Explore UAB

Latest News August 02, 2023

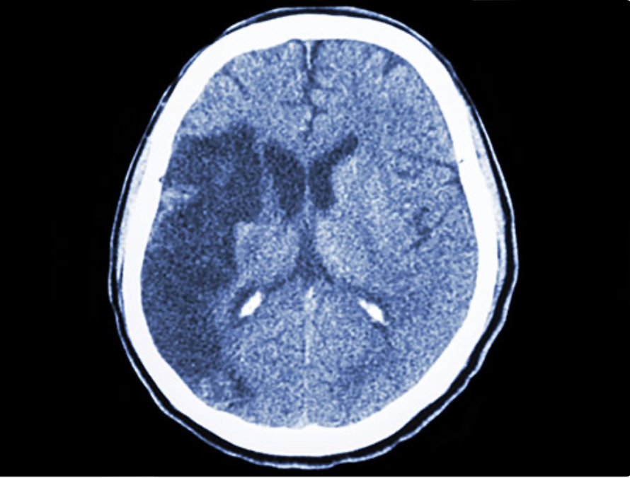
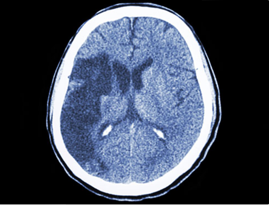
The UAB Comprehensive Stroke Center has been recertified by the Joint Commission. UAB was originally designated a Comprehensive Stroke Center by the Joint Commission and the American Heart Association/American Stroke Association in 2015. This designation identifies UAB as an industry leader responsible for setting the national agenda in highly specialized stroke care.brain strokeBrain scan of stroke patient

An American has a stroke every 40 seconds, and someone dies from a stroke every four minutes. A stroke occurs when a blood vessel is either blocked by a clot or bursts, interupting blood flow, and deprives brain cells of the oxygen and nutrients they need to survive. Strokes are the fifth-leading cause of death and a leading cause of adult disability in the United States.

“Designation as a Comprehensive Stroke Center means that UAB is prepared to offer immediate access to state-of-the-art stroke care every minute of every day,” said David G. Standaert, M.D., Ph.D., professor and chair of the Department of Neurology. “We provide advanced and potentially lifesaving services that are available nowhere else in Alabama, as part of our continuing commitment to offer the best possible care to residents of our state, the surrounding region, and beyond.”

UAB, the first hospital to earn the Comprehensive Stroke Center certification in Alabama, has more than a dozen expert stroke physicians, the most board-certified vascular neurologists in the state, and hundreds of nurses specially trained in stroke care. UAB’s Neurosciences Intensive Care Unit is one of the largest in the United States, and UAB Hospital boasts a dedicated stroke unit.

“By achieving this advanced certification, UAB has thoroughly demonstrated the greatest level of commitment to the care of its patients with a complex stroke condition,” said Mark R. Chassin, M.D., president of the Joint Commission. “Certification is a voluntary process, and the Joint Commission commends UAB for successfully undertaking this challenge to elevate the standard of its care for the community it serves.”


Subscribe to Heersink
School of Medicine News

Subscribe to Heersink School of Medicine News