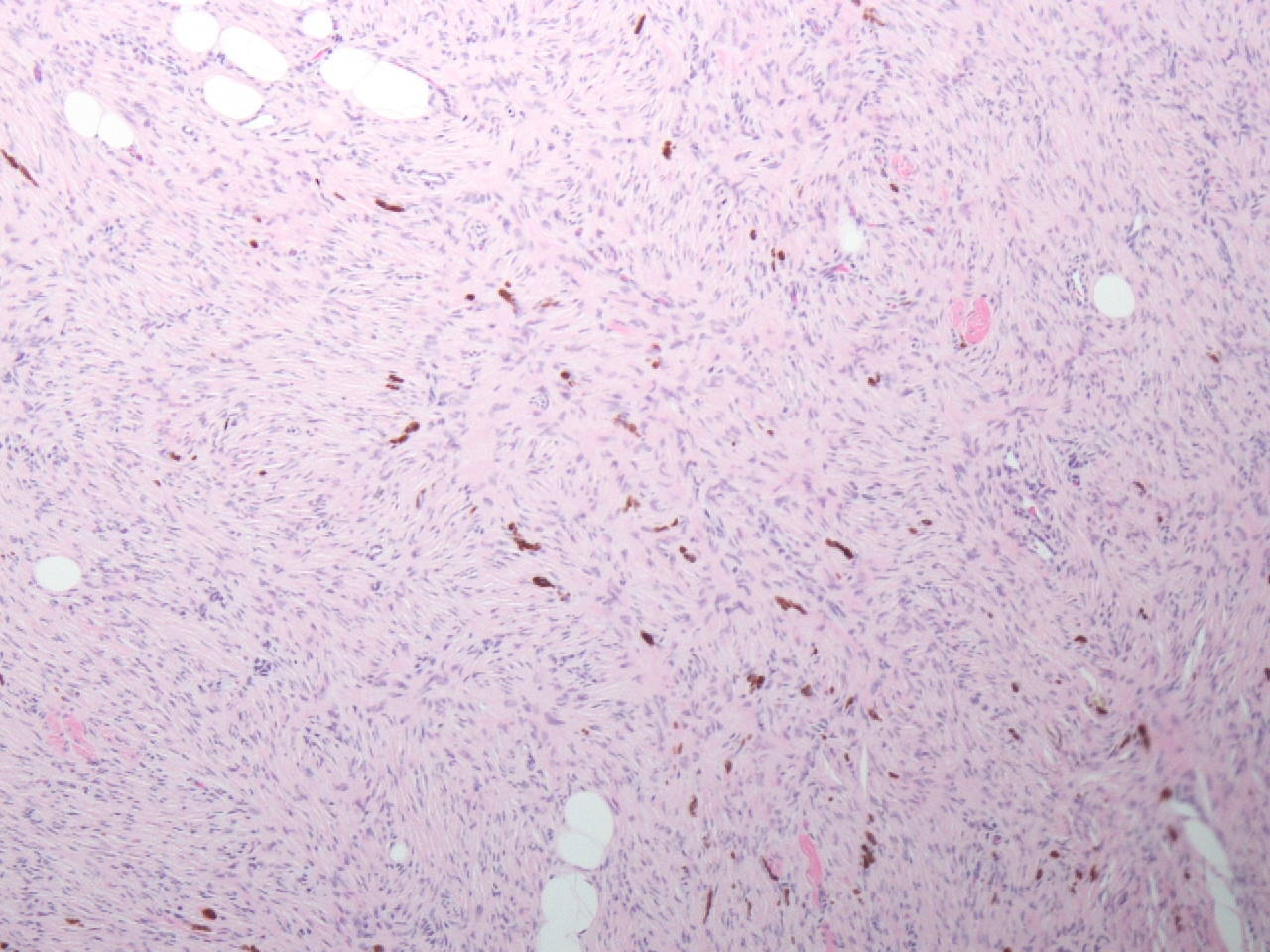
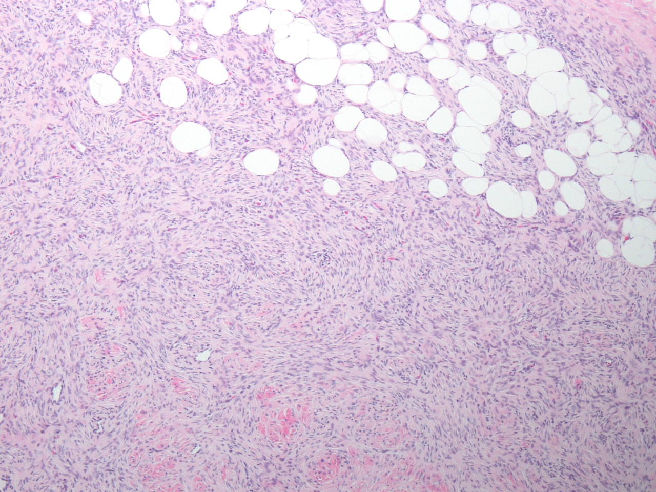
Fig 4Sections show a cutaneous and subcutaneous spindle cell tumor. It is densely cellular and has an obvious storiform pattern. In the deeper aspects of the resection tumor infiltrates between adipocytes creating in some areas a “lace like pattern.” Pigmented cells are present raising the specter of spindle cell melanoma however the tumor is S-100 negative. A smooth muscle actin immunostain is also negative. The positive immunostain is CD34. The pigmented cells are dendritic melanocytes that are hypothesized to colonize the tumor. The vast majority of these tumors contain a Col1A-PDGFR fusion that is the pathogenic driver genomic alteration

McKee PH, Calonje E, Granter SR. Pathology of the skin: with clinical correlations. Vol 2 pg 1729-38. 3rd ed. Edinburgh: Philadelphia, USA; 2005.

 Contributed by Thomas Winokur, M.D.