![]() |
Gorgas Case 2012-09 |
![]() |
|
The Gorgas Course in Clinical Tropical Medicine spent its last week with a 4-day field trip to Iquitos on the banks of the Amazon River. Iquitos, with a population of approximately 400,000, is the largest city in the world that is reachable only by air and by river. The nearest road ends over 400 km away.
Publishing a case report every week for 9 consecutive weeks would not be possible without the assistance of an extremely dedicated group of people. We would like to thank in particular: Dr. Carlos Seas, Clinical Rounds Coordinator for the Gorgas Courses for case selection, coordination of case summaries and images; and Adam Plier of the Gorgas Center for Geographic Medicine of the UAB Division of Infectious Diseases for all publishing on the Gorgas Course web site. We hope you have enjoyed this year’s cases. In August 2012 we will be running the 2-week Gorgas Expert Course (places are still available) and will present a couple more cases during that time. We will also be in touch in January 2013 at the beginning of next year’s case series.
|
|
The following patient was seen in the Intensive Care Unit of the Regional Hospital of Loreto.
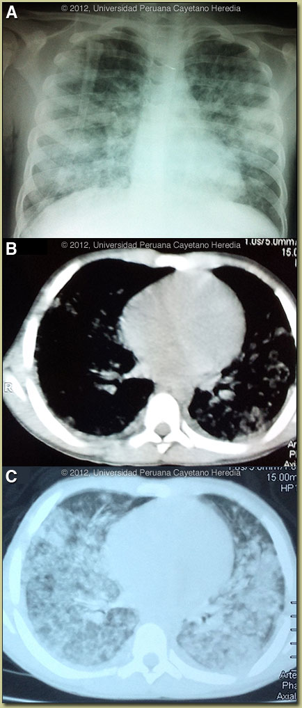
![]() ![]() History: 10-year-old previously very healthy male presents with a 4-day history of fever and a rash starting on the trunk and spreading to involve the entire body. One day prior to admission he developed dyspnea and was brought to the hospital. There was no cough or sputum production. No arthralgia or myalgia. Epidemiology: Lifelong resident of the city of Iquitos with no recent travel to rural jungle areas. Fully vaccinated according to the Peruvian guidelines, including yellow fever and hepatitis B. Mother is alive and well. No known TB exposure. Physical Examination: BP 90/60, HR 130, RR 38, Temp 38.5°C. Well developed, well nourished. Ill-looking with obvious respiratory distress. No icterus, sclerae normal. Chest: bilateral crackles. Abdomen: soft, normal bowel sounds, no hepatosplenomegaly. Skin: diffuse rash over entire body (Images to be provided on Diagnosis and Discussion page). Mucosa: no lesions noted but complaining of some oral discomfort. Neurologic examination normal. Laboratory Results: Hb: 8.9; WBC 10,400 (no differential done); Platelets 780,000; ALT 8; AST 10. Normal renal function. O2 saturation 94%. Chest X-ray shown in Image A, and Chest CT in Images B, C. |
|
Diagnosis: Acute Varicella infection complicated by pneumonitis.
![]() ![]() Discussion: Acute Varicella Zoster Virus (VZV) infection is a clinical diagnosis with a characteristic vesicular rash [see Images D-G, taken on Day 10 of illness] of the superficial dermis involving the trunk, face, and often oropharynx. Children, as opposed to adults, often have scalp lesions. Notably, several crops of fresh vesicles may erupt every few days, becoming crusted and lasting for a total of 6-10 days. The rash usually begins centrally and spreads outwards and may involve the palms and soles, as in this case. In non-compromised hosts new lesions should not occur beyond the first week of illness, which was the case here. In contrast, the lesions of smallpox begin on the extremities with all lesions occurring at the same time and appearing and evolving in a similar manner. The incubation period of varicella is 10-21 days, most commonly about 14 days. There is currently an outbreak in Iquitos and our patient had been exposed to several other neighborhood children with varicella. More severe disease with complications have been reported in outbreak settings. Varicella vaccination is not practiced in any developing country. In countries with highly vaccinated populations, severe cases in children are now rare and usually restricted to compromised hosts especially those with hematologic malignancies. Complications of varicella are much more common in adults, especially varicella pneumonia, which occurs in up to 20% of adult cases in certain settings. Pneumonia when it occurs usually develops in the first week of rash onset. However, even healthy children under the age of 12 can occasionally develop cerebellitis, pneumonia, purpura, hepatitis, and soft tissue infections. Secondary bacterial infections can be severe, particularly if they are associated with group A streptococcus [see Gorgas Case 2008-09]. Our 10-year-old patient has no history or physical findings compatible with immunocompromise and HIV should have manifest by this age; nevertheless no specific workup was available or done during his hospitalization. CT findings of varicella pneumonia [AJR Am J Roentgenol. 1999 Jan;172(1):113-6; AJR Am J Roentgenol. 2007 Jun;188(6):W557-9; and N Engl J Med. 2010 Apr 1;362(13):1227] include interstitial inflammation, well-defined and ill-defined nodules, nodules with surrounding ground glass attenuation, patchy ground glass attenuation, and coalescence of nodules. Areas with many coalescent nodules in close proximity may appear as areas of consolidation. These radiologic features disappear rapidly in concert with the healing of the corresponding skin lesions in normal hosts. In the tropics, including in developing countries, the age distribution of acute varicella differs markedly from that in temperate climates. Only the minority of individuals acquires varicella in childhood, so that more than 50% of adults in their twenties remain non-immune and clinical varicella in adults is common. In temperate climates only 2% of varicella cases occur in those over twenty years of age. In the US and Europe, varicella outbreaks in immigrant and refugee communities are increasingly frequent events. The reasons for the altered behavior of VZV virus in the tropics have not been elucidated. The patient fatigued rapidly after admission and was admitted to the ICU for mechanical ventilation. The benefit of acyclovir in typical uncomplicated acute varicella in children under the age of 12 is modest at best and is not routinely recommended in authoritative guidelines. In this severe case the patient was treated with IV acyclovir as well as broad-spectrum antibiotics in case of superinfection obscured by the extensive viral pneumonitis. The use of steroids in varicella pneumonia is not well studied and is of unproven benefit. He improved rapidly and was extubated on the 3rd hospital day with marked improvement of the chest X-ray [Image H] and resolution of much of the nodular disease as expected. Acknowledgements: We thank Dr. Nicolás Barrós Baertl, as well as Gorgas Course Pediatrician Professors Manuel Gutierrez and Eduardo Verne for helpful discussions.
|




