Case History
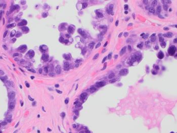
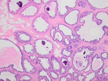
A 51-year-old female presented with extensive microcalcification in the left breast. The morphology of the partial mastectomy is shown in the figures. ER was positive in 50% of the lesional cells.

What is the diagnosis?
A. Apocrine ductal carcinoma in situ
B. Apocrine metaplasia
C. Cystic hypersecretory intraductal carcinoma
D. Secretory carcinoma
Correct Answer: C. Cystic hypersecretory intraductal carcinoma
Case contributed by: Xiao Huang, M.D., Ph.D., Assistant Professor, Anatomic Pathology, UAB Pathology