| 2006 Case #11 | ![]() |
|
|
We hope you have enjoyed the 2006 series of live cases each week from Peru. The Gorgas Diploma Course runs annually in February and March and we will be in touch at the beginning of next year’s case series. In addition to the 2006 cases on the Gorgas website, the 2005 case series is now available for full CME credit at no charge at the UAB School of Medicine's Division of Continuing Medical Education. |
|
History: 40 yo male patient admitted with a 5 year history of recurrent painless skin ulcers. The first lesion appeared on the left leg, followed over the next four months by similar lesions on the extremities and the back. All these lesions followed the same clinical course: an initial red papule evolving to a painless, non-pruritic ulcer [Image A shows typical early ulcer] with raised margin over the course of weeks. No biopsy or cultures were obtained but the lesions responded well to a 20-day course of pentavalent antimony for presumed cutaneous leishmaniasis. In the ensuing years, multiple similar lesions have appeared on the extremities and the back which have resolved subsequent to at least two more empiric courses of pentavalent antimony, with the most recent course 6 months ago. Over the last several months new lesions have appeared on the face and some of the current lesions are at the site of previous scars. Epidemiology: The patient was born and lives in La Merced (high jungle of Peru) and works collecting gold from local rivers. One malaria episode 8 years ago. He has had multiple sexual relationships over many years. He reports one episode of thoracic herpes zoster 6 years ago. No known TB exposure. Physical Examination: Afebrile, normal vital signs. Twenty-four inactive scars were found (6 on the right arm, 6 on the left arm, 4 on the left leg, 4 on the right leg, and 4 on the back). Eight active ulcerative lesions were found including several in healed scars: on the face (2) [Image B], right elbow (1), right leg (1), left arm (2) [Image C], left thigh (1), and left leg (1) [Image D]. Full ENT evaluation of the oral and nasophyarngeal surfaces was normal. Multiple non-tender cervical nodes were found, no hepatosplenomegaly. Laboratory Examination: Hematocrit 37%, WBC 9900, 8% eos, normal biochemistry. Stools positive for strongyloides and hookworm with no larvae in the sputum. VDRL, Hepatitis B and Hepatitis C serology was negative.
|
| Diagnosis: Refractory Leishmania braziliensis with HIV co-infection. |
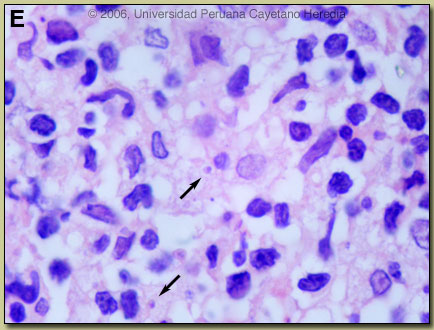
Discussion: A giemsa stained direct smear from skin scrapings was negative. A dense inflammatory reaction mainly composed of lymphocytes and histiocytes is observed in the H&E stained biopsy of a skin lesion [Image E], with typical intracellular amastigotes of Leishmania (indicated by arrows). Results of a cervical node biopsy are pending. Promastigotes of Leishmania were isolated from culture on NNN media of the aspirate. PCR for speciation is pending but L. braziliensis is the only leishmanial species present in this area of the jungle. HIV positive and HTLV-1 negative. The patient had not previously been tested for either. CD4 count 370.
In South America it is important to distinguish Leishmania species that cause only cutaneous disease from the mucocutaneous species. Both typically cause one or a few initial skin lesions that are ulcerative but painless in nature. However, with L. braziliensis (the mucocutaneous species), severe destructive recurrence may occur in the mucosal surfaces of the naso- and oropharynx from months to years after treatment or healing of the skin ulcers. In this part of the world the vector is the Lutzomyia sandfly. This case represents relapsing and refractory cutaneous disease with multiple lesions in a patient with Leishmania/HIV co-infection. Extensive visceral disease, sometimes with cutaneous or mucosal lesions, that is refractory to treatment is a major problem in parts of the world where HIV and visceral leishmaniasis (L. donovani, L. chagasi, and L. infantum) overlap [see WHO: Leishmaniasis and HIV co-infection]. In southern Europe co-infection results in a large burden of disease in intravenous drug users. In marked contrast, visceral or widespread cutaneous disease due to cutaneous and mucocutaneous species (e.g., L. major, L. tropica, L. peruviana, L. braziliensis) are uncommonly reported so that the full spectrum of clinical manifestations of co-infection is uncertain. In South America, HIV is mostly found in coastal urban areas and leishmania mostly in more remote jungle areas in the interior. The epidemiology from Brazil has been reported [Rabello A, Orsini M, Disch J. Leishmania/HIV co-infection in Brazil: an appraisal. Ann Trop Med Parasitol. 2003;97(Suppl 1):S17-S28]. In the largest clinical case series of 9 cutaneous cases in South America [Couppie P, Clyti E, Sobesky M, et al. Comparative study of cutaneous leishmaniasis in human immunodeficiency virus (HIV)-infected patients and non-HIV-infected patients in French Guiana. Br J Dermatol. 2004;151(6):1165-71], HIV co-infected patients were noted to have 3-9 ulcerative lesions each, only moderate immune compromise (CD4 >200), but a negative Leishmanin skin test. All required multiple aggressive courses of therapy and frequently relapsed. However, widely disseminated or visceralizing disease seems to be rare or does not occur. Limited experience in Peru indicates that co-infected patients rarely respond to antimony therapy. This clinical syndrome due to HIV co-infection should be distinguished from DCL or diffuse cutaneous leishmaniasis, which has been well described throughout central/south America and the Caribbean, and is usually due to L. amazonensis or L. mexicana. DCL patients have multiple and widespread lesions which are exclusively nodular or infiltrative in nature and which do not ulcerate. Such DCL patients are anergic to leishmanial antigen and have a negative leishmanin skin test which may account for the lack of ulcerative disease. The specific pathophysiology of DL is not yet defined. In this patient, a Leishmanin skin test was negative. This suggests weak specific cell-mediated immunity to Leishmania as does the appearance of new ulcers in apparently healed old scars. Nevertheless, the finding that the lesions (including the new lesion in Image A) do ulcerate at all (cf DCL) indicates that some cell-mediated immunity is taking place even if weakened by the moderate immunosuppression due to HIV co-infection. Treatment with amphotericin B has been started in our patient and the strongyloides infection is being treated with ivermectin. HAART therapy according to the Peruvian national program will be started immediately upon completion of the amphotericin.
|


Discussion: A giemsa stained direct smear from skin scrapings was negative. A dense inflammatory reaction mainly composed of lymphocytes and histiocytes is observed in the H&E stained biopsy of a skin lesion [Image E], with typical intracellular amastigotes of Leishmania (indicated by arrows). Results of a cervical node biopsy are pending. Promastigotes of Leishmania were isolated from culture on NNN media of the aspirate. PCR for speciation is pending but L. braziliensis is the only leishmanial species present in this area of the jungle. HIV positive and HTLV-1 negative. The patient had not previously been tested for either. CD4 count 370.