![]() |
Gorgas Case 2014-05 |
![]() |
| Diagnosis: Cerebral hydatidosis due to Echinococcus granulosus. |
|
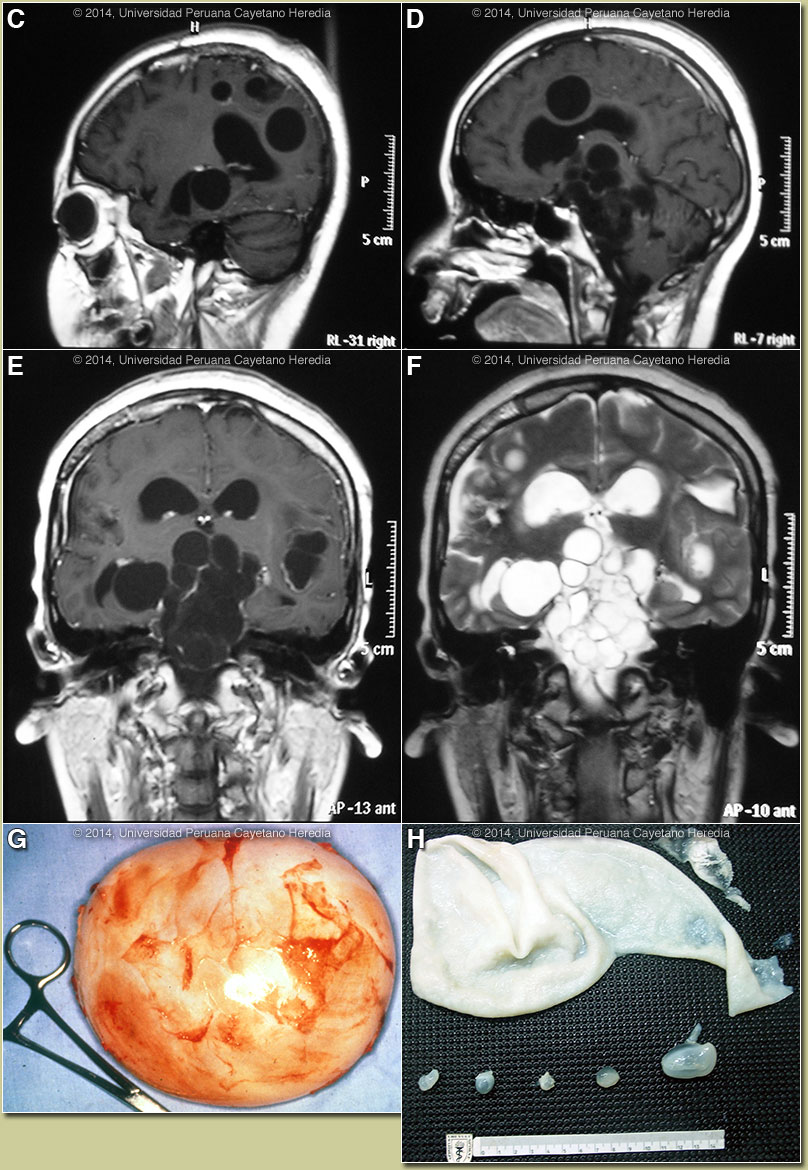
The differential diagnosis, based on radiologic findings, for a cerebral hydatid cyst includes cystic glial tumors, cerebral abscesses, arachnoid cysts, paraventricular ependymal cysts, neurocysticercosis with giant cysts, coenurosis, cystic primary tumor, cysts of the lateral ventricles, traumatic or postsurgical porencephalic cysts, and porencephalic cysts that develop after surgery performed to remove a hydatid cyst. Human hydatid disease secondary to Echinococcus granulosus is caused by the larval form of this dog tapeworm. Humans ingest the tapeworm eggs in environments contaminated by canine feces and become accidental intermediate hosts. This patient had ongoing exposure to dogs while her parents were working raising cattle and sheep. Sheep are the normal intermediate hosts. In general, disease is diagnosed in adulthood as larval cysts expand slowly over years or decades, becoming symptomatic as they impinge on other structures by virtue of their size. The cysts contain hundreds of viable protoscoleces capable of becoming adult tapeworms upon ingestion by a definitive host such as the dog. The internal germinal membrane lining the cyst produces new protoscoleces on an ongoing basis. Each protoscolex is capable of becoming a new daughter cyst should the original cyst rupture or be ruptured. Cystic hydatid disease due to E. granulosus is common in sheep and cattle raising areas worldwide. Most primary infections involve a single cyst. In adults, 65% of solitary cysts are found in liver, 25% in lung and the rest in a wide variety of other organs including kidney, spleen, heart, bone and brain. Surgery is the standard and most effective treatment for intracranial hydatid cysts. The goals of surgery are the removal of the entire intact cyst without rupture and the prevention of parasitic spread and additional neurologic deficits. A large bone flap should be performed; it should be wide enough to allow safe delivery of the cyst away from the skull edges. The removal of hydatid cysts can be achieved by using Dowling’s technique, which involves forcing saline around and under the intact cyst to separate it from the brain parenchyma and removing the cyst intact. Injection of hypertonic saline into the cyst to kill the protoscoleces followed by aspiration and dissection of the membrane is less desirable. Overall, however, catastrophic cyst rupture occurs during up to 25% of operations. Our patient underwent 3 operations on the 3 large parenchymal cysts prior to transfer to us and tragically a cyst rupture did occur on one occasion. MRI on arrival at our hospital is shown in Images C-F and demonstrates the extensive and incurable brainstem involvement now present. Intact and opened cysts from other patients are shown in Images G & H. Albendazole should be immediately instituted in ruptures whether they be spontaneous, post-traumatic or the result of a surgical accident. Praziquantel is the most potent scolicidal drug and is the drug of choice for all adult tapeworms. In hydatid disease, praziquantel is unlike albendazole and does not penetrate the cyst wall or produce measurable concentrations in cyst fluid. Praziquantel is also ineffective against the germinal membrane of cysts, but is able to reliably and quickly kill free protoscoleces [Acta Trop. 2009 Aug;111(2):95-101]. Thus, praziquantel is useful as an acute therapy when a cyst ruptures (spontaneously, or intra-operatively due to surgical mishap) and scoleces are lying free before encysting again. Combined praziquantel and albendazole for medical therapy of liver or lung hydatid has been reported in several small, uncontrolled series and experimental protocols examining combination therapy using are underway in several places. Our patient received 5 months of albendazole and praziquantel after her surgeries but was receiving palliative care only prior to her admission to us. Although the prognosis is desperate, at present the patient is awaiting surgical extirpation of the cysts pressing on the brainstem and at least aspiration and instillation of hypertonic saline to the parenchymal cysts. We have instituted indefinite therapy with albendazole 800 mg/day plus praziquantel 25 mg/kg/day. |



Discussion: A western blot was positive for E. granulosus. The radiologic appearance of cerebral hydatid cysts is almost pathognomonic as they appear in the parenchyma as large, unilocular spheres of homogenous CSF-density fluid with sharply defined thin borders and no surrounding edema. Images A & B show multiple parenchymal cerebral, brain stem and a right cerebellar cyst. Most cerebral hydatid cysts are supratentorial; they involve the middle cerebral artery, presumably due to the embolic nature of the infection. However, single large cysts are sometimes localized in the frontoparietotemporal subcortical region and brainstem lesions are quite rare [see