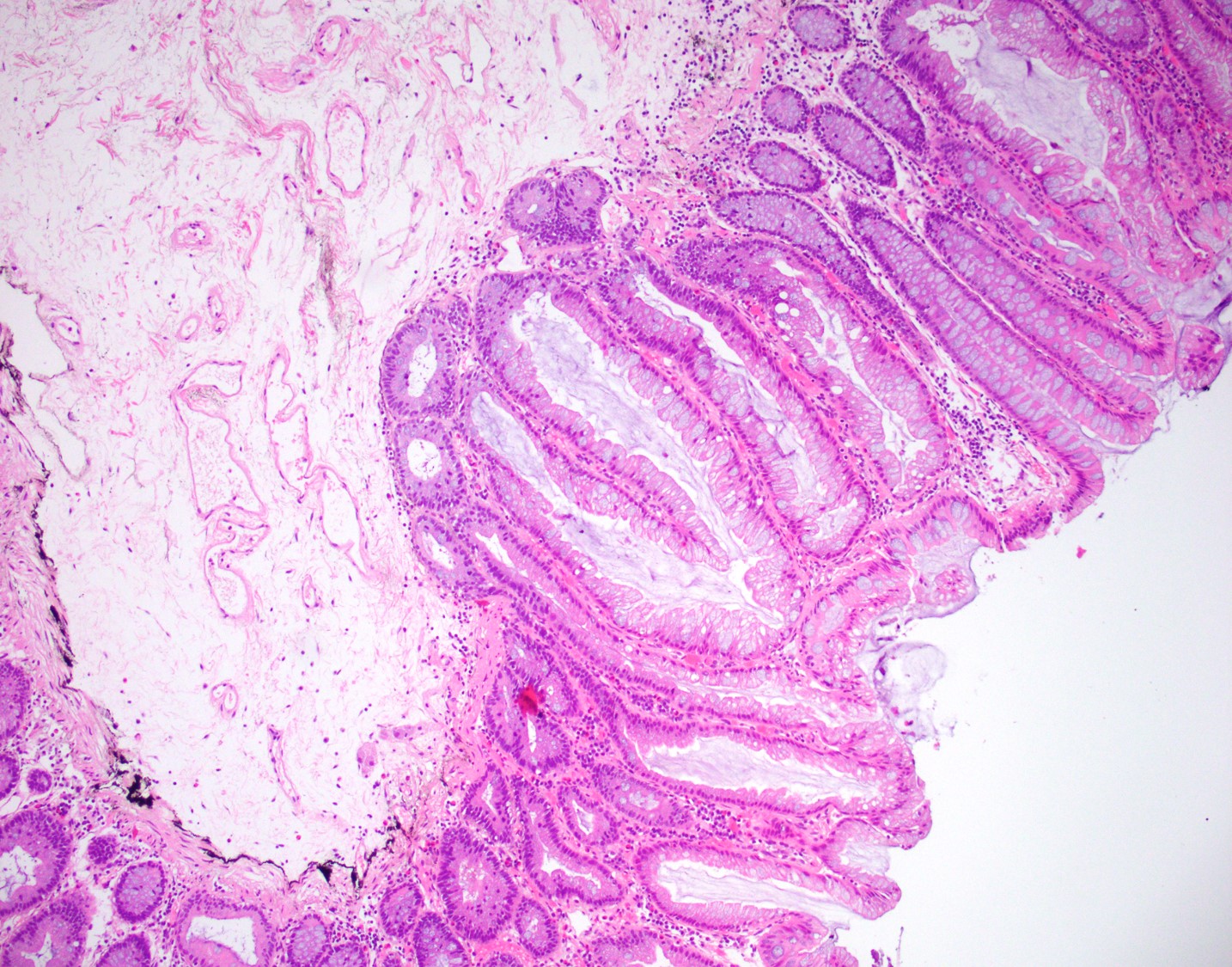
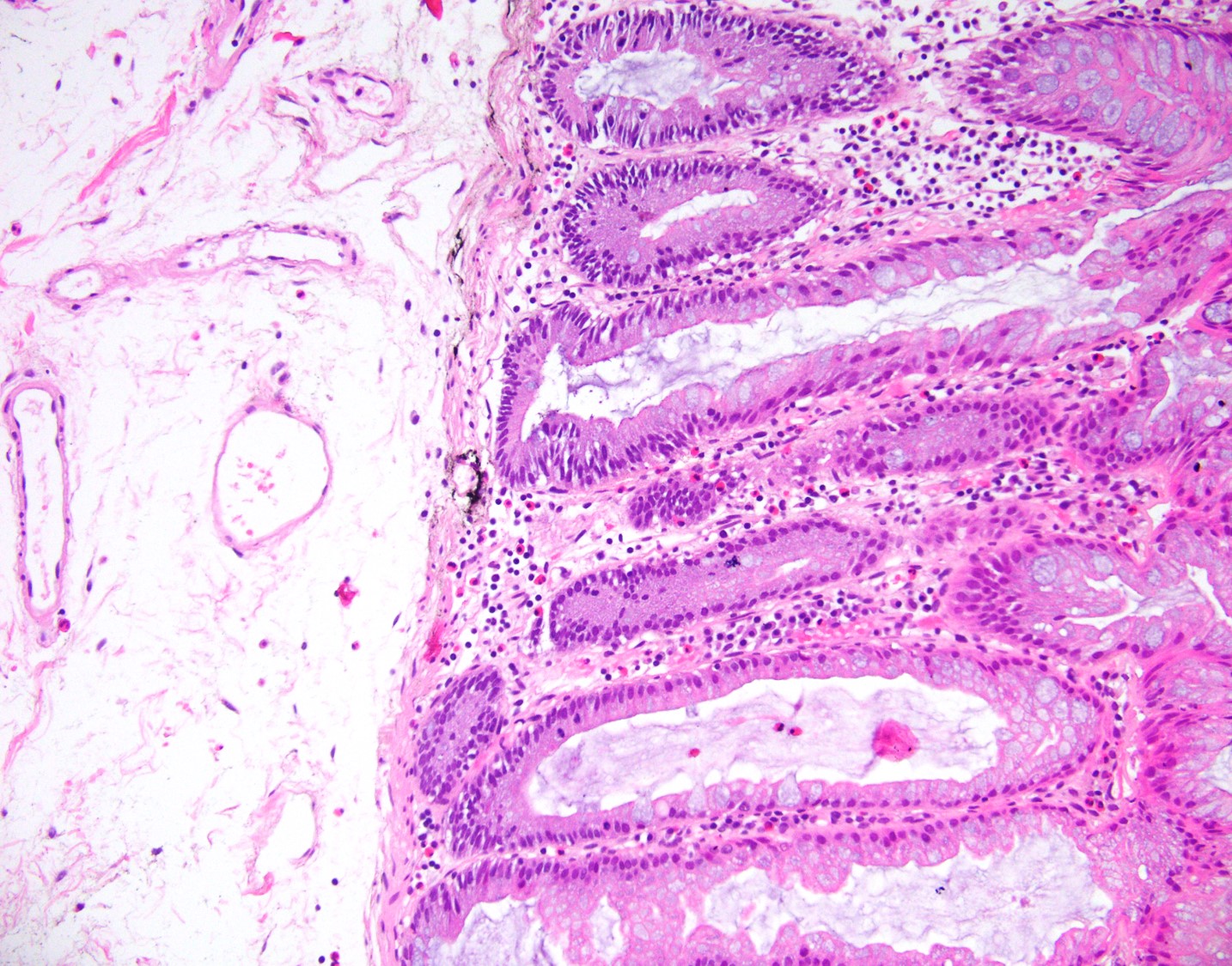
67 yo M w/ multiple, morphologically similar polyps in colon (click the photos below to enlarge).
What's the underlying condition?
A. Familial adenomatous polyposis
B. Cronkhite-Canada syndrome
C. Serrated polyposis syndrome
D. Hereditary mixed polyposis syndrome

Answer
C. Serrated polyposis syndrome
Serrated polyp is an umbrella term that includes any of the following:
- Hyperplastic polyps
- Sessile serrated polyps/adenomas
- Traditional serrated adenomas
Criteria for serrated polyposis syndrome include:
- At least five serrated polyps proximal to the sigmoid colon, two of which are greater than 10mm in diameter
- Any number of serrated polyps occurring proximal to the sigmoid colon in an individual who has a first-degree relative with serrated polyposis
- More than 20 serrated polyps of any size distributed throughout the colon
However, this criteria is subject to change. There is no single underlying germline mutation detected in SPS, so diagnosis is mostly based on clinical and endoscopic/histologic findings. However, polyps detected in patients with SPS have often been associated with BRAF mutations with most of these tied to MLH-1 promoter hypermethylation and microsatellite instability (CpG island methylator phenotype)
References
Odze and Goldblum. Surgical Pathology of the GI Tract, Liver, Biliary Tract, and Pancreas. 3rd edition. Chapter 22 (pp630-631). Elsevier and Saunders. 2015
Serrated Polyposis Syndrome