
Research in the division covers basic mechanisms of T lymphocyte function , translational studies of the role of the microbiome in spondyloarthritis, clinical studies of temporomandibular joint arthritis and macrophage activation syndrome , and several projects aimed at optimizing the treatment of juvenile idiopathic arthritis (JIA).
Faculty Research Interests
John M. Bridges, M.D., M.S.
Transitions to adulthood for young adults with childhood-onset rheumatic disease.
Randy Cron, M.D., Ph.D.
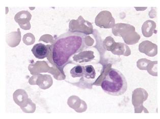
Macrophage Activation Syndrome
Temporomandibular Joint Arthritis
HIV-1 Transcription and Latency
Melissa Mannion, M.D., MSPH
Outcomes of Juvenile Idiopathic Arthritis in Adults
Matthew Stoll, M.D., Ph.D., MSCS
The role of the Microbiome in Spondyloarthritis
Temporomandibular Joint Arthritis
Emily A. Smitherman, M.D., MSCTR
Optimizing healthcare delivery for children with chronic rheumatic disease, impact of health system interventions on patient outcomes.
Clinical Research
Temporomandibular Joint Arthritis (TMJ)
Rheumatology at Children's of Alabama is a worldwide leader in the diagnosis and treatment of TMJ arthritis in children with JIA.
{slide=Selected TMJ Publications}
Towards Establishing a Standardized Magnetic Resonance Imaging Scoring System for Temporomandibular Joints in Juvenile Idiopathic Arthritis. Tolend MA, Twilt M, Cron RQ, Tzaribachev N, Guleria S, von Kalle T, Koos B, Miller E, Stimec J, Vaid Y, Larheim TA, Herlin T, Spiegel L, Inarejos E, Moineddin R, van Rossum MA, Saurenmann RK, Doria AS, Kellenberger CJ. Arthritis Care Res (Hoboken). 2017 Aug 13. [Epub ahead of print]. PMID: 28805021
Clinical Orofacial Examination in Juvenile Idiopathic Arthritis: International Consensus-based Recommendations for Monitoring Patients in Clinical Practice and Research Studies. Stoustrup P, Twilt M, Spiegel L, Kristensen KD, Koos B, Pedersen TK, Küseler A, Cron RQ, Abramowicz S, Verna C, Peltomäki T, Alstergren P, Petty R, Ringold S, Nørholt SE, Saurenmann RK, Herlin T; euroTMjoint Research Network. J Rheumatol. 2017 Mar;44(3):326-333. PMID: 28089967
Magnetic Resonance Imaging Findings following Intraarticular Infliximab Therapy for Refractory Temporomandibular Joint Arthritis among Children with Juvenile Idiopathic Arthritis. Stoll ML, Vaid YN, Guleria S, Beukelman T, Waite PD, Cron RQ. J Rheumatol. 2015 Nov;42(11):2155-9. PMID: 26329345
Results of a multinational survey regarding the diagnosis and treatment of temporomandibular joint involvement in juvenile idiopathic arthritis. Foeldvari I, Tzaribachev N, Cron RQ. Pediatr Rheumatol Online J. 2014 Jan 25;12:6. PMID: 24461073
Imaging of the temporomandibular joint in juvenile idiopathic arthritis. Vaid YN, Dunnavant FD, Royal SA, Beukelman T, Stoll ML, Cron RQ. Arthritis Care Res (Hoboken). 2014 Jan;66(1):47-54. PMID: 24106204
Safety and efficacy of intra-articular infliximab therapy for treatment-resistant temporomandibular joint arthritis in children: a retrospective study. Stoll ML, Morlandt AB, Teerawattanapong S, Young D, Waite PD, Cron RQ. Rheumatology (Oxford). 2013 Mar;52(3):554-9. PMID: 23221325
Temporomandibular joint arthritis in pediatric sjogren disease and sarcoidosis. Fain ET, Atkinson GP, Weiser P, Beukelman T, Cron RQ. J Rheumatol. 2011 Oct;38(10):2272-3. PMID: 21965699.
Intra-articular corticosteroid injections to the temporomandibular joints are safe and appear to be effective therapy in children with juvenile idiopathic arthritis. Stoll ML, Good J, Sharpe T, Beukelman T, Young D, Waite PD, Cron RQ. J Oral Maxillofac Surg. 2012 Aug;70(8):1802-7. PMID: 22265164.
Risk factors for temporomandibular joint arthritis in children with juvenile idiopathic arthritis. Stoll ML, Sharpe T, Beukelman T, Good J, Young D, Cron RQ. J Rheumatol. 2012 Sep;39(9):1880-7. PMID: 22589268.
Management of temporomandibular joint arthritis in adult rheumatology practices: a survey of adult rheumatologists. Ringold S, Tzaribachev N, Cron RQ. Pediatr Rheumatol Online J. 2012 Aug 20;10(1):26. doi: 10.1186/1546-0096-10-26. PMID: 22906004.
Safety and efficacy of intra-articular infliximab therapy for treatment-resistant temporomandibular joint arthritis in children: a retrospective study. Stoll ML, Morlandt AB, Teerawattanapong S, Young D, Waite PD, Cron RQ. Rheumatology (Oxford). 2012 Dec 5. [Epub ahead of print] PMID: 23221325.
The temporomandibular joint in juvenile idiopathic arthritis: frequently used and frequently arthritic. Ringold S, Cron RQ. Pediatr Rheumatol Online J. 2009 May 29;7:11.PMID: 19480670. .pdf
High prevalence of temporomandibular joint arthritis at disease onset in children with juvenile idiopathic arthritis, as detected by magnetic resonance imaging but not by ultrasound. Weiss PF, Arabshahi B, Johnson A, Bilaniuk LT, Zarnow D, Cahill AM, Feudtner C, Cron RQ. Arthritis Rheum. 2008 Apr;58(4):1189-96.PMID: 18383394. .pdf
Reactive arthritis of the temporomandibular joints and cervical spine in a child. Arabshahi B, Baskin KM, Cron RQ. Pediatr Rheumatol Online J. 2007 Apr 4;5:4.PMID: 17550629. .pdf
CT-guided percutaneous steroid injection for management of inflammatory arthropathy of the temporomandibular joint in children. Cahill AM, Baskin KM, Kaye RD, Arabshahi B, Cron RQ, Dewitt EM, Bilaniuk L, Towbin RB. AJR Am J Roentgenol. 2007 Jan;188(1):182-6.PMID: 17179362. .pdf
Temporomandibular joint arthritis in juvenile idiopathic arthritis: the forgotten joint. Arabshahi B, Cron RQ. Curr Opin Rheumatol. 2006 Sep;18(5):490-5. Review.PMID: 16896288. .pdf
Utility of corticosteroid injection for temporomandibular arthritis in children with juvenile idiopathic arthritis. Arabshahi B, Dewitt EM, Cahill AM, Kaye RD, Baskin KM, Towbin RB, Cron RQ. Arthritis Rheum. 2005 Nov;52(11):3563-9.PMID: 16255045. .pdf
{/slide}
Macrophage Activation Syndrome (MAS)
MAS is a frequently fatal complication of certain rheumatic disorders, and Pediatric Rheumatology at UAB/Children's of Alabama is at the forefront for developing diagnostic criteria for and treatment of MAS in children.
{slide=Selected MAS Publications}
Development and Initial Validation of the Macrophage Activation Syndrome/Primary Hemophagocytic Lymphohistiocytosis Score, a Diagnostic Tool that Differentiates Primary Hemophagocytic Lymphohistiocytosis from Macrophage Activation Syndrome. Minoia F, Bovis F, Davì S, Insalaco A, Lehmberg K, Shenoi S, Weitzman S, Espada G, Gao YJ, Anton J, Kitoh T, Kasapcopur O, Sanner H, Merino R, Astigarraga I, Alessio M, Jeng M, Chasnyk V, Nichols KE, Huasong Z, Li C, Micalizzi C, Ruperto N, Martini A, Cron RQ, Ravelli A, Horne A; Pediatric Rheumatology International Trials Organization, the Childhood Arthritis and Rheumatology Research Alliance, the Pediatric Rheumatology Collaborative Study Group, and the Histiocyte Society. J Pediatr. 2017 Aug 11. pii: S0022-3476(17)30783-7. doi: 10.1016/j.jpeds.2017.06.005. [Epub ahead of print] PMID: 28807357
Biologic therapy modifies clinical and laboratory features of macrophage activation syndrome associated with systemic juvenile idiopathic arthritis. Schulert GS, Minoia F, Bohnsack J, Cron RQ, Hashad S, Kone-Paut I, Kostik M, Lovell D, Maritsi D, Nigrovic PA, Pal P, Ravelli A, Shimizu M, Stanevicha V, Vastert S, Woerner A, de Benedetti F, Grom AA. Arthritis Care Res (Hoboken). 2017 May 12. doi: 10.1002/acr.23277. [Epub ahead of print] PMID: 28499329
Development of spondyloarthropathy following episodes of macrophage activation syndrome in children with heterozygous mutations in haemophagocytic lymphohistiocytosis-associated genes. Cron RQ, Chatham WW. Clin Exp Rheumatol. 2016 Sep-Oct;34(5):953. PMID: 27383696
A Heterozygous RAB27A Mutation Associated with Delayed Cytolytic Granule Polarization and Hemophagocytic Lymphohistiocytosis. Zhang M, Bracaglia C, Prencipe G, Bemrich-Stolz CJ, Beukelman T, Dimmitt RA, Chatham WW, Zhang K, Li H, Walter MR, De Benedetti F, Grom AA, Cron RQ. J Immunol. 2016 Mar 15;196(6):2492-503. PMID: 26880764
2016 Classification Criteria for Macrophage Activation Syndrome Complicating Systemic Juvenile Idiopathic Arthritis: A European League Against Rheumatism/American College of Rheumatology/Paediatric Rheumatology International Trials Organisation Collaborative Initiative. Ravelli A, Minoia F, Davì S, Horne A, Bovis F, Pistorio A, Aricò M, Avcin T, Behrens EM, De Benedetti F, Filipovic L, Grom AA, Henter JI, Ilowite NT, Jordan MB, Khubchandani R, Kitoh T, Lehmberg K, Lovell DJ, Miettunen P, Nichols KE, Ozen S, Pachlopnik Schmid J, Ramanan AV, Russo R, Schneider R, Sterba G, Uziel Y, Wallace C, Wouters C, Wulffraat N, Demirkaya E, Brunner HI, Martini A, Ruperto N, Cron RQ; Paediatric Rheumatology International Trials Organisation; Childhood Arthritis and Rheumatology Research Alliance; Pediatric Rheumatology Collaborative Study Group; Histiocyte Society. Ann Rheum Dis. 2016 Mar;75(3):481-9. PMID: 26865703
Expert consensus on dynamics of laboratory tests for diagnosis of macrophage activation syndrome complicating systemic juvenile idiopathic arthritis. Ravelli A, Minoia F, Davì S, Horne A, Bovis F, Pistorio A, Aricò M, Avcin T, Behrens EM, De Benedetti F, Filipovic A, Grom AA, Henter JI, Ilowite NT, Jordan MB, Khubchandani R, Kitoh T, Lehmberg K, Lovell DJ, Miettunen P, Nichols KE, Ozen S, Pachlopnik Schmid J, Ramanan AV, Russo R, Schneider R, Sterba G, Uziel Y, Wallace C, Wouters C, Wulffraat N, Demirkaya E, Brunner HI, Martini A, Ruperto N, Cron RQ. RMD Open. 2016 Jan 19;2(1):e000161. PMID: 26848401
Whole-Exome Sequencing Reveals Mutations in Genes Linked to Hemophagocytic Lymphohistiocytosis and Macrophage Activation Syndrome in Fatal Cases of H1N1 Influenza. Schulert GS, Zhang M, Fall N, Husami A, Kissell D, Hanosh A, Zhang K, Davis K, Jentzen JM, Napolitano L, Siddiqui J, Smith LB, Harms PW, Grom AA, Cron RQ. J Infect Dis. 2016 Apr 1;213(7):1180-8. PMID: 26597256
Interleukin-1 Receptor Blockade Is Associated With Reduced Mortality in Sepsis Patients With Features of Macrophage Activation Syndrome: Reanalysis of a Prior Phase III Trial. Shakoory B, Carcillo JA, Chatham WW, Amdur RL, Zhao H, Dinarello CA, Cron RQ, Opal SM. Crit Care Med. 2016 Feb;44(2):275-81. PMID: 26584195
Macrophage Activation Syndrome. Ravelli A, Davì S, Minoia F, Martini A, Cron RQ. Hematol Oncol Clin North Am. 2015 Oct;29(5):927-41. PMID: 26461152
2016 Classification Criteria for Macrophage Activation Syndrome Complicating Systemic Juvenile Idiopathic Arthritis: A European League Against Rheumatism/American College of Rheumatology/Paediatric Rheumatology International Trials Organisation Collaborative Initiative. Ravelli A, Minoia F, Davì S, Horne A, Bovis F, Pistorio A, Aricò M, Avcin T, Behrens EM, De Benedetti F, Filipovic L, Grom AA, Henter JI, Ilowite NT, Jordan MB, Khubchandani R, Kitoh T, Lehmberg K, Lovell DJ, Miettunen P, Nichols KE, Ozen S, Pachlopnik Schmid J, Ramanan AV, Russo R, Schneider R, Sterba G, Uziel Y, Wallace C, Wouters C, Wulffraat N, Demirkaya E, Brunner HI, Martini A, Ruperto N, Cron RQ; Paediatric Rheumatology International Trials Organisation; Childhood Arthritis and Rheumatology Research Alliance; Pediatric Rheumatology Collaborative Study Group; Histiocyte Society. Arthritis Rheumatol. 2016 Mar;68(3):566-76. PMID: 26314788
Does Viral Hemorrhagic Fever Represent Reactive Hemophagocytic Syndrome? Cron RQ, Behrens EM, Shakoory B, Ramanan AV, Chatham WW. J Rheumatol. 2015 Jul;42(7):1078-80. PMID: 26136549
Clinical features and correct diagnosis of macrophage activation syndrome. Cron RQ, Davi S, Minoia F, Ravelli A. Expert Rev Clin Immunol. 2015;11(9):1043-53. PMID: 26082353
Kill or be killed. Behrens EM, Cron RQ. J Immunol. 2015 Jun 1;194(11):5041-3. PMID: 25980027
Dissecting the heterogeneity of macrophage activation syndrome complicating systemic juvenile idiopathic arthritis. Minoia F, Davì S, Horne A, Bovis F, Demirkaya E, Akikusa J, Ayaz NA, Al-Mayouf SM, Barone P, Bica B, Bolt I, Breda L, De Cunto C, Enciso S, Gallizzi R, Griffin T, Hennon T, Horneff G, Jeng M, Kapovic AM, Lipton JM, Magni Manzoni S, Rumba-Rozenfelde I, Magalhaes CS, Sewairi WM, Stine KC, Vougiouka O, Weaver LK, Davidsone Z, De Inocencio J, Ioseliani M, Lattanzi B, Tezer H, Buoncompagni A, Picco P, Ruperto N, Martini A, Cron RQ, Ravelli A; Pediatric Rheumatology International Trials Organization; Childhood Arthritis and Rheumatology Research Alliance; Pediatric Rheumatology Collaborative Study Group; Histiocyte Society. J Rheumatol. 2015 Jun;42(6):994-1001. PMID: 25877504
Genetic defects in cytolysis in macrophage activation syndrome. Zhang M, Behrens EM, Atkinson TP, Shakoory B, Grom AA, Cron RQ. Curr Rheumatol Rep. 2014;16(9):439. PMID: 25086802
Clinical features, treatment, and outcome of macrophage activation syndrome complicating systemic juvenile idiopathic arthritis: a multinational, multicenter study of 362 patients. Minoia F, Davì S, Horne A, Demirkaya E, Bovis F, Li C, Lehmberg K, Weitzman S, Insalaco A, Wouters C, Shenoi S, Espada G, Ozen S, Anton J, Khubchandani R, Russo R, Pal P, Kasapcopur O, Miettunen P, Maritsi D, Merino R, Shakoory B, Alessio M, Chasnyk V, Sanner H, Gao YJ, Huasong Z, Kitoh T, Avcin T, Fischbach M, Frosch M, Grom A, Huber A, Jelusic M, Sawhney S, Uziel Y, Ruperto N, Martini A, Cron RQ, Ravelli A; Pediatric Rheumatology International Trials Organization; Childhood Arthritis and Rheumatology Research Alliance; Pediatric Rheumatology Collaborative Study Group; Histiocyte Society. Arthritis Rheumatol. 2014 Nov;66(11):3160-9. PMID: 25077692
High dose Anakinra for treatment of severe neonatal Kawasaki disease: a case report. Shafferman A, Birmingham JD, Cron RQ. Pediatr Rheumatol Online J. 2014 Jul 11;12:26. PMID: 25045337
Performance of current guidelines for diagnosis of macrophage activation syndrome complicating systemic juvenile idiopathic arthritis. Davì S, Minoia F, Pistorio A, Horne A, Consolaro A, Rosina S, Bovis F, Cimaz R, Gamir ML, Ilowite NT, Kone-Paut I, Feitosa de Oliveira SK, McCurdy D, Silva CA, Sztajnbok F, Tsitsami E, Unsal E, Weiss JE, Wulffraat N, Abinun M, Aggarwal A, Apaz MT, Astigarraga I, Corona F, Cuttica R, D'Angelo G, Eisenstein EM, Hashad S, Lepore L, Mulaosmanovic V, Nielsen S, Prahalad S, Rigante D, Stanevicha V, Sterba G, Susic G, Takei S, Trauzeddel R, Zletni M, Ruperto N, Martini A, Cron RQ, Ravelli A; Paediatric Rheumatology International Trials Organisation, the Childhood Arthritis and Rheumatology Research Alliance, the Pediatric Rheumatology Collaborative Study Group, and the Histiocyte Society. Arthritis Rheumatol. 2014 Oct;66(10):2871-80. PMID: 25044674
Higher-dose Anakinra is effective in a case of medically refractory macrophage activation syndrome. Kahn PJ, Cron RQ. J Rheumatol. 2013 May;40(5):743-4. PMID: 23637382
An international consensus survey of diagnostic criteria for macrophage activation syndrome in systemic juvenile idiopathic arthritis. Davì S, Consolaro A, Guseinova D, Pistorio A, Ruperto N, Martini A, Cron RQ, Ravelli A; MAS Study Group. J Rheumatol. 2011 Apr;38(4):764-8. PMID: 21285158.
Macrophage activation syndrome as part of systemic juvenile idiopathic arthritis: diagnosis, genetics, pathophysiology and treatment. Ravelli A, Grom AA, Behrens EM, Cron RQ. Genes Immun. 2012 Jun;13(4):289-98. PMID: 22418018.
Intensive care requirement, rather than degree of serum ferritin elevation, predicts mortality in macrophage activation syndrome. Mannion ML, Cron RQ. Pediatr Crit Care Med. 2012 Sep;13(5):616; author reply 616-7. PMID: 22955471.
Successful treatment of severe paediatric rheumatic disease-associated macrophage activation syndrome with interleukin-1 inhibition following conventional immunosuppressive therapy: case series with 12 patients. Miettunen PM, Narendran A, Jayanthan A, Behrens EM, Cron RQ. Rheumatology (Oxford). 2010 Aug 7. [Epub ahead of print] PMID: 20693540. .pdf
Evaluation of the presentation of systemic onset juvenile rheumatoid arthritis: data from the Pennsylvania Systemic Onset Juvenile Arthritis Registry (PASOJAR). Behrens EM, Beukelman T, Gallo L, Spangler J, Rosenkranz M, Arkachaisri T, Ayala R, Groh B, Finkel TH, Cron RQ. J Rheumatol. 2008 Feb;35(2):343-8. Epub 2007 Dec 15.PMID: 18085728. .pdf
Occult macrophage activation syndrome in patients with systemic juvenile idiopathic arthritis. Behrens EM, Beukelman T, Paessler M, Cron RQ. J Rheumatol. 2007 May;34(5):1133-8. Epub 2007 Mar 1.PMID: 17343315. .pdf
Interleukin 1 receptor antagonist to treat cytophagic histiocytic panniculitis with secondary hemophagocytic lymphohistiocytosis. Behrens EM, Kreiger PA, Cherian S, Cron RQ. J Rheumatol. 2006 Oct;33(10):2081-4.PMID: 17014024. .pdf
{/slide}
Optimal Treatment for Juvenile Idiopathic Arthritis (JIA)
A grant to develop the first ever treatment guidelines for JIA was awarded to the UAB Division of Pediatric Rheumatology. The guidelines were published in 2010.
{slide=Selected JIA Publications}
2011 - 2012:
Spondyloarthritis in a pediatric population: risk factors for sacroiliitis. Stoll ML, Bhore R, Dempsey-Robertson M, Punaro M. J Rheumatol. 2010 Nov;37(11):2402-8. PMID: 20682668.
Combination therapy of abatacept and anakinra in children with refractory systemic juvenile idiopathic arthritis: a retrospective case series. Record JL, Beukelman T, Cron RQ. J Rheumatol. 2011 Jan;38(1):180-1. PMID: 21196588.
Anakinra as first-line disease-modifying therapy in systemic juvenile idiopathic arthritis: report of forty-six patients from an international multicenter series. Nigrovic PA, Mannion M, Prince FH, Zeft A, Rabinovich CE, van Rossum MA, Cortis E, Pardeo M, Miettunen PM, Janow G, Birmingham J, Eggebeen A, Janssen E, Shulman AI, Son MB, Hong S, Jones K, Ilowite NT, Cron RQ, Higgins GC. Arthritis Rheum. 2011 Feb;63(2):545-55. PMID: 21280009.
2011 American College of Rheumatology recommendations for the treatment of juvenile idiopathic arthritis: initiation and safety monitoring of therapeutic agents for the treatment of arthritis and systemic features. Beukelman T, Patkar NM, Saag KG, Tolleson-Rinehart S, Cron RQ, DeWitt EM, Ilowite NT, Kimura Y, Laxer RM, Lovell DJ, Martini A, Rabinovich CE, Ruperto N. Arthritis Care Res (Hoboken). 2011 Apr;63(4):465-82. PMID: 21452260.
Psoriatic juvenile idiopathic arthritis: a tale of two subgroups. Stoll ML, Punaro M. Curr Opin Rheumatol. 2011 Sep;23(5):437-43. PMID: 21709556.
Fecal calprotectin in children with the enthesitis-related arthritis subtype of juvenile idiopathic arthritis. Stoll ML, Punaro M, Patel AS. J Rheumatol. 2011 Oct;38(10):2274-5. PMID: 1965700.
Attainment of inactive disease status following initiation of TNF-α inhibitor therapy for juvenile idiopathic arthritis: enthesitis-related arthritis predicts persistent active disease. Donnithorne KJ, Cron RQ, Beukelman T. J Rheumatol. 2011 Dec;38(12):2675-81. PMID: 22089470.
Consensus treatment plans for new-onset systemic juvenile idiopathic arthritis. DeWitt EM, Kimura Y, Beukelman T, Nigrovic PA, Onel K, Prahalad S, Schneider R, Stoll ML, Angeles-Han S, Milojevic D, Schikler KN, Vehe RK, Weiss JE, Weiss P, Ilowite NT, Wallace CA; Juvenile Idiopathic Arthritis Disease-specific Research Committee of Childhood Arthritis Rheumatology and Research Alliance. Arthritis Care Res (Hoboken). 2012 Jul;64(7):1001-10. PMID: 22290637.
MR enterography to evaluate sub-clinical intestinal inflammation in children with spondyloarthritis. Stoll ML, Patel AS, Punaro M, Dempsey-Robertson M. Pediatr Rheumatol Online J. 2012 Feb 8;10:6. doi: 10.1186/1546-0096-10-6. PMID: 22316421.
Rates of malignancy associated with juvenile idiopathic arthritis and its treatment. Beukelman T, Haynes K, Curtis JR, Xie F, Chen L, Bemrich-Stolz CJ, Delzell E, Saag KG, Solomon DH, Lewis JD; Safety Assessment of Biological Therapeutics Collaboration. Arthritis Rheum. 2012 Apr;64(4):1263-71. PMID: 22328538.
Rates of hospitalized bacterial infection associated with juvenile idiopathic arthritis and its treatment. Beukelman T, Xie F, Chen L, Baddley JW, Delzell E, Grijalva CG, Lewis JD, Ouellet-Hellstrom R, Patkar NM, Saag KG, Winthrop KL, Curtis JR; SABER Collaboration. Arthritis Rheum. 2012 Aug;64(8):2773-80. PMID: 22569881.
Disease-modifying antirheumatic drug use in the treatment of juvenile idiopathic arthritis: a cross-sectional analysis of the CARRA Registry. Beukelman T, Ringold S, Davis TE, DeWitt EM, Pelajo CF, Weiss PF, Kimura Y; CARRA Registry Investigators. J Rheumatol. 2012 Sep;39(9):1867-74. PMID: 22859354.
Enthesitis-related Arthritis Is Associated with Higher Pain Intensity and Poorer Health Status in Comparison with Other Categories of Juvenile Idiopathic Arthritis: The Childhood Arthritis and Rheumatology Research Alliance Registry. Weiss PF, Beukelman T, Schanberg LE, Kimura Y, Colbert RA; for the CARRA Registry Investigators. J Rheumatol. 2012 Dec;39(12):2341-2351. PMID: 23070991.
2010:
Measuring process of arthritis care. A proposed set of quality measures for the process of care in juvenile idiopathic arthritis. Lovell DJ, Passo MH, Beukelman T, Bowyer SL, Gottlieb BS, Henrickson M, Ilowite NT, Kimura Y, Dewitt EM, Segerman J, Stein LD, Taylor J, Vehe RK, Giannini EH. Arthritis Care Res (Hoboken). 2010 Sep 14. [Epub ahead of print] PMID: 20842714.
Guilt by association - what is the true risk of malignancy in children treated with etanercept for JIA? Cron RQ, Beukelman T. Pediatr Rheumatol Online J. 2010 Aug 16;8:23.PMID: 20712883. .pdf
Effectiveness and toxicity of methotrexate in juvenile idiopathic arthritis: comparison of 2 initial dosing regimens. Becker ML, Rosé CD, Cron RQ, Sherry DD, Bilker WB, Lautenbach E. J Rheumatol. 2010 Apr;37(4):870-5. Epub 2010 Mar 1. PMID: 20194449.
Optimal treatment of knee monarthritis in juvenile idiopathic arthritis: a decision analysis. Beukelman T, Guevara JP, Albert DA. Arthritis Rheum. 2008 Nov 15;59(11):1580-8.PMID: 18975367. [PubMed - indexed for MEDLINE] Free Article Related citations .pdf
Septic abscess in a child with juvenile idiopathic arthritis receiving anti-tumor necrosis factor-alpha. Fitch PG, Cron RQ. J Rheumatol. 2006 Apr;33(4):825; author reply 826-7. PMID: 16583487.
Usage of intra-articular corticosteroid injections for the treatment of juvenile idiopathic arthritis: a survey of pediatric rheumatologists in the United States and Canada. Beukelman T, Guevara JP, Albert DA, Sherry DD, Burnham JM. Clin Exp Rheumatol. 2008 Jul-Aug;26(4):700-3.PMID: 18799109.
Pediatric rheumatology for the adult rheumatologist II: uveitis in juvenile idiopathic arthritis. Wright T, Cron RQ. J Clin Rheumatol. 2007 Aug;13(4):205-10. Review.PMID: 17762455.
Benefit of fluoroscopically guided intraarticular, long-acting corticosteroid injection for subtalar arthritis in juvenile idiopathic arthritis. Cahill AM, Cho SS, Baskin KM, Beukelman T, Cron RQ, Kaye RD, Towbin RB. Pediatr Radiol. 2007 Jun;37(6):544-8. Epub 2007 Apr 17.PMID: 17437095.
Benefit of intraarticular corticosteroid injection under fluoroscopic guidance for subtalar arthritis in juvenile idiopathic arthritis. Beukelman T, Arabshahi B, Cahill AM, Kaye RD, Cron RQ. J Rheumatol. 2006 Nov;33(11):2330-6. Epub 2006 Sep 15.PMID: 16981290.
Variation in the initial treatment of knee monoarthritis in juvenile idiopathic arthritis: a survey of pediatric rheumatologists in the United States and Canada. Beukelman T, Guevara JP, Albert DA, Sherry DD, Burnham JM. J Rheumatol. 2007 Sep;34(9):1918-24.PMID: 17787051.
A signal achievement in the treatment of arthritis. Cron RQ. Arthritis Rheum. 2005 Aug;52(8):2229-32. Review. No abstract available. Erratum in: Arthritis Rheum. 2005 Sep;52(9):2951. PMID:
Pediatric rheumatology for the adult rheumatologist I: therapy and dosing for pediatric rheumatic disorders. DeWitt EM, Sherry DD, Cron RQ. J Clin Rheumatol. 2005 Feb;11(1):21-33. Review. PMID: 16357693.
Current treatment for chronic arthritis in childhood. Cron RQ. Curr Opin Pediatr. 2002 Dec;14(6):684-7. Review. PMID: 12436035.
Treatment for JRA in the New Millennium. Cron RQ. J Clin Rheumatol. 2001 Oct;7(5):283-5. No abstract available. PMID: 17039155.
Nabumetone induced pseudoporphyria in childhood. Cron RQ, Finkel TH. J Rheumatol. 2000 Jul;27(7):1817-8. PMID: 10914877.
Current treatment by United States and Canadian pediatric rheumatologists. Cron RQ, Sharma S, Sherry DD. J Rheumatol. 1999 Sep;26(9):2036-8.PMID: 10493688.
Methotrexate-induced hypersensitivity pneumonitis in a child with juvenile rheumatoid arthritis. Cron RQ, Sherry DD, Wallace CA. J Pediatr. 1998 May;132(5):901-2.PMID: 9602213.
{/slide}
Treatment of Other Pediatric Rheumatic Diseases
Uncommon diseases often require innovative ideas in order to develop novel effective therapies. Pediatric Rheumatology at Children’s of Alabama takes a reasoned but aggressive approach to keep disease activity in check while minimizing toxicity from therapy.
{slide=Selected Publications}
2011
Brain cavernomas associated with en coup de sabre linear scleroderma: Two case reports. Fain ET, Mannion M, Pope E, Young DW, Laxer RM, Cron RQ. Pediatr Rheumatol Online J. 2011 Jul 29;9:18. PMID: 21801349
2012
Sarcoidosis in a young child with Alagille syndrome: a case report. Mannion M, Zolak M, Kelly DR, Beukelman T, Cron RQ. Pediatr Rheumatol Online J. 2012 Aug 31;10(1):32. PMID: 22937766
2013
Higher-dose Anakinra is effective in a case of medically refractory macrophage activation syndrome. Kahn PJ, Cron RQ. J Rheumatol. 2013 May;40(5):743-4. PMID: 23637382
Retinal vasculitis in two pediatric patients with systemic lupus erythematosus: a case report. Donnithorne KJ, Read RW, Lowe R, Weiser P, Cron RQ, Beukelman T. Pediatr Rheumatol Online J. 2013 Jun 4;11(1):25. PMID: 23734963
High doses of infliximab in the management of juvenile idiopathic arthritis. Tambralli A, Beukelman T, Weiser P, Atkinson TP, Cron RQ, Stoll ML. J Rheumatol. 2013 Oct;40(10):1749-55. PMID: 23950184
2013 update of the 2011 American College of Rheumatology recommendations for the treatment of juvenile idiopathic arthritis: recommendations for the medical therapy of children with systemic juvenile idiopathic arthritis and tuberculosis screening among children receiving biologic medications. Ringold S, Weiss PF, Beukelman T, Dewitt EM, Ilowite NT, Kimura Y, Laxer RM, Lovell DJ, Nigrovic PA, Robinson AB, Vehe RK; American College of Rheumatology. Arthritis Care Res (Hoboken). 2013 Oct;65(10):1551-63. PMID: 24078300
Treatment of juvenile idiopathic arthritis in the biologic age. Stoll ML, Cron RQ. Rheum Dis Clin North Am. 2013 Nov;39(4):751-66. PMID: 24182853
2014
Treatment advances in systemic juvenile idiopathic arthritis. Beukelman T. F1000Prime Rep. 2014 Apr 1;6:21. PMID: 24765526
Treatment of juvenile idiopathic arthritis: a revolution in care. Stoll ML, Cron RQ. Pediatr Rheumatol Online J. 2014 Apr 23;12:13. PMID: 24782683
High dose Anakinra for treatment of severe neonatal Kawasaki disease: a case report. Shafferman A, Birmingham JD, Cron RQ. Pediatr Rheumatol Online J. 2014 Jul 11;12:26. PMID: 25045337
Recent trends in medication usage for the treatment of juvenile idiopathic arthritis and the influence of tumor necrosis factor inhibitors. Mannion ML, Xie F, Curtis JR, Beukelman T. J Rheumatol. 2014 Oct;41(10):2078-84. PMID: 25086081
2015
Safety and efficacy of rituximab in childhood-onset systemic lupus erythematosus and other rheumatic diseases. Tambralli A, Beukelman T, Cron RQ, Stoll ML. J Rheumatol. 2015 Mar;42(3):541-6. PMID: 25593242
Kill or be killed. Behrens EM, Cron RQ. J Immunol. 2015 Jun 1;194(11):5041-3. PMID: 25980027
Magnetic Resonance Imaging Findings following Intraarticular Infliximab Therapy for Refractory Temporomandibular Joint Arthritis among Children with Juvenile Idiopathic Arthritis. Stoll ML, Vaid YN, Guleria S, Beukelman T, Waite PD, Cron RQ. J Rheumatol. 2015 Nov;42(11):2155-9. PMID: 26329345
2016
Interleukin-1 Receptor Blockade Is Associated With Reduced Mortality in Sepsis Patients With Features of Macrophage Activation Syndrome: Reanalysis of a Prior Phase III Trial. Shakoory B, Carcillo JA, Chatham WW, Amdur RL, Zhao H, Dinarello CA, Cron RQ, Opal SM. Crit Care Med. 2016 Feb;44(2):275-81. PMID: 26584195
Ustekinumab as a Therapeutic Option for Children With Refractory Enthesitis-Related Arthritis. Mannion ML, McAllister L, Cron RQ, Stoll ML. J Clin Rheumatol. 2016 Aug;22(5):282-4. PMID: 27464779
2017
Attitudes and Approaches for Withdrawing Drugs for Children with Clinically Inactive Nonsystemic JIA: A Survey of the Childhood Arthritis and Rheumatology Research Alliance. Horton DB, Onel KB, Beukelman T, Ringold S. J Rheumatol. 2017 Mar;44(3):352-360. PMID: 28148696
Pilot study comparing the Childhood Arthritis & Rheumatology Research Alliance (CARRA) systemic Juvenile Idiopathic Arthritis Consensus Treatment Plans. Kimura Y, Grevich S, Beukelman T, Morgan E, Nigrovic PA, Mieszkalski K, Graham TB, Ibarra M, Ilowite N, Klein-Gitelman M, Onel K, Prahalad S, Punaro M, Ringold S, Toib D, Van Mater H, Weiss JE, Weiss PF, Schanberg LE; CARRA Registry Investigators. Pediatr Rheumatol Online J. 2017 Apr 11;15(1):23. PMID: 28399931
Biologic therapy modifies clinical and laboratory features of macrophage activation syndrome associated with systemic juvenile idiopathic arthritis. Schulert GS, Minoia F, Bohnsack J, Cron RQ, Hashad S, Kone-Paut I, Kostik M, Lovell D, Maritsi D, Nigrovic PA, Pal P, Ravelli A, Shimizu M, Stanevicha V, Vastert S, Woerner A, de Benedetti F, Grom AA. Arthritis Care Res (Hoboken). 2017 May 12. [Epub ahead of print]. PMID: 28499329
Biologic therapies for refractory juvenile dermatomyositis: five years of experience of the Childhood Arthritis and Rheumatology Research Alliance in North America. Spencer CH, Rouster-Stevens K, Gewanter H, Syverson G, Modica R, Schmidt K, Emery H, Wallace C, Grevich S, Nanda K, Zhao YD, Shenoi S, Tarvin S, Hong S, Lindsley C, Weiss JE, Passo M, Ede K, Brown A, Ardalan K, Bernal W, Stoll ML, Lang B, Carrasco R, Agaiar C, Feller L, Bukulmez H, Vehe R, Kim H, Schmeling H, Gerstbacher D, Hoeltzel M, Eberhard B, Sundel R, Kim S, Huber AM, Patwardhan A; Pediatric Rheumatologist Collaborators. Pediatr Rheumatol Online J. 2017 Jun 13;15(1):50. PMID: 28610606
Methotrexate-induced nausea in the treatment of juvenile idiopathic arthritis. Falvey S, Shipman L, Ilowite N, Beukelman T. Pediatr Rheumatol Online J. 2017 Jun 19;15(1):52. PMID: 28629458
Weathering a Macrophage Storm. Crayne CB, Cron RQ. J Rheumatol. 2017 Jul;44(7):970-972. PMID: 28668814
Biologic Agents in the Treatment of Childhood-Onset Rheumatic Disease. Mehta J, Beukelman T. J Pediatr. 2017 Jul 13. [Epub ahead of print]. PMID: 28711176
{/slide}
Childhood Arthritis and Rheumatology Alliance (CARRA)
The division actively participates in the Childhood Arthritis and Rheumatology Research Alliance (CARRA) registries.
Click here for more information.
Clinical Trials
The division is conducting an investigator initiated clinical trial at Children’s of Alabama and the UAB University Hospital to study the role of interleukin-1 blockade in treating macrophage activation syndrome. Click here for more information.
Basic Science
CD154 Regulation and Lupus
Pediatric Rheumatology at UAB leads the way in identifying the molecular cause(s) of dysregulated CD154 expression on CD4 T lymphocytes from patients with systemic lupus erythematosus (SLE).
{slide=Selected CD154 regulation and SLE publications}
IL-15 prolongs CD154 expression on human CD4 T cells via STAT5 binding to the CD154 transcriptional promoter. Lowe RM, Genin A, Orgun N, Cron RQ. Genes Immun. 2014 Apr-May;15(3):137-44. PMID: 24500400
NF-ATc1 levels are increased in murine and human lupus T cells: comment on the article by Kyttaris et al. Mehta J. Cron RQ. Arthritis Rheum. 2012 Apr;64(4):1294; author reply 1294. PMID: 22034015.
Prolonged expression of CD154 on CD4 T cells from pediatric lupus patients correlates with increased CD154 transcription, increased nuclear factor of activated T cell activity, and glomerulonephritis. Mehta J, Genin A, Brunner M, Scalzi LV, Mishra N, Beukelman T, Cron RQ. Arthritis Rheum. 2010 Aug;62(8):2499-509.PMID: 20506525.
A T-cell-specific CD154 transcriptional enhancer located just upstream of the promoter. Brunner M, Zhang M, Genin A, Ho IC, Cron RQ. Genes Immun. 2008 Oct;9(7):640-9. Epub 2008 Aug 21.PMID: 18719603.
Neither cell-surface nor soluble CD154 levels are associated with coronary artery disease in systemic lupus erythematosus. von Feldt JM, Latif S, Genin A, Cron RQ. J Rheumatol. 2008 Feb;35(2):359-60. No abstract available. PMID: 18260168.
Homocysteine levels and disease duration independently correlate with coronary artery calcification in patients with systemic lupus erythematosus. Von Feldt JM, Scalzi LV, Cucchiara AJ, Morthala S, Kealey C, Flagg SD, Genin A, Van Dyke AL, Nackos E, Chander A, Gehrie E, Cron RQ, Whitehead AS. Arthritis Rheum. 2006 Jul;54(7):2220-7.PMID: 16802358.
Early growth response-1 is required for CD154 transcription. Cron RQ, Bandyopadhyay R, Genin A, Brunner M, Kersh GJ, Yin J, Finkel TH, Crow MK. J Immunol. 2006 Jan 15;176(2):811-8.PMID: 16393964.
Decreased CD154 expression by neonatal CD4+ T cells is due to limitations in both proximal and distal events of T cell activation. Jullien P, Cron RQ, Dabbagh K, Cleary A, Chen L, Tran P, Stepick-Biek P, Lewis DB. Int Immunol. 2003 Dec;15(12):1461-72.PMID: 14645155.
CD154 transcriptional regulation in primary human CD4 T cells. Cron RQ. Immunol Res. 2003;27(2-3):185-202. Review. PMID: 12857968.
Delineation of a novel pathway that regulates CD154 (CD40 ligand) expression. Hamilton BJ, Genin A, Cron RQ, Rigby WF. Mol Cell Biol. 2003 Jan;23(2):510-25. Erratum in: Mol Cell Biol. 2003 Sep;23(17):6338. PMID: 12509450.
A T cell-specific enhancer of the human CD40 ligand gene. Schubert LA, Cron RQ, Cleary AM, Brunner M, Song A, Lu LS, Jullien P, Krensky AM, Lewis DB. J Biol Chem. 2002 Mar 1;277(9):7386-95. Epub 2001 Dec 19.PMID: 11751888.
The human gp39 promoter. Two distinct nuclear factors of activated T cell protein-binding elements contribute independently to transcriptional activation. Schubert LA, King G, Cron RQ, Lewis DB, Aruffo A, Hollenbaugh D. J Biol Chem. 1995 Dec 15;270(50):29624-7.PMID: 8530342.
{/slide}
CD4 T Cell Effector Function
Transcriptional control of various effector functions and cell lineage fates are explored in primary human peripheral blood CD4 T lymphocytes in the Division of Pediatric Rheumatology.
{slide=Selected transcriptional regulation of effector CD4 T cell publications}
MHCII is required for α-synuclein-induced activation of microglia, CD4 T cell proliferation, and dopaminergic neurodegeneration. Harms AS, Cao S, Rowse AL, Thome AD, Li X, Mangieri LR, Cron RQ, Shacka JJ, Raman C, Standaert DG. J Neurosci. 2013 Jun 5;33(23):9592-600. PMID: 23739956
The impact of Nucleofection® on the activation state of primary human CD4 T cells. Zhang M, Ma Z, Selliah N, Weiss G, Genin A, Finkel TH, Cron RQ. J Immunol Methods. 2014 Jun;408:123-31. PMID: 24910411
FOXP3 inhibits activation-induced NFAT2 expression in T cells thereby limiting effector cytokine expression. Torgerson TR, Genin A, Chen C, Zhang M, Zhou B, Añover-Sombke S, Frank MB, Dozmorov I, Ocheltree E, Kulmala P, Centola M, Ochs HD, Wells AD, Cron RQ. J Immunol. 2009 Jul 15;183(2):907-15. Epub 2009 Jun 29.PMID: 19564342.
Effective gene suppression using small interfering RNA in hard-to-transfect human T cells. Yin J, Ma Z, Selliah N, Shivers DK, Cron RQ, Finkel TH. J Immunol Methods. 2006 May 30;312(1-2):1-11.
Regulation of the murine Nfatc1 gene by NFATc2. Zhou B, Cron RQ, Wu B, Genin A, Wang Z, Liu S, Robson P, Baldwin HS. J Biol Chem. 2002 Mar 22;277(12):10704-11. Epub 2002 Jan 10.PMID: 11786533.
Octamer proteins inhibit IL-4 gene transcription in normal human CD4 T cells. Cron RQ, Zhou B, Brunvand MW, Lewis DB. Genes Immun. 2001 Dec;2(8):464-8. PMID: 11781715.
T cell priming enhances IL-4 gene expression by increasing nuclear factor of activated T cells. Cron RQ, Bort SJ, Wang Y, Brunvand MW, Lewis DB. J Immunol. 1999 Jan 15;162(2):860-70.PMID: 9916709.
Consistent transient transfection of DNA into non-transformed human and murine T-lymphocytes. Cron RQ, Schubert LA, Lewis DB, Hughes CC. J Immunol Methods. 1997 Jul 14;205(2):145-50.PMID: 9294595.
{/slide}
Transcriptional Regulation of HIV-1 in Host CD4 T Cells
HIV-1, the cause of AIDS, remains a worldwide problem with over 40 million infected individuals. Novel approaches at therapy based on understanding the transcriptional regulation of the virus by host CD4 T cell transcription factors are studied in the lab at UAB.
{slide=Selected HIV-1 transcriptional regulation publications}
CD4 regulatory T cells augment HIV-1 expression of polarized M1 and M2 monocyte derived macrophages. Robinson TO, Zhang M, Ochsenbauer C, Smythies LE, Cron RQ. Virology. 2017 Apr;504:79-87. PMID: 28157548
Kinase control of latent HIV-1 infection: PIM-1 kinase as a major contributor to HIV-1 reactivation. Duverger A, Wolschendorf F, Anderson JC, Wagner F, Bosque A, Shishido T, Jones J, Planelles V, Willey C, Cron RQ, Kutsch O. J Virol. 2014 Jan;88(1):364-76. PMID: 24155393
An AP-1 binding site in the enhancer/core element of the HIV-1 promoter controls the ability of HIV-1 to establish latent infection. Duverger A, Wolschendorf F, Zhang M, Wagner F, Hatcher B, Jones J, Cron RQ, van der Sluis RM, Jeeninga RE, Berkhout B, Kutsch O. J Virol. 2013 Feb;87(4):2264-77. PMID: 23236059
Host factor transcriptional regulation contributes to preferential expression of HIV type 1 in IL-4-producing CD4 T cells. Zhang M, Clausell A, Robinson T, Yin J, Chen E, Johnson L, Weiss G, Sabbaj S, Lowe RM, Wagner FH, Goepfert PA, Kutsch O, Cron RQ. J Immunol. 2012 Sep 15;189(6):2746-57. PMID: 22875803.
Determinants of the establishment of human immunodeficiency virus type 1 latency. Duverger A, Jones J, May J, Bibollet-Ruche F, Wagner FA, Cron RQ, Kutsch O. J Virol. 2009 Apr;83(7):3078-93. Epub 2009 Jan 14.PMID: 19144703.
FOXP3 inhibits HIV-1 infection of CD4 T-cells via inhibition of LTR transcriptional activity. Selliah N, Zhang M, White S, Zoltick P, Sawaya BE, Finkel TH, Cron RQ. Virology. 2008 Nov 25;381(2):161-7. Epub 2008 Oct 1.PMID: 18829063. .pdf
The gammac-cytokine regulated transcription factor, STAT5, increases HIV-1 production in primary CD4 T cells. Selliah N, Zhang M, DeSimone D, Kim H, Brunner M, Ittenbach RF, Rui H, Cron RQ, Finkel TH. Virology. 2006 Jan 20;344(2):283-91. Epub 2005 Nov 14.PMID: 16289657.
Overexpression of octamer transcription factors 1 or 2 alone has no effect on HIV-1 transcription in primary human CD4 T cells. Zhang M, Genin A, Cron RQ. Virology. 2004 Apr 10;321(2):323-31.PMID: 15051391.
Reciprocal regulation of the nuclear factor of activated T cells and HIV-1. Pessler F, Cron RQ. Genes Immun. 2004 May;5(3):158-67. Review. PMID: 14762397.
HIV-1, NFAT, and cyclosporin: immunosuppression for the immunosuppressed? Cron RQ. DNA Cell Biol. 2001 Dec;20(12):761-7.PMID: 11879569.
NFAT1 enhances HIV-1 gene expression in primary human CD4 T cells. Cron RQ, Bartz SR, Clausell A, Bort SJ, Klebanoff SJ, Lewis DB. Clin Immunol. 2000 Mar;94(3):179-91.PMID: 10692237.
{/slide}
Macrophage Activation Syndrome Mechanism
{slide=Selected Macrophage Activation Syndrome Mechanism publications}
Occult macrophage activation syndrome in patients with systemic juvenile idiopathic arthritis. Behrens EM, Beukelman T, Paessler M, Cron RQ. J Rheumatol. 2007 May;34(5):1133-8. PMID: 17343315
Macrophage activation syndrome as part of systemic juvenile idiopathic arthritis: diagnosis, genetics, pathophysiology and treatment. Ravelli A, Grom AA, Behrens EM, Cron RQ. Genes Immun. 2012 Jun;13(4):289-98. PMID: 22418018
Genetic defects in cytolysis in macrophage activation syndrome. Zhang M, Behrens EM, Atkinson TP, Shakoory B, Grom AA, Cron RQ. Curr Rheumatol Rep. 2014;16(9):439. PMID: 25086802
Kill or be killed. Behrens EM, Cron RQ. J Immunol. 2015 Jun 1;194(11):5041-3. PMID: 25980027
Macrophage Activation Syndrome. Ravelli A, Davì S, Minoia F, Martini A, Cron RQ. Hematol Oncol Clin North Am. 2015 Oct;29(5):927-41. PMID: 26461152
Whole-Exome Sequencing Reveals Mutations in Genes Linked to Hemophagocytic Lymphohistiocytosis and Macrophage Activation Syndrome in Fatal Cases of H1N1 Influenza.Schulert GS, Zhang M, Fall N, Husami A, Kissell D, Hanosh A, Zhang K, Davis K, Jentzen JM, Napolitano L, Siddiqui J, Smith LB, Harms PW, Grom AA, Cron RQ. J Infect Dis. 2016 Apr 1;213(7):1180-8. PMID: 26597256
A Heterozygous RAB27A Mutation Associated with Delayed Cytolytic Granule Polarization and Hemophagocytic Lymphohistiocytosis. Zhang M, Bracaglia C, Prencipe G, Bemrich-Stolz CJ,Beukelman T, Dimmitt RA, Chatham WW, Zhang K, Li H, Walter MR, De Benedetti F, Grom AA, Cron RQ. J Immunol. 2016 Mar 15;196(6):2492-503. PMID: 26880764
{/slide}
Quality Improvement Research
Drs. Mannion and Smitherman are members of the PR-COIN quality improvement national network for pediatric rheumatology.
Click here for more information
Faculty Labs
Other Publications and Textbooks
{slide=Recent Divisional Publications}
Evidence for Updating the Core Domain Set of Outcome Measures for Juvenile Idiopathic Arthritis: Report from a Special Interest Group at OMERACT 2016. Morgan EM, Riebschleger MP, Horonjeff J, Consolaro A, Munro JE, Thornhill S, Beukelman T, Brunner HI, Creek EL, Harris JG, Horton DB, Lovell DJ, Mannion ML, Olson JC, Rahimi H, Gallo MC, Calandra S, Ravelli A, Ringold S, Shenoi S, Stinson J, Toupin-April K, Strand V, Bingham CO 3rd. J Rheumatol. 2017 Aug 15. pii: jrheum.161389. doi: 10.3899/jrheum.161389. [Epub ahead of print]
Development and Initial Validation of the Macrophage Activation Syndrome/Primary Hemophagocytic Lymphohistiocytosis Score, a Diagnostic Tool that Differentiates Primary Hemophagocytic Lymphohistiocytosis from Macrophage Activation Syndrome. Minoia F, Bovis F, Davì S, Insalaco A, Lehmberg K, Shenoi S, Weitzman S, Espada G, Gao YJ, Anton J, Kitoh T, Kasapcopur O, Sanner H, Merino R, Astigarraga I, Alessio M, Jeng M, Chasnyk V, Nichols KE, Huasong Z, Li C, Micalizzi C, Ruperto N, Martini A, Cron RQ, Ravelli A, Horne A; Pediatric Rheumatology International Trials Organization, the Childhood Arthritis and Rheumatology Research Alliance, the Pediatric Rheumatology Collaborative Study Group, and the Histiocyte Society. J Pediatr. 2017 Aug 11. pii: S0022-3476(17)30783-7. doi: 10.1016/j.jpeds.2017.06.005. [Epub ahead of print]
Towards Establishing a Standardized Magnetic Resonance Imaging Scoring System for Temporomandibular Joints in Juvenile Idiopathic Arthritis. Tolend MA, Twilt M, Cron RQ, Tzaribachev N, Guleria S, von Kalle T, Koos B, Miller E, Stimec J, Vaid Y, Larheim TA, Herlin T, Spiegel L, Inarejos E, Moineddin R, van Rossum MA, Saurenmann RK, Doria AS, Kellenberger CJ. Arthritis Care Res (Hoboken). 2017 Aug 13. doi: 10.1002/acr.23340. [Epub ahead of print]
Malignancy in Pediatric-onset Systemic Lupus Erythematosus. Bernatsky S, Clarke AE, Niaki OZ, Labrecque J, Schanberg LE, Silverman ED, Hayward K, Imundo L, Brunner HI, Haines KA, Cron RQ, Oen K, Wagner-Weiner L, Rosenberg AM, O'Neil KM, Duffy CM, von Scheven E, Joseph L, Lee JL, Ramsey-Goldman R. J Rheumatol. 2017 Aug 1. pii: jrheum.170179. doi: 10.3899/jrheum.170179. [Epub ahead of print]
Biologic Agents in the Treatment of Childhood-Onset Rheumatic Disease. Mehta J, Beukelman T. J Pediatr. 2017 Jul 13. pii: S0022-3476(17)30891-0. doi: 10.1016/j.jpeds.2017.06.041. [Epub ahead of print]
Weathering a Macrophage Storm. Crayne CB, Cron RQ. J Rheumatol. 2017 Jul;44(7):970-972.
Changing Trends in Opioid Use Among Patients With Rheumatoid Arthritis in the United States. Curtis JR, Xie F, Smith C, Saag KG, Chen L, Beukelman T, Mannion M, Yun H, Kertesz S. Arthritis Rheumatol. 2017 Jun 21. doi: 10.1002/art.40152. [Epub ahead of print]
Methotrexate-induced nausea in the treatment of juvenile idiopathic arthritis. Falvey S, Shipman L, Ilowite N, Beukelman T. Pediatr Rheumatol Online J. 2017 Jun 19;15(1):52.
Biologic therapies for refractory juvenile dermatomyositis: five years of experience of the Childhood Arthritis and Rheumatology Research Alliance in North America. Spencer CH, Rouster-Stevens K, Gewanter H, Syverson G, Modica R, Schmidt K, Emery H, Wallace C, Grevich S, Nanda K, Zhao YD, Shenoi S, Tarvin S, Hong S, Lindsley C, Weiss JE, Passo M, Ede K, Brown A, Ardalan K, Bernal W, Stoll ML, Lang B, Carrasco R, Agaiar C, Feller L, Bukulmez H, Vehe R, Kim H, Schmeling H, Gerstbacher D, Hoeltzel M, Eberhard B, Sundel R, Kim S, Huber AM, Patwardhan A; Pediatric Rheumatologist Collaborators. Pediatr Rheumatol Online J. 2017 Jun 13;15(1):50
Biologic therapy modifies clinical and laboratory features of macrophage activation syndrome associated with systemic juvenile idiopathic arthritis. Schulert GS, Minoia F, Bohnsack J, Cron RQ, Hashad S, Kone-Paut I, Kostik M, Lovell D, Maritsi D, Nigrovic PA, Pal P, Ravelli A, Shimizu M, Stanevicha V, Vastert S, Woerner A, de Benedetti F, Grom AA. Arthritis Care Res (Hoboken). 2017 May 12. doi: 10.1002/acr.23277. [Epub ahead of print]
Multicenter inception cohort of enthesitis-related arthritis: variation in disease characteristics and treatment approaches. Gmuca S, Xiao R, Brandon TG, Pagnini I, Wright TB, Beukelman T, Morgan EM, Weiss PF. Arthritis Res Ther. 2017 May 2;19(1):84.
A survey of national and multi-national registries and cohort studies in juvenile idiopathic arthritis: challenges and opportunities. Beukelman T, Anink J, Berntson L, Duffy C, Ellis JA, Glerup M, Guzman J, Horneff G, Kearsley-Fleet L, Klein A, Klotsche J, Magnusson B, Minden K, Munro JE, Niewerth M, Nordal E, Ruperto N, Santos MJ, Schanberg LE, Thomson W, van Suijlekom-Smit L, Wulffraat N, Hyrich K. Pediatr Rheumatol Online J. 2017 Apr 19;15(1):31.
The new Childhood Arthritis and Rheumatology Research Alliance (CARRA) registry: design, rationale, and characteristics of patients enrolled in the first 12 months. Beukelman T, Kimura Y, Ilowite NT, Mieszkalski K, Natter MD, Burrell G, Best B, Jones J, Schanberg LE; CARRA Registry Investigators. Pediatr Rheumatol Online J. 2017 Apr 17;15(1):30.
Race, Income, and Disease Outcomes in Juvenile Dermatomyositis. Phillippi K, Hoeltzel M, Byun Robinson A, Kim S; Childhood Arthritis and Rheumatology Research Alliance (CARRA) Legacy Registry Investigators. J Pediatr. 2017 May;184:38-44.e1.
Pilot study comparing the Childhood Arthritis & Rheumatology Research Alliance (CARRA) systemic Juvenile Idiopathic Arthritis Consensus Treatment Plans. Kimura Y, Grevich S, Beukelman T, Morgan E, Nigrovic PA, Mieszkalski K, Graham TB, Ibarra M, Ilowite N, Klein-Gitelman M, Onel K, Prahalad S, Punaro M, Ringold S, Toib D, Van Mater H, Weiss JE, Weiss PF, Schanberg LE; CARRA Registry Investigators. Pediatr Rheumatol Online J. 2017 Apr 11;15(1):23.
Serious Infections in Childhood-Onset Systemic Lupus Erythematosus: Using Administrative Claims Data to Investigate Disease Outcomes. Beukelman T, Curtis JR, Saag KG. Arthritis Care Res (Hoboken). 2017 Feb 19. doi: 10.1002/acr.23221. [Epub ahead of print]
CD4 regulatory T cells augment HIV-1 expression of polarized M1 and M2 monocyte derived macrophages. Robinson TO, Zhang M, Ochsenbauer C, Smythies LE, Cron RQ. Virology. 2017 Apr;504:79-87.
The Juvenile Psoriatic Arthritis Cohort in the CARRA Registry: Clinical Characteristics, Classification, and Outcomes. Zisman D, Gladman DD, Stoll ML, Strand V, Lavi I, Hsu JJ, Mellins ED; CARRA Legacy Registry Investigators. J Rheumatol. 2017 Mar;44(3):342-351.
Attitudes and Approaches for Withdrawing Drugs for Children with Clinically Inactive Nonsystemic JIA: A Survey of the Childhood Arthritis and Rheumatology Research Alliance. Horton DB, Onel KB, Beukelman T, Ringold S. J Rheumatol. 2017 Mar;44(3):352-360.
Association of Anti-3-Hydroxy-3-Methylglutaryl-Coenzyme A Reductase Autoantibodies With DRB1*07:01 and Severe Myositis in Juvenile Myositis Patients. Kishi T, Rider LG, Pak K, Barillas-Arias L, Henrickson M, McCarthy PL, Shaham B, Weiss PF, Horkayne-Szakaly I, Targoff IN, Miller FW, Mammen AL; Childhood Myositis Heterogeneity Study Group. Arthritis Care Res (Hoboken). 2017 Jul;69(7):1088-1094.
Clinical Orofacial Examination in Juvenile Idiopathic Arthritis: International Consensus-based Recommendations for Monitoring Patients in Clinical Practice and Research Studies. Stoustrup P, Twilt M, Spiegel L, Kristensen KD, Koos B, Pedersen TK, Küseler A, Cron RQ, Abramowicz S, Verna C, Peltomäki T, Alstergren P, Petty R, Ringold S, Nørholt SE, Saurenmann RK, Herlin T; euroTMjoint Research Network. J Rheumatol. 2017 Mar;44(3):326-333.
Fecal metabolomics in pediatric spondyloarthritis implicate decreased metabolic diversity and altered tryptophan metabolism as pathogenic factors. Stoll ML, Kumar R, Lefkowitz EJ, Cron RQ, Morrow CD, Barnes S. Genes Immun. 2016 Dec;17(7):400-405.
Cost-Effectiveness Analysis of First-Line Treatment With Biologic Agents in Polyarticular Juvenile Idiopathic Arthritis. Luca NJ, Burnett HF, Ungar WJ, Moretti ME, Beukelman T, Feldman BM, Schwartz G, Bayoumi AM. Arthritis Care Res (Hoboken). 2016 Dec;68(12):1803-1811.
Acute multifocal hemorrhagic retinal vasculitis in a child: a case report. Ghannam MY, Naseemuddin M, Weiser P, Mason JO 3rd. BMC Ophthalmol. 2016 Oct 18;16(1):181.
Patient's experience with subcutaneous and oral methotrexate for the treatment of rheumatoid arthritis. Curtis JR, Xie F, Mackey D, Gerber N, Bharat A, Beukelman T, Saag KG, Chen L, Nowell B, Ginsberg S. BMC Musculoskelet Disord. 2016 Sep 26;17(1):405.
The risk of hospitalized infection following initiation of biologic agents versus methotrexate in the treatment of juvenile idiopathic arthritis. Beukelman T, Xie F, Baddley JW, Chen L, Mannion ML, Saag KG, Zhang J, Curtis JR. Arthritis Res Ther. 2016 Sep 22;18(1):210.
Analysis of health care claims during the peri-transfer stage of transition from pediatric to adult care among juvenile idiopathic arthritis patients. Mannion ML, Xie F, Baddley J, Chen L, Curtis JR, Saag K, Zhang J, Beukelman T. Pediatr Rheumatol Online J. 2016 Sep 5;14(1):49.
Ustekinumab as a Therapeutic Option for Children With Refractory Enthesitis-Related Arthritis. Mannion ML, McAllister L, Cron RQ, Stoll ML. J Clin Rheumatol. 2016 Aug;22(5):282-4.
Gut microbiota-host interactions and juvenile idiopathic arthritis. Arvonen M, Berntson L, Pokka T, Karttunen TJ, Vähäsalo P, Stoll ML. Pediatr Rheumatol Online J. 2016 Jul 22;14(1):44.
Development of spondyloarthropathy following episodes of macrophage activation syndrome in children with heterozygous mutations in haemophagocytic lymphohistiocytosis-associated genes. Cron RQ, Chatham WW. Clin Exp Rheumatol. 2016 Sep-Oct;34(5):953.
The Systemic Juvenile Idiopathic Arthritis Cohort of the Childhood Arthritis and Rheumatology Research Alliance Registry: 2010-2013. Janow G, Schanberg LE, Setoguchi S, Hasselblad V, Mellins ED, Schneider R, Kimura Y; CARRA Legacy Registry Investigators. J Rheumatol. 2016 Sep;43(9):1755-62.
The microbiota in pediatric rheumatic disease: epiphenomenon or therapeutic target? Stoll ML, Cron RQ. Curr Opin Rheumatol. 2016 Sep;28(5):537-43.
Familial autoimmunity in the Childhood Arthritis and Rheumatology Research Alliance registry. Prahalad S, McCracken CE, Ponder LA, Angeles-Han ST, Rouster Stevens KA, Vogler LB, Langefeld CD, Thompson SD; Childhood Arthritis and Rheumatology Research Alliance (CARRA) Registry Investigators. Pediatr Rheumatol Online J. 2016 Mar 10;14(1):14.
A Heterozygous RAB27A Mutation Associated with Delayed Cytolytic Granule Polarization and Hemophagocytic Lymphohistiocytosis. Zhang M, Bracaglia C, Prencipe G, Bemrich-Stolz CJ, Beukelman T, Dimmitt RA, Chatham WW, Zhang K, Li H, Walter MR, De Benedetti F, Grom AA, Cron RQ. J Immunol. 2016 Mar 15;196(6):2492-503.
Medication use in juvenile uveitis patients enrolled in the Childhood Arthritis and Rheumatology Research Alliance Registry. Henderson LA, Zurakowski D, Angeles-Han ST, Lasky A, Rabinovich CE, Lo MS; Childhood Arthritis and Rheumatology Research Alliance (CARRA) Registry Investigators. Pediatr Rheumatol Online J. 2016 Feb 16;14(1):9.
Phenotypic Characterization of Juvenile Idiopathic Arthritis in African American Children. Fitzpatrick L, Broadaway KA, Ponder L, Angeles-Han ST, Jenkins K, Rouster-Stevens K, Pelajo CF, Conneely K, Epstein MP, Lopez-Benitez J, Vogler LB, Prahalad S; CARRA Registry Investigators. J Rheumatol. 2016 Apr;43(4):799-803.
2016 Classification Criteria for Macrophage Activation Syndrome Complicating Systemic Juvenile Idiopathic Arthritis: A European League Against Rheumatism/American College of Rheumatology/Paediatric Rheumatology International Trials Organisation Collaborative Initiative. Ravelli A, Minoia F, Davì S, Horne A, Bovis F, Pistorio A, Aricò M, Avcin T, Behrens EM, De Benedetti F, Filipovic L, Grom AA, Henter JI, Ilowite NT, Jordan MB, Khubchandani R, Kitoh T, Lehmberg K, Lovell DJ, Miettunen P, Nichols KE, Ozen S, Pachlopnik Schmid J, Ramanan AV, Russo R, Schneider R, Sterba G, Uziel Y, Wallace C, Wouters C, Wulffraat N, Demirkaya E, Brunner HI, Martini A, Ruperto N, Cron RQ; Paediatric Rheumatology International Trials Organisation; Childhood Arthritis and Rheumatology Research Alliance; Pediatric Rheumatology Collaborative Study Group; Histiocyte Society. Ann Rheum Dis. 2016 Mar;75(3):481-9.
Expert consensus on dynamics of laboratory tests for diagnosis of macrophage activation syndrome complicating systemic juvenile idiopathic arthritis. Ravelli A, Minoia F, Davì S, Horne A, Bovis F, Pistorio A, Aricò M, Avcin T, Behrens EM, De Benedetti F, Filipovic A, Grom AA, Henter JI, Ilowite NT, Jordan MB, Khubchandani R, Kitoh T, Lehmberg K, Lovell DJ, Miettunen P, Nichols KE, Ozen S, Pachlopnik Schmid J, Ramanan AV, Russo R, Schneider R, Sterba G, Uziel Y, Wallace C, Wouters C, Wulffraat N, Demirkaya E, Brunner HI, Martini A, Ruperto N, Cron RQ. RMD Open. 2016 Jan 19;2(1):e000161.
Whole-Exome Sequencing Reveals Mutations in Genes Linked to Hemophagocytic Lymphohistiocytosis and Macrophage Activation Syndrome in Fatal Cases of H1N1 Influenza. Schulert GS, Zhang M, Fall N, Husami A, Kissell D, Hanosh A, Zhang K, Davis K, Jentzen JM, Napolitano L, Siddiqui J, Smith LB, Harms PW, Grom AA, Cron RQ. J Infect Dis. 2016 Apr 1;213(7):1180-8.
Interleukin-1 Receptor Blockade Is Associated With Reduced Mortality in Sepsis Patients With Features of Macrophage Activation Syndrome: Reanalysis of a Prior Phase III Trial. Shakoory B, Carcillo JA, Chatham WW, Amdur RL, Zhao H, Dinarello CA, Cron RQ, Opal SM. Crit Care Med. 2016 Feb;44(2):275-81.
Risk of Nonmelanoma Skin Cancer Associated With the Use of Immunosuppressant and Biologic Agents in Patients With a History of Autoimmune Disease and Nonmelanoma Skin Cancer. Scott FI, Mamtani R, Brensinger CM, Haynes K, Chiesa-Fuxench ZC, Zhang J, Chen L, Xie F, Yun H, Osterman MT, Beukelman T, Margolis DJ, Curtis JR, Lewis JD. JAMA Dermatol. 2016 Feb;152(2):164-72.
Brief Report: Association of Myositis Autoantibodies, Clinical Features, and Environmental Exposures at Illness Onset With Disease Course in Juvenile Myositis. Habers GE, Huber AM, Mamyrova G, Targoff IN, O'Hanlon TP, Adams S, Pandey JP, Boonacker C, van Brussel M, Miller FW, van Royen-Kerkhof A, Rider LG; Childhood Myositis Heterogeneity Study Group. Arthritis Rheumatol. 2016 Mar;68(3):761-8.
Macrophage Activation Syndrome. Ravelli A, Davì S, Minoia F, Martini A, Cron RQ. Hematol Oncol Clin North Am. 2015 Oct;29(5):927-41.
Magnetic Resonance Imaging Findings following Intraarticular Infliximab Therapy for Refractory Temporomandibular Joint Arthritis among Children with Juvenile Idiopathic Arthritis. Stoll ML, Vaid YN, Guleria S, Beukelman T, Waite PD, Cron RQ. J Rheumatol. 2015 Nov;42(11):2155-9.
Comparative Risk of Hospitalized Infection Associated With Biologic Agents in Rheumatoid Arthritis Patients Enrolled in Medicare. Yun H, Xie F, Delzell E, Levitan EB, Chen L, Lewis JD, Saag KG, Beukelman T, Winthrop KL, Baddley JW, Curtis JR. Arthritis Rheumatol. 2016 Jan;68(1):56-66.
2016 Classification Criteria for Macrophage Activation Syndrome Complicating Systemic Juvenile Idiopathic Arthritis: A European League Against Rheumatism/American College of Rheumatology/Paediatric Rheumatology International Trials Organisation Collaborative Initiative. Ravelli A, Minoia F, Davì S, Horne A, Bovis F, Pistorio A, Aricò M, Avcin T, Behrens EM, De Benedetti F, Filipovic L, Grom AA, Henter JI, Ilowite NT, Jordan MB, Khubchandani R, Kitoh T, Lehmberg K, Lovell DJ, Miettunen P, Nichols KE, Ozen S, Pachlopnik Schmid J, Ramanan AV, Russo R, Schneider R, Sterba G, Uziel Y, Wallace C, Wouters C, Wulffraat N, Demirkaya E, Brunner HI, Martini A, Ruperto N, Cron RQ; Paediatric Rheumatology International Trials Organisation; Childhood Arthritis and Rheumatology Research Alliance; Pediatric Rheumatology Collaborative Study Group; Histiocyte Society. Arthritis Rheumatol. 2016 Mar;68(3):566-76.
A Case Report of Successful Treatment of Recalcitrant Childhood Localized Scleroderma with Infliximab and Leflunomide. Ferguson ID, Weiser P, Torok KS. Open Rheumatol J. 2015 Jun 26;9:30-5.
Does Viral Hemorrhagic Fever Represent Reactive Hemophagocytic Syndrome? Cron RQ, Behrens EM, Shakoory B, Ramanan AV, Chatham WW. J Rheumatol. 2015 Jul;42(7):1078-80.
Clinical features and correct diagnosis of macrophage activation syndrome. Cron RQ, Davi S, Minoia F, Ravelli A. Expert Rev Clin Immunol. 2015;11(9):1043-53.
Kill or be killed. Behrens EM, Cron RQ. J Immunol. 2015 Jun 1;194(11):5041-3.
Gut microbes, immunity, and spondyloarthritis. Stoll ML. Clin Immunol. 2015 Aug;159(2):134-42.
Dissecting the heterogeneity of macrophage activation syndrome complicating systemic juvenile idiopathic arthritis. Minoia F, Davì S, Horne A, Bovis F, Demirkaya E, Akikusa J, Ayaz NA, Al-Mayouf SM, Barone P, Bica B, Bolt I, Breda L, De Cunto C, Enciso S, Gallizzi R, Griffin T, Hennon T, Horneff G, Jeng M, Kapovic AM, Lipton JM, Magni Manzoni S, Rumba-Rozenfelde I, Magalhaes CS, Sewairi WM, Stine KC, Vougiouka O, Weaver LK, Davidsone Z, De Inocencio J, Ioseliani M, Lattanzi B, Tezer H, Buoncompagni A, Picco P, Ruperto N, Martini A, Cron RQ, Ravelli A; Pediatric Rheumatology International Trials Organization; Childhood Arthritis and Rheumatology Research Alliance; Pediatric Rheumatology Collaborative Study Group; Histiocyte Society. J Rheumatol. 2015 Jun;42(6):994-1001.
Safety and efficacy of rituximab in childhood-onset systemic lupus erythematosus and other rheumatic diseases. Tambralli A, Beukelman T, Cron RQ, Stoll ML. J Rheumatol. 2015 Mar;42(3):541-6.
Altered microbiota associated with abnormal humoral immune responses to commensal organisms in enthesitis-related arthritis. Stoll ML, Kumar R, Morrow CD, Lefkowitz EJ, Cui X, Genin A, Cron RQ, Elson CO. Arthritis Res Ther. 2014 Nov 30;16(6):486
Impact of biologic agents with and without concomitant methotrexate and at reduced doses in older rheumatoid arthritis patients. Zhang J, Xie F, Delzell E, Yun H, Lewis JD, Haynes K, Chen L, Beukelman T, Saag KG, Curtis JR. Arthritis Care Res (Hoboken). 2015 May;67(5):624-32.
Novel method to collect medication adverse events in juvenile arthritis: results from the childhood arthritis and rheumatology research alliance enhanced drug safety surveillance project. Ringold S, Hendrickson A, Abramson L, Beukelman T, Blier PR, Bohnsack J, Chalom EC, Gewanter HL, Gottlieb B, Hollister R, Hsu J, Hudgins A, Ilowite NT, Klein-Gitelman M, Lindsley C, Lopez Benitez JM, Lovell DJ, Mason T, Milojevic D, Moorthy LN, Nanda K, Onel K, Prahalad S, Rabinovich CE, Ray L, Rouster-Stevens K, Ruth N, Shishov M, Spalding S, Syed R, Stoll M, Vehe RK, Weiss JE, White AJ, Wallace CA, Sobel RE. Arthritis Care Res (Hoboken). 2015 Apr;67(4):529-37.
Risks of herpes zoster in patients with rheumatoid arthritis according to biologic disease-modifying therapy. Yun H, Xie F, Delzell E, Chen L, Levitan EB, Lewis JD, Saag KG, Beukelman T, Winthrop K, Baddley JW, Curtis JR. Arthritis Care Res (Hoboken). 2015 May;67(5):731-6.
Genetic defects in cytolysis in macrophage activation syndrome. Zhang M, Behrens EM, Atkinson TP, Shakoory B, Grom AA, Cron RQ. Curr Rheumatol Rep. 2014;16(9):439.
Recent trends in medication usage for the treatment of juvenile idiopathic arthritis and the influence of tumor necrosis factor inhibitors. Mannion ML, Xie F, Curtis JR, Beukelman T. J Rheumatol. 2014 Oct;41(10):2078-84.
Clinical features, treatment, and outcome of macrophage activation syndrome complicating systemic juvenile idiopathic arthritis: a multinational, multicenter study of 362 patients. Minoia F, Davì S, Horne A, Demirkaya E, Bovis F, Li C, Lehmberg K, Weitzman S, Insalaco A, Wouters C, Shenoi S, Espada G, Ozen S, Anton J, Khubchandani R, Russo R, Pal P, Kasapcopur O, Miettunen P, Maritsi D, Merino R, Shakoory B, Alessio M, Chasnyk V, Sanner H, Gao YJ, Huasong Z, Kitoh T, Avcin T, Fischbach M, Frosch M, Grom A, Huber A, Jelusic M, Sawhney S, Uziel Y, Ruperto N, Martini A, Cron RQ, Ravelli A; Pediatric Rheumatology International Trials Organization; Childhood Arthritis and Rheumatology Research Alliance; Pediatric Rheumatology Collaborative Study Group; Histiocyte Society. Arthritis Rheumatol. 2014 Nov;66(11):3160-9.
Development and retrospective validation of the juvenile spondyloarthritis disease activity index. Weiss PF, Colbert RA, Xiao R, Feudtner C, Beukelman T, DeWitt EM, Pagnini I, Wright TB, Wallace CA. Arthritis Care Res (Hoboken). 2014 Dec;66(12):1775-82.
High dose Anakinra for treatment of severe neonatal Kawasaki disease: a case report. Shafferman A, Birmingham JD, Cron RQ. Pediatr Rheumatol Online J. 2014 Jul 11;12:26.
{/slide}
{slide=Pediatric Rheumatology Textbooks}
Textbook of Pediatric Rheumatology: Expert Consult: Online and Print (Cassidy, Textbook of Pediatric) by James T. Cassidy MD, Ross E. Petty MD PhD FRCPC, Ronald Laxer MD, and Carol Lindsley (Hardcover - Sep 30, 2010).
Pediatric Rheumatology in Clinical Practice by Patricia Woo, Ronald M. Laxer, and David D. Sherry (Paperback - Jun 6, 2007).
Pediatrics in Systemic Autoimmune Diseases, Volume 6 (Handbook of Systemic Autoimmune Diseases) by Rolando Cimaz, Thomas J.A. Lehman, and Ronald Asherson (Hardcover - Nov 27, 2007).
Adolescent Rheumatology by Janet E. McDonagh and Patience H. White (Hardcover - Mar 14, 2008).
Current Opinions in Pediatric Rheumatology by Erbil Unsal (Hardcover - May 12, 2006).
Pediatric Rheumatology by Surjit Singh (Paperback - Jul 30, 2006).
Myositis and You: A Guide to Juvenile Dermatomyositis for Patients, Families, and Healthcare Providers by Lisa G. Rider, Lauren M. Pachman, Frederick W. Miller, and Harriet Bollar (Perfect Paperback - Feb 5, 2007).
A Clinician's Guide to Rheumatic Diseases in Children by Thomas J. A. Lehman (Hardcover - Feb 16, 2009).
{/slide}