Case History
A 74-year-old male with 2 cm gastric mass.


Which of the following workups should be performed?
A. CD3 and CD20
B. MMR and EBER
C. GATA3, ER and HER2
D. CK7 and CK20
Correct answer: B. MMR and EBER
Discussion:
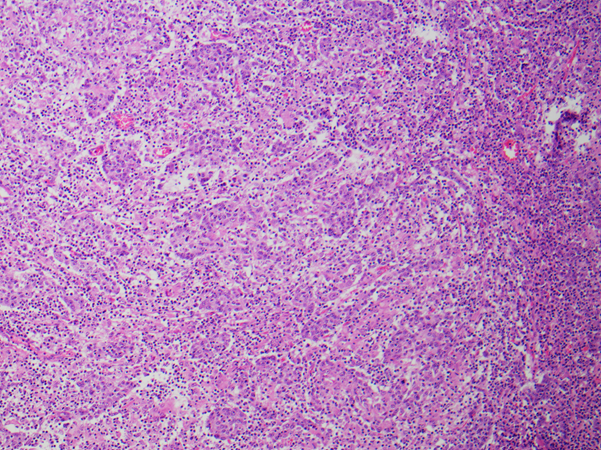
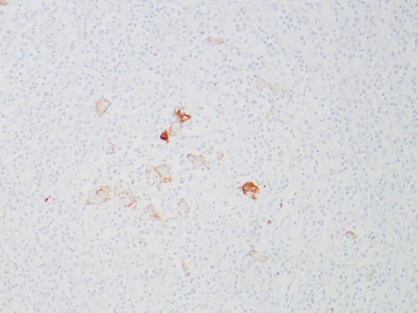
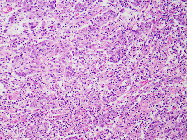
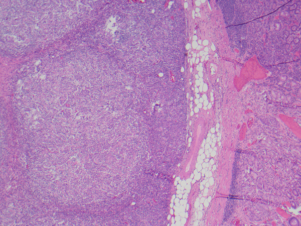
Gastric (adeno)carcinoma with lymphoid stroma is a subtype of gastric carcinoma which has been reported to account for 1 to 7% of gastric carcinomas. This subtype is also referred to as lymphoepithelioma-like carcinoma and medullary carcinoma, and is characterized by irregular sheets, trabeculae or syncytia of polygonal cells embedded within a prominent lymphocytic infiltrate. This tumor is strongly associated with EBV infection and microsatellite instability which are mutually exclusive. PD-L1 is usually overexpressed.
Case contributed by: Behiye Goksel, M.D., Assistant Professor, Anatomic Pathology, UAB Pathology