
Special stains (histochemical methods) are used to help visualize and/or identify structures and substances in sections. CPL can provide most standard special stains. Listed below are a few examples.
Acid fast stains (various methods) for mycobacteria
Congo red for amyloid
Gram stains (various methods) for bacteria
Grocott’s methenamine silver (GMS) for fungi
Jones methenamine silver for basement membrane and mesangium
Luxol fast blue-PAS for demyelination
Masson’s trichrome for collagen & muscle
Periodic acid-Schiff (PAS)
Phosphotungstic acid-hematoxylin (PTAH) for fibrin
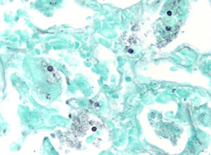
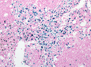
Prussian blue for ferric iron
Sudan black for lipids & lipochrome pigments
Verhoeff's method for elastin