![]() |
Gorgas Case 2017-05 |
![]() |
|
The patient was seen on the wards of the Cusco Regional Hospital.
![]() History: 12 year old girl who presents with headache and seizures. She was healthy until aged 9 years when she had a single tonic clonic seizure and then remained asymptomatic until 2 months prior to admission, when her mother noted a second seizure. She then developed global and pulsatile headaches unresponsive to analgesics. Three days prior to admission, she developed a more severe headache, associated with some dysarthria and photophobia.
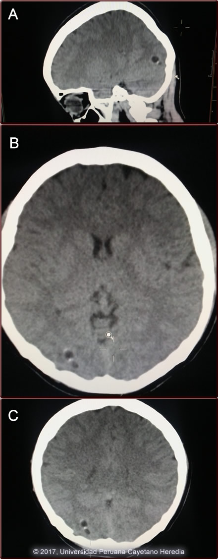
Epidemiology: Born and lived all her life in Cusco city in the Andean highlands. No illness in the family. No known TB contacts. Physical Examination: Blood pressure 120/70 pulse 89, afebrile. She was alert, oriented in no acute distress. Pupils equal and reactive, fundi clear. Physical examination and a detailed neurologic examination were normal. Laboratory: Hb 16.0 Hct 48.4 WBC 10.0 (normal differential, no eos) platelets 207 Glucose 96; Urea 21; Cr 0.67; normal liver enzymes. Normal Chest x-ray. Non-contrast head CT is shown (Images A,B,C).
UPCH Case Editors: Carlos Seas, Clinical Course Coordinator / Sofia Zavala, Associate Coordinator UAB Case Editor: David O. Freedman, Course Director Emeritus / German Henostroza, Course Director |
|
Diagnosis: Neurocysticercosis due to Taenia solium. Parenchymal form.
![]() Discussion:Diagnosis of neurocysticercosis can be problematic, especially in patients with one or 2 lesions. The imaging studies usually show cystic lesions (as in this case), but often do not demonstrate the scolex, which can be diagnostic. Studies in southern India of patients with single enhancing lesions were used to develop a clinical definition of cysticercosis. They found that, in patients with seizures, the combination of a single round lesion less than 2 cm in diameter with no midline shift, no symptoms or signs of other diseases, and a non-focal neurologic examination was highly predictive of neurocysticercosis. In a prospective study, this definition had a sensitivity of 99% and a specificity of 98.9% for cysticercosis [Rajshekhar V et al. Acta Neurol Scand 1987;96:76]. This definition has been incorporated into current guidelines for diagnosis [Del Brutto OH et. al. J Neurol SCi 2017;372:202]. Our patient had 2 lesions rather than 1, but they were clustered together and essentially met those criteria. The non-contrast CT scans are shown. Image A is s sagittal view that shows two cysts close to each other in the right occipital area without obvious edema. Image C is a coronal view that shows the two cysts lesions. While there is no definite scolex, the focal area of increased density on the edge of the cystic area suggests a scolex. The scolex is the head of the larval T. solium tapeworm. Typical viable lesions with scolex are shown in image D (from another patient). Cysticercosis is infection with the larval stages of the human pork tapeworm Taenia solium. Humans acquire cysticercosis after ingesting eggs of T. solium in material contaminated with feces originating in human tapeworm carriers. Humans that do not eat pork can get cysticercosis. Ingestion of contaminated pork results in humans getting an adult intestinal tapeworm – not cysticercosis. Cysticercosis is common in many developing countries and very common in rural agricultural areas of Perú. In developed countries, the long-lived cysticerci are increasingly seen as immigration from affected areas rises. Occasional transmission by tapeworm carriers to those who have never left non-endemic countries is reported. Ingested T. solium eggs hatch in the stomach and are then carried to the muscles and other tissues where the larvae encyst and reach their usual size of about 1 cm within a few months. Separate clinical, diagnostic, and therapeutic considerations apply to patients with the 4 forms of neurocysticercosis: intraparenchymal, ventricular, sub-arachnoid or spinal. See Gorgas Cases 2014-10, 2011-06, 2007-02, and 2006-04 for discussion of these presentations. The cysticerci seem able to evade the immune system and are thought to remain viable for several years without causing any inflammatory response, so that most infected patients are asymptomatic for years alter infection. Most clinical symptoms are the direct result of inflammatory responses that accompany the eventual cyst degeneration, but most patients likely remain asymptomatic even as cysts die. Epileptic seizures are the primary or sole clinical manifestation in up to 80% of symptomatic patients. In endemic regions new onset seizures in teenagers or young adults is most likely due to neurocysticercosis. Cysticerci can also cause symptoms because of mass effect, impingement on a vital structure or, especially if the cyst is intraventricular, blockage of CSF circulation. Patients with one or 2 parenchymal cysticerci have a relatively benign form of the disease. Even without specific treatment, the disease is usually self-limited. Based on that some clinicians had recommended not using antiparasitic treatment. However, the time course is often prolonged. Two meta-analyses of randomized trials have been published on treatment of patients meeting the definition of solitary cysticercal granulomas [Zhao BC et al. PLoS Neg Trop Dis 2016;10(2):e0004418; Otte WM et al. Neurology 2013;80:152] . Overall, the radiographic resolution is more rapid and the number of seizures during the 6 months after diagnosis is improved in patients treated with a short course of albendazole and corticosteroids (typically 1-2 weeks). However, that treatment did not decrease the proportion of patients who subsequently developed calcifications on CT scan and did not impact the frequency of seizure more than 6 months after presentation. Interestingly, most patients with a single lesion resolve without forming calcifications. In those with few seizures and radiographic resolution (which usually occurs within 6 months of albendazole treatment), anti-epileptic drugs can safely be tapered off. Parenchymal neurocysticercosis with more than 2 viable and/or degenerating cysts should be treated with Albendazole 15 mg/kg per day (max. 800 mg/day) + Praziquantel 50 mg/kg per day + Dexamethasone 0.1 mg/kg/day beginning 1 day prior to anti parasitic drugs] x 10 days ± Anti-seizure medication if needed [Garcia HH et. al. Lancet Infect Dis 2014;14:687]. Some data suggest that higher doses of corticosteroids may decrease early seizures. Albendazole alone without praziquantel is likely adequate if only 1-2 cysts on an MRI. Dead, calcified cysts only require no antiparasitic treatment. Our patient responded rapidly to albendazole and steroids. |


