| 2012 Case #3 | ![]() |
|
| Diagnosis: Strongyloides stercoralis hyperinfection syndrome. HTLV-1 infection. |
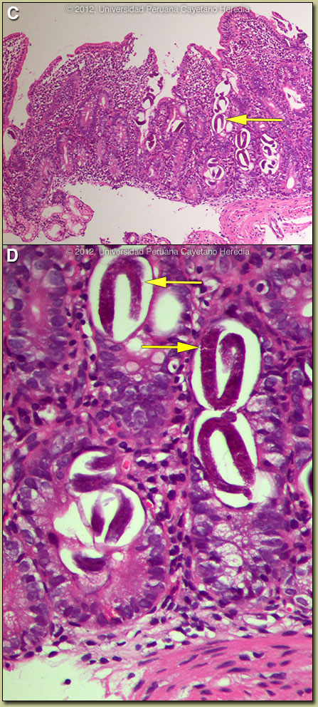
Discussion: An upper endoscopy was visually normal [see Gorgas Case 2007-04 for an image of endoscopically visible strongyloides duodenitis] but the duodenal biopsy showed an inflammatory infiltrate and strongyloides larvae [Images C and D, arrows] in the submucosa. On stool examination large numbers of rhabditiform larvae of strongyloides were seen. No larvae were seen on sputum examination. HIV ELISA negative. HTLV-1 ELISA and Western blot were positive. Transmission is by breastfeeding; we have yet to test the mother or siblings. Skin biopsy of a foot lesion looking for evidence of lymphoma or of pellagra was non-specific and inconclusive for any pathology.
In addition to disseminated strongyloidiasis, a number of conditions are associated with HTLV-1 infection [see Lancet Infect Dis. 2007 Apr;7(4):266-81 for a detailed discussion], including crusted (Norwegian) scabies [see Gorgas Case 2008-08], tropical spastic paraparesis (TSP, also called HAM – HTLV-1 associated myelopathy) [see Gorgas Case 2002-08], infective dermatitis [see Gorgas Case 2004-07], adult T-cell leukemia/lymphoma (ATLL) [see Gorgas Case 2009-11], autoimmune disease including uveitis, Sjögrens, arthropathy, polymyositis, and thyroiditis. Associations with bronchiectasis [see Clin Infect Dis. 2012 Jan;54(1):43-50] and paracoccidiodomycosis [see Clin Infect Dis. 2010 Jul 15;51(2):250-1] are recently described. This patient did not have any neurological findings. More than 90% of individuals with HTLV-1 infection remain asymptomatic for life. Worldwide, approximately 0.3-4.0% develop TSP and 1-5% develop ATLL. Although the pathogenetic mechanisms of these two major complications likely differ, the low rates of each means that it is rare to see both sequelae in the same patient. In Perú 86% of patients who present with strongyloides hyperinfection are HTLV-1 positive [see Am J Trop Med Hyg. 1999 Jan;60(1):146-9]. The prevalence of HTLV-1 in South America is generally underappreciated, normally being associated with Japanese and Caribbean populations. In Perú, the disease is highly endemic (2-3% seropositivity) in Andean areas of the country in Quechua populations who have had no contact with Japanese immigrants to the country. Other South American countries with significant rates of HTLV-1 include Brazil, Colombia, and Ecuador. We have seen over 800 infected families to date at the Tropical Medicine Institute in Lima. Strongyloides stercoralis has a complex life cycle. Three separate developmental stages play a role in the life cycle: adult worms, rhabditiform larvae, and filariform (infectious) larvae. Three alternative clinically important modes of replication exist. In the internal sexual cycle the adult female, resident in the small intestine, lays small numbers of eggs that hatch almost immediately. The resulting rhabditiform larvae are passed in the stool, mature in the soil to infective filariform larvae, and penetrate the skin of a new human host. After migration through the lung, the larvae crawl over the glottis, are swallowed and complete development in the jejeunum. In the free-living cycle, rhabditiform larvae may instead develop in the soil into sexually active adults, thus creating an environmental reservoir of adult worms. Each generation of this external sexual cycle includes a new cohort of infectious filariform larvae ready to re-enter the parasitic cycle in humans. Finally, in the autoinfective cycle, infectious filariform larvae develop from rhabditiform larvae while still in the intestine. Penetration of the colon or the anal skin by filariform larvae allows re-infection of the same host. The autoinfective cycles, which normally result in low-grade chronic infection in normal hosts, should be distinguished from the hyperinfection that occurs in immunocompromised hosts as a result of massive potentially fatal autoinfection with dissemination of larvae to numerous distant organs. Population based surveys in Perú indicate a strongyloides prevalence that ranges from 0.3% in the high Andes to 16% in children in the jungle. Clinically, strongyloides infection is often asymptomatic. Purely intestinal infection may cause mild to severe abdominal symptoms. Adult females in the small intestinal mucosa may cause mild to severe inflammation. In autoinfective cycles, migrating larvae may cause serpiginous skin lesions (larva currens), especially around buttocks, or lung inflammation. Opportunistic behavior in immunocompromised hosts with hyperinfection may result in wide dissemination to extraintestinal organs, including the central nervous system, pulmonary hemorrhages, sepsis, and death. Inflammation and necrosis may occur in any organ and massive GI bleeding, toxic megacolon, and intestinal perforation may occur. Predisposing factors include malnutrition, corticosteroid therapy, malignancy, and HTLV-1 (but not HIV) infection. Patients with strongyloides hyperinfection may have eosinophilia in the early stages of disseminated disease, but are most often eosinopenic by the time of clinical presentation. Admission blood cultures were negative but because of persistent hypotension, she was on vasopressors for 10 days. During the second week line related sepsis with Candida and resistant Acinetobacter developed requiring fluconazole, colistin and meropenem. Due to likely poor absoption in this patient with intestinal edema and low albumin, oral ivermectin (200ug/kg/d) was administered for 4 consecutive days until the stools turned negative for larvae on direct exam and agar plate. She will be retreated every 15 days at least 3 times as per our practice [see Trans R Soc Trop Med Hyg. 2008 Apr;102(4):314-8]. |


Discussion: An upper endoscopy was visually normal [see