Announcements
Road Rules: What Happens When the Interstate Comes to Town
Between 1956 and 1972, more than 40,000 miles of high-speed, limited-access highways spread like kudzu across the American landscape—a thriving concrete jungle fertilized by the greenbacks promised in President Dwight Eisenhower's Federal-Aid Highway Act.
Read more
UAB Study: Teens Plugged into Media Nearly 24 Total Hours Daily
A University of Alabama at Birmingham study found adolescents ages 14-15 are engaged in media more than 23 total hours daily.
Read more
Sleepy Teen Pedestrians More Likely to Get Hit, UAB Study Says
A University of Alabama at Birmingham study reveals sleep-deprived adolescents are more likely to be hit by cars while crossing the street than those who are well-rested.
Read more
Safety Patrol
UAB child safety expert David Schwebel has helped call attention to the everyday dangers of crosswalks, swimming pools, and dog bites through a series of intriguing, headline-grabbing experiments.
Read more
Neverending Stories: What Dickens Tells Us at 200
Danny Siegel, a specialist in Victorian literature who has written several academic studies of Dickens’s works, shares his love of Dickens in a graduate seminar at UAB.
Read more
Jemison Visiting Professorship is Just Around the Corner!
Gary Warner’s Work with FBI to be Featured on NBC’s Rock Center with Brian Williams
Gary Warner, UAB’s director of Research and Computer Forensics, will be featured on NBC’s Rock Center with Brian Williams at 9 p.m. Wednesday, March 21, 2012, in a story about the FBI Trident Breach case.
Read more
The Tom Sawyer Effect in Computer Security
The security of computer systems often relies on the actions or decisions of the end users. However, users tend to perform poorly at security tasks or fail to comply with security instructions.
Read more
Computing Devices Become Smaller and Cheaper, but Are They Also Less Secure?
Small devices, especially Radio Frequency Identification (RFID) tags, are being ubiquitously deployed in: contactless ATM and credit cards, access cards, e-passports, medical implants and even mobile phones (such as Google Wallet charged with NFC technology), to name a few.
Read more
Professors Thamar Solorio and Ragib Hasan Receive ONR Grant
Profs. Thamar Solorio and Ragib Hasan received a three year award from the Office of Naval Research (ONR) to support their research on document signatures.
Read more
Boys Scouts Learn about Native American Culture
On Thursday January 19, 2012, Anthro-TEACH gave a presentation about Native American culture for Boy Scout Pack 397 of Homewood, AL at the Trinity United Methodist Church. The student presenters were Christel Carlisle, Jade Delisle, Alea Rouse. The overall presentation showed the children how Native Americans utilized their natural environment. They covered the topics of lithics (stone tools) and music and dance.
Read more
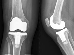
Physics Study Suggests Nanodiamonds Safe for Implants
Nanodiamonds designed to toughen artificial joints also might prevent the inflammation caused when hardworking metal joints shed debris into the body, according to an early study published this week in the journal Acta Biomaterialia.
Read more
APT and UAB go to Fiji
UAB Anthropology went to the Fiji Islands and Alabama Public television was there to see it.
Read more
Psych Students Get Inside Look at the Life Within the Lesson
John Harris doesn't mind public speaking. Yes, he admits to being a little nervous at first each time he does it, but he feels he has a duty to do it. In fact, he considers it "a goodwill mission."
Read more
Don’t Let a Gift Dog Take a Bite out of Fun
“Everyone thinks their dog is good and will never bite, but we can’t forget that all dogs are animals,” says David Schwebel, Ph.D. director of the UAB Youth Safety Lab.
Read more
Milton’s Captive Audience: Teaching Paradise Lost in a Maximum Security Prison
An excerpt from Alison A. Chapman's award-winning essay on her experiences teaching inmates at Alabama's Donaldson prison.
Read more
Peak Experience: Study Away Trip Explores Religion and Medicine in Nepal
Art and science. Buddhism and Hinduism. Religion and medicine. Interdisciplinary education is a hallmark of UAB courses, but two faculty members took that boundary-bending mindset to new heights this summer for a unique Study Away experience.
Read more
Small World: UAB Researchers Build the Nanoscale Future
The poet William Blake once imagined seeing “a world in a grain of sand,” but Yogesh Vohra, Ph.D., a UAB physics professor and director of UAB’s Center for Nanoscale Materials and Biointegration(CNMB), sees a world of possibilities on a much smaller scale.
Read more
Thomas Jefferson's Gender Revolution
Jefferson’s views wouldn’t gel with modern attitudes, says UAB historian Brian Steele, Ph.D., who recently received UAB’s Frederick W. Conner Prize in the History of Ideas for his essay exploring the subject.
Read more