Case History
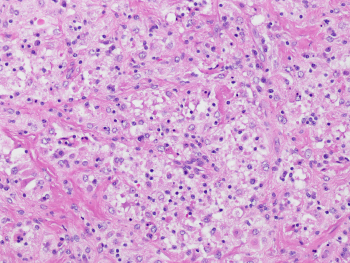
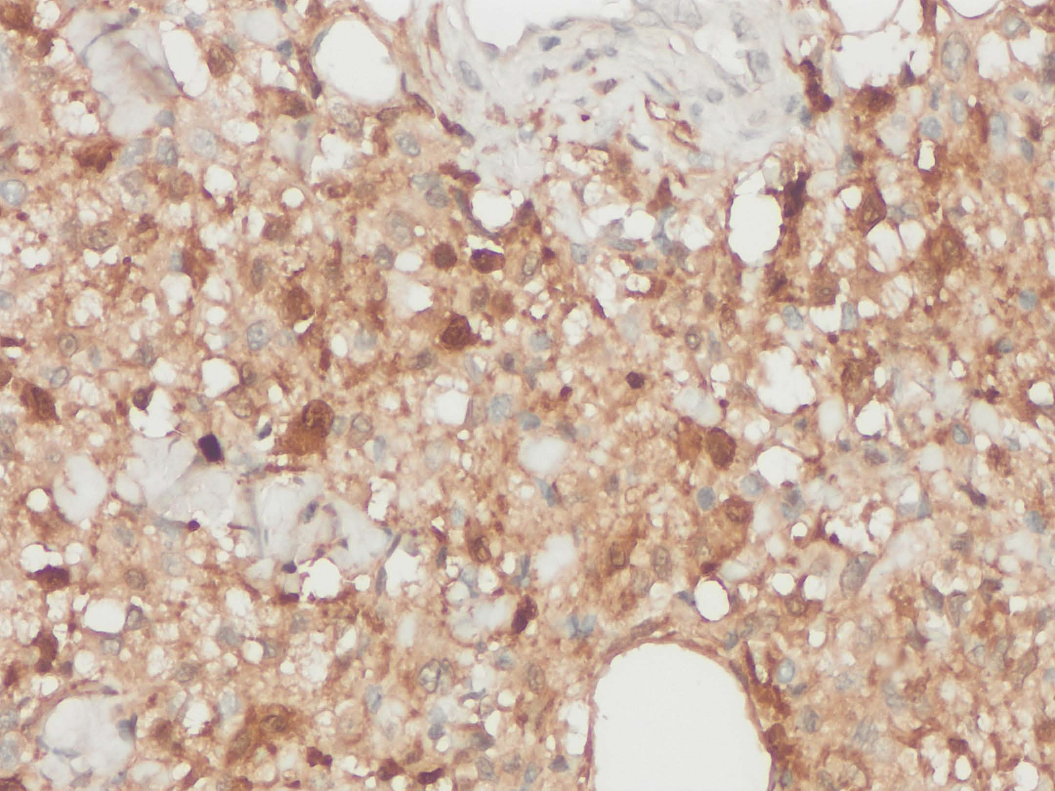
A 60 year-old male presented with multiple skin lesions which was biopsied (figure). Wokup revealed the lesional cells positive for OCT2, CD68, & negative for MelanA/HMB45/SOX10.

Which molecular pathway is involved in this disease pathogenesis?
A. JAK-STAT pathway
B. NF-kB pathway
C. Wnt signaling pathway
D. MAPK pathway
Correct answer: D. MAPK pathway
Discussion:
This is a case of Rosai-Dorfman Disease (RDD) that are characterized by enlarged round to oval nuclei, pale chromatin, conspicuous nucleoli, and abundant pale eosinophilic cytoplasm. By immunohistochemistry, the RDD cells are positive for histiocytic markers (CD68, CD163), S100, and OCT2. Approximately 50% of these RDD cases harbor MAPK pathway gene mutations, most common being KRAS, NRAS and MAP2K1 (PMID: 37167084).
The remaining pathways (option A to option C) are not involved in RDD pathogenesis.
Case contributed by: Aishwarya Ravindran, M.D., Assistant Professor, Laboratory Medicine, UAB Pathology