Gorgas Case 2003-06 |
![]() |
| Diagnosis: Pott's disease; presumed tuberculous meningitis; presumed pulmonary tuberculosis. |
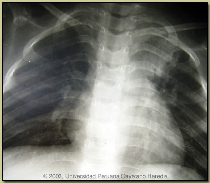
Discussion: Chest X-ray (see Image at right) shows apical lesions consistent with pulmonary tuberculosis. Results of a gastric aspirate and urine for AFB are pending. Serum ADA (adenosine deaminase), used in many countries as an indicator of possible TB infection, was 30 (upper limit of normal 21).
Skeletal tuberculosis is thought to result from hematogenous dissemination from a primary site and occurs 6 months to 3 years after primary infection. Cases associated with relapsed disease have been reported. Spinal TB accounts for more than 50% of all skeletal cases. It is seen in children in developing countries but mainly occurs in adults in developed countries. The disease process begins in an intervertebral disc and spreads mostly anteriorly to the adjacent vertebrae. Destruction of the anterior endplates ensues with anterior collapse leading to a wedge deformity seen clinically, as well demonstrated in this case, as the spinal deformity known as a gibbus. Cold abscesses occur and may drain through adjacent skin. Lower thoracic vertebral location is most common followed by lumbar location. Clinical presentation is with chronic back pain that is initially non-specific. Undiagnosed progression to severe disease leads to spinal cord compression and neurologic deficit. Differential diagnosis of the clinical syndrome and spinal lesion seen in our patient includes other forms of bacterial osteomyelitis and metastatic cancer. The spinal lesions of advanced brucellosis include bridging osteophytes, simultaneous with the presence of both osteoblastic lesions and loss of bony mass in the same vertebrae [see Gorgas Case 2001-02]. Salmonella infection or staphylococcal infections would not be associated with the chronic course or the gibbus deformity. Metastatic cancer is uncommon in this age group and generally does not cause gibbus. The associated pulmonary lesions also lead to the unifying diagnosis of TB. Tissue obtained by biopsy or needle aspirate and examined histologically and by culture is generally required for diagnosis. AFB smears are usually negative. CT and appropriate neurosurgical experience is not available at this hospital. Controversy, with many published studies either way, exists as to the need for any reconstructive surgical intervention or fusion procedure in patients without neurologic deficit. Medical therapy is with standard regimens of anti-tuberculous drugs but for at least 1 year. None of the studies of shorter course chemotherapy have included enough patients with Pott's disease to make any conclusions possible. Patients with acute neurologic deficits within the previous 12-24 hours should definitely have surgery. With longer standing neurologic deficit there is not well-controlled data to show better outcomes with surgery but where neurosurgical intervention is accessible it is often undertaken in conjunction with medical therapy.should be considered for very severe paraplegia especially in the acute stage. This patient also presents with probable tuberculous meningitis, which is not a usual complication of Pott's disease. Children with chronic malnutrition and a weakened immune system seem to more frequently have severe and multisystem disease. In this case, in addition to the spondylitis there is pulmonary disease, meningitis, and radiculitis. CSF examination is mandatory in suspected tuberculous meningitis but was not technically possible in this case. TB meningitis is a widely accepted indication for concomitant steroid use in tandem with anti-tuberculous drugs and clearly increases survival. Some critics assert that the use of steroids only serves to increase survival rates among those with serious permanent neurologic deficits. |


Discussion: Chest X-ray (see Image at right) shows apical lesions consistent with pulmonary tuberculosis. Results of a gastric aspirate and urine for AFB are pending. Serum ADA (adenosine deaminase), used in many countries as an indicator of possible TB infection, was 30 (upper limit of normal 21).