![]() |
Gorgas Case 2016-09 |
![]() |
|
Publishing a case report every week for 9 consecutive weeks would not be possible without the assistance of an extremely dedicated group of people. We would like to thank in particular: Dr. Carlos Seas and Dr. Sofia Zavala Clinical Rounds Coordinators for the Gorgas Courses for case selection, coordination of case summaries and images; and Alfredo Guzman of the Gorgas Center for Geographic Medicine of the UAB Division of Infectious Diseases for all publishing on the Gorgas Course web site.
We hope you have enjoyed this year’s cases. In August 2016 we will be running the 2-week Gorgas Advanced Course (places are still available) and will present a couple more cases during that time. We will also be in touch in February 2017 at the beginning of next year’s case series. The following patient was seen in the outpatient clinic of the Tropical Medicine Institute in Lima.
![]() History: 59 year-old woman from the jungle with one year of illness complaining of the appearance of hypo-pigmented non-pruritic macular skin lesions all over her body. Three months after the appearance of the lesions they became numb. Previously healthy.
Epidemiology: The patient is from the city of Pucallpa in the low jungle of South Loreto Department. She is a housewife, no known contact with TB or anyone with similar illness, no risk factors for HIV. Physical Examination: Afebrile, in no distress. Lungs: clear Normal Cardiac: no murmurs. Abdomen: protuberant with no palpable organomegaly. No lymphadenopathy. Skin: many large hypo-pigmented macules of different sizes (some small) some with satellite lesions and others annular, with dryness, distributed on her chest, abdomen and thighs with 1 lesion on her back (Images A, B, C). The borders were flat and no plaque like lesions were found anywhere. Neurological: anesthesia over all skin lesions, on the dorsal aspect of both hands and feet, on the left sole, and of both corneas. Peripheral nerve palpation showed thickening of left ulnar nerve, both radio-cutaneous nerves (right more than left); decreased strength in muscles innervated by both ulnar nerves, both median nerves (left more than right), and both common peroneal nerves. Laboratory Examination (on admission): Lab: Hct: 43% WBC: 7360 (0 bands; 38 neutrophils; 12 eosinophils; 1 basophil; 11 monocytes; 38 lymphocytes) Platelets: 210000 Glucose: 90 mg/dL Creatinine: 0.6 mg/dL Normal chest X-ray. Skin biopsy from outside hospital: reported as chronic perivascular superficial and deep dermatitis with granulomas in the reticular dermis. Ziehl-Neelsen stain was reported negative.
|
|
Diagnosis: Mycobacteria leprae. Multibacillary leprosy according to the WHO classification. Borderline tuberculoid (BT) leprosy according to the Ridley-Jopling classification.
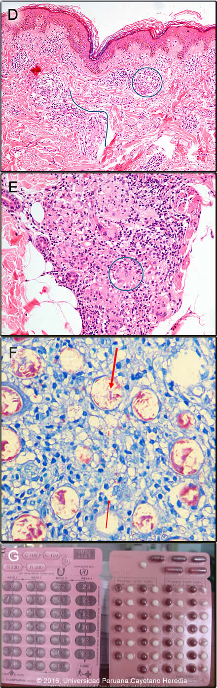
![]() Discussion: Skin biopsy: dense granulomatous infiltrates following a linear pattern both on appendages and vascular structures (Image D). The histiocytes in the deepest part have an epithelioid shape and more superficially are foamy, and are accompanied by lymphocytes without focalization or structure. There are granulomas in the reticular dermis (Image E). Fite-Faraco stain is 2+ positive (Image F). In order to demonstrate acid-fast bacilli in tissue, a Fite-Faraco stain is necessary as a Ziehl-Neelsen stain may be negative. Infiltration of nerve fibers is diagnostic of leprosy. A granulomatous infiltrate, in a linear pattern, involving the reticular dermis is consistent with a diagnosis of leprosy, closer to the tuberculoid pole of the spectrum and representing Borderline Tuberculoid disease (classification discussed below). In patients presenting like this with suspected leprosy, normally slit-skin smears should be taken first and if positive are sufficient for diagnosis. The bacillary index is useful in establishing the patients position on the leprosy spectrum. This patient had already been biopsied prior to referral to us. Slit skin smears are performed by making small (5mm length, 2mm depth) slits in pinched skin (to avoid bleeding), the edges of which are scraped. The material obtained is smeared on a clean slide and stained for AFB. Generally 6 smears (ear lobes, dorsal surfaces of forearms, and one or two lesions are examined. The bacterial index ranges from zero (no bacilli in 100 oil-immersion fields) to 6+ (over 1000 bacilli in one field). The skin lesions with impairment of sensation in this patient are fully adequate to make a clinical diagnosis of leprosy even without the biopsy or AFB results. Skin biopsy and slit-skin smears help to establish the classification which is important in this patient. Annular lesions (macules with erythematous non-raised borders) with satellite macules are typical of BT leprosy. In addition she has motor peripheral nerve involvement, which further substantiates this diagnosis. If there were no impairment of sensation other conditions to consider in the differential diagnosis could be a drug eruption, but in this case the history is probably too long. Secondary syphilis, sarcoidosis, tinea (may be pruritic), morphea, and pitryriasis rosea would be considerations if there had not been anesthesia. Leprosy is an infectious disease of peripheral nerves and skin, whose features and complications are determined by the immune response. [reviewed in Lancet. 2004 Apr 10;363(9416):1209-19 and Clin Dermatol. 2007 Mar-Apr;25(2):165-72]. The usual and most practical grading system is the WHO classification into paucibacillary and multibacillary disease. It’s purpose, however, is solely to determine the chemotherapeutic treatment regimen. See the following previous cases for examples of different forms of leprosy (cases 2013-9; 2009-3, 2005-4). Where no slit skins smears can be done, paucibacillary leprosy is defined as 5 or fewer anaesthetic skin lesions and not more than one enlarged peripheral nerve; multibacillary cases have 6 or more anaesthetic skin lesions or more than one enlarged peripheral nerve. Paucibacillary disease usually presents with hypopigmented macules or erythematous plaques with absent sensation, well-demarcated borders, and some scaliness. Multibacillary disease is often widespread at diagnosis with indistinct macules, nodules or areas of infiltrated skin. Initially the lesions may show normal sensation. The disease can be classified precisely in the immunologic sense using the traditional Ridley-Jopling classification. This is a spectrum of disease ranging from tuberculoid leprosy (TT) with no or few AFB in lesions and good cell mediated immunity, to lepromatous leprosy (LL) with many AFB and poor cell-mediated immunity. Borderline tuberculoid (BT), borderline borderline (BB), and borderline lepromatous (BL) represent the unstable evolving stages of the disease. Immunological classification is important as it establishes the stability or otherwise of the patient’s immune response and predicts the reactions and neurological complications that may be expected during and after chemotherapy. The hypo-pigmented anesthetic macules with erythematous margins (annular lesions) and the small satellite lesions, with wide areas of spared skin are compatible with borderline tuberculoid leprosy (BT). The early development of anesthetic lesions is also compatible with the tuberculoid end of the spectrum. Patients with BB leprosy have not macules but plaques with raised edges, and several will have a punched-out characteristic. Because these patients still have high cell mediated immunity against leprosy, they form granulomas around infected cutaneous nerve endings and these granulomas destroy the nerve endings, producing anesthesia, dryness of the skin, with loss of sweat and loss of hairs due to autonomic nerve involvement. The disease can be classified precisely in the immunologic sense using the traditional Ridley-Jopling classification. This is a spectrum of disease ranging from tuberculoid leprosy (TT) with no or few AFB in lesions and good cell mediated immunity, to lepromatous leprosy (LL) with many AFB and poor cell-mediated immunity. Borderline tuberculoid (BT), borderline borderline (BB), and borderline lepromatous (BL) represent the unstable evolving stages of the disease. Immunological classification is important as it establishes the stability or otherwise of the patient’s immune response and predicts the reactions and neurological complications that may be expected during and after chemotherapyBT leprosy is paucibacillary and it usually has negative bacterial index on the slit skin smears. In this case, because the patient has positive AFB in the skin biopsy even though she is clinically paucibacillary, she should be treated with a multibacillary regime, that is with dapsone 100mg and clofazimine 50 mg daily plus rifampin 600mg and clofazimine 300 mg once a month for 12 months according to WHO. A standard WHO multibacillary dose-pack is shown [Image G]; the instructions which are in English must be clarified for all healthcare staff and patients. WHO now recommends only 1 year of therapy for multibacillary cases [controversy discussed in Lancet. 2004 Apr 10;363(9416):1209-19], but some would treat those with high bacterial indices (4 to 6+) for the previously recommended 2 years due to higher relapse rates. In some developed countries like the USA, multibacillary disease would be treated with alternative agents such as ofloxcin, minocycline, and clarithromycin due to the profound skin discoloration caused by clofazimine. When starting therapy for these patients, it is important to warn them about the possibility of developing a type 1 reaction, which consists of inflammation of the skin lesions and/or the peripheral nerves, so that the patient does not stop the therapy for leprosy thinking that it is producing the reaction. The reaction is caused by increases in T-cell reactivity to M. leprae with infiltration of reactive CD4 cells into skin lesions and nerves. Type 1 reactions are treated mostly with corticosteroids. This reaction occurs in about 30% of the BT patients and this patient has not experienced it to date after 9 months of therapy. After treatment is completed, some patients may partially recover their skin sensation, but longstanding nerve damage is irreversible. Our patient says she is recovering some sensation and the strength at least of her big toes. In summary, leprosy is an infection, a neuropathy and an immune disorder and treatment involves chemotherapy, immunotherapy, and neurological management. |


