![]() |
Gorgas Case 2005-10 |
![]() |
|
The following patient was seen by course participants in the outpatient department of the Tropical Medicine Institute.
![]() History: 63-year-old male with 12 year history of chronic lung disease presents with worsening cough and wheezing. He reports no fever, night sweats, or weight loss. He has had 3 thoracotomies 12, 9, and 8 years earlier at 3 different hospitals for treatment of a “lung infection”. Just prior to the first surgery, which was done on an urgent basis, he recalls regular expectoration of large amounts of clear fluid which had a salty flavor. No melena or blood in stools. Non-drinker.
Epidemiology: Born in an agricultural community in Huaraz high in the Andes but has lived in Lima for 30 years. No contacts or history of TB. No ill relatives. Non-smoker. Physical Examination: Afebrile. HEENT normal. No lymphadenopathy or hepatosplenomegaly. Stool heme negative. Bilateral thoracotomy scars. Laboratory Examination: Hct 42%. WBC 14,200 with 80 segs, 2 bands, 14 lymphs, 1 eosinophil. LFTs normal. Sputum for AFB and culture negative. CXR and chest CT scan are shown in Images A and B. CT scan of the abdomen was normal.
|
|
Diagnosis: Pulmonary hydatid disease due to Echinococcus granulosus.
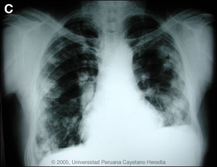
![]() Discussion: ELISA and Western Blot were strongly positive for E. granulosus. Records subsequently obtained indicated that 12 years earlier he had had a spontaneous rupture of a large solitary left-sided pulmonary hydatid cyst. The expectoration of large amounts of clear salty fluid is highly characteristic of this catastrophic event. No medical therapy had been given peri- or post-operatively. Human hydatid disease secondary to Echinococcus granulosus is caused by the larval form of this dog tapeworm. Humans ingest the tapeworm eggs in environments contaminated by canine feces and become accidental intermediate hosts. Sheep are the normal intermediate hosts. Larval cysts expand slowly over years or decades becoming symptomatic as they impinge on other structures by virtue of their size. Spontaneous cyst rupture as occurred here happens in the minority of cases but is not rare. The cysts contain hundreds of viable scoleces capable of becoming adult tapeworms upon ingestion by a definitive host such as the dog. The germinal membrane lining the cyst produces new scoleces on an ongoing basis. Each scolex is capable of becoming a new daughter cyst either within the original cyst or elsewhere should the original cyst rupture or be ruptured. Hydatid disease is common in sheep-raising areas worldwide. Most primary infections involve a single cyst. 65% of solitary cysts are found in liver, 25% in lung and the rest in a wide variety of other organs including kidney, spleen, heart, bone and brain. In patients with a pulmonary cyst, approximately 15% will also have a hepatic cyst. Serology is usually positive with hepatic cysts but sensitivity drops below 50% with solitary pulmonary cysts even when the cyst is large. With the large burden of disease in this patient?s lung a positive serology would be expected. The 2 subsequent chest surgeries in our patient were to resect further cystic hydatid lesions that had developed secondary to seeding of the thoracic cavity during the initial catastrophic event. 7 years prior to presentation to us, the patient received a 1-year course of intermittent albendazole and then 5 years earlier began to receive 6 separate 2-month courses over the following 2 years. At the end of this therapy only a few small residual cysts apparently remained. Praziquantel is the most potent scolicidal drug and is the drug of choice for adult tapeworms. However, praziquantel cannot penetrate the hydatid cyst wall so is only useful as an acute therapy when a cyst ruptures (spontaneously or due to surgical mishap) and scoleces are lying free before encysting again. Albendazole is the therapy of choice for intact cysts that are not operable, such as when there are multiple or diseminated cysts. A trial of Albendazole may also be considered for solitary cysts that are less than about 10 cm. Response is generally slow and only complete in a minority of cases. Surgical resection is the therapy of choice for large solitary cysts. Our patient was begun on continuous albendazole therapy and a follow-up CXR obtained after 7 months is shown in Image C. The plan is to continue therapy for a minimum of 1 year and perhaps as long as 2 years. Liver function tests remain normal in this patient.
|


