| 2010 Case #6 | ![]() |
|
| Diagnosis: Chronic Hepatitis B infection complicated by hepatocellular carcinoma. |
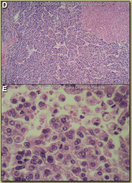
Discussion: A liver biopsy was diagnostic of hepatocellular carcinoma [Images D & E show histology from a similar patient from our files]. Alfa fetoprotein was > 400,000 nanograms/ml. Hepatitis B surface antigen positive; Hepatitis B IgG core antibody (anti HBc) positive. Mother negative for HbSAg.
More than 400 million people worldwide are chronic carriers of hepatitis B virus (HBV). Over 80% of the half-million annual cases of liver cancer are caused by viral hepatitis, with two-thirds of these due to HBV. Up to one-third of the world’s population has been infected at some time with HBV and 5% are chronically infected. Three-quarters of those with chronic HBV in the world are from China and sub-Saharan Africa, with Southeast Asia also having very high rates. Prevalence of chronic HBV carriage in those regions is 10-20% with most infections occurring in the neonatal period or during early childhood, thus emphasizing the importance of peri-natal vaccination strategies. Hepatitis B vaccination is part of the national immunization program in Perú; our patient gave a history of an incomplete vaccination series. In contrast, in countries of North America, Europe and Australia where infections occur primarily during adolescence or adulthood, prevalence rates are <0.5%. While none of the South American countries as a whole qualify as highly endemic for HBV, rates as high as those found in China can be found amongst native Amerindian populations from the Amazon basin and related ecosystems [Cad Saúde Pública. 2003 Nov-Dec;19(6):1583-91]. Of note, there is also an association with a high level of infection with hepatitis D virus among the chronic HBV carriers in the Amazon. In samples taken from various sites in the Marañón and Madre de Dios regions of Peru, prevalence of HBV infection at some time during life (rate of Anti-HBc) is from 69-74% with an HBsAg carriage rate of 3.9-12.1%, and Anti-HDV rates of 2.5-9.0% amongst HBsAg carriers. In the transition Andean valleys and the high jungle surrounding the Peruvian Amazon (Huanta, Ayacucho, Abancay and surrounding areas of Cuzco Department) rates are 82% for Anti-HBc, 16% for HBsAg, and 18% of HBsAg carriers are positive for Anti-HDV. Thus our patient was born in a typical endemic area and we believe this to be vertical transmission despite the absence of complete serological study of his relatives. The risk of chronicity with HBV varies greatly according to age of acquisition of the infection. For neonates and children younger than 1 year, the risk of the infection becoming chronic is 90%. Between ages 1-5 years, the risk is 30% and for those older than 5 years at time of infection the risk decreases to about 2%. Large powerful epidemiologic studies support the relationship between chronic HBV infection and hepatocellular carcinoma. A minimum of 20-30 years seems to be required for the development of cancer, so that cases appear in the 20-30 age group in hyperendemic areas with predominant peri-natal infection, and in the 6th decade of life in lower endemic areas. The male:female ratio is 3:1 and risk is higher in those who are HBeAg positive. While most hepatocellular cancer due to HBV develops on a background of pre-existing cirrhosis, from 15-45% does not. Hepatocellular carcinoma is an aggressive malignancy, usually detected late, with median survival from 6-20 months. Partial hepatectomy in situations where cure is possible (no radiologic evidence of vascular invasion or metastases) is the optimal treatment for hepatocellular carcinoma. Long-term relapse-free survival rates average 40 percent or better in carefully selected patients with small (<5 cm) tumors and good underlying liver function. However, there is no general rule regarding tumor size for selection of patients for resection. For advanced or non-resectable disease, a number of options including combination chemotherapy, radiofrequency ablation, and embolization exist but none is optimal. Infectious agents are associated with at least 16 different cancers among which hepatocarcinoma (HBV), cervical cancer (HPV), and gastric cancer (H. pylori) are the most important.
|


Discussion: A liver biopsy was diagnostic of hepatocellular carcinoma [Images D & E show histology from a similar patient from our files]. Alfa fetoprotein was > 400,000 nanograms/ml. Hepatitis B surface antigen positive; Hepatitis B IgG core antibody (anti HBc) positive. Mother negative for HbSAg.