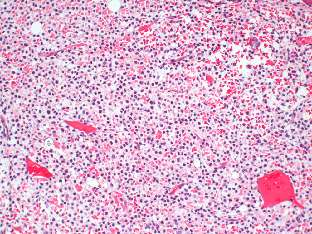
65 year old male with skin lesions and easy bruisability on routine lab screening found to have high WBC count (65,000 /ul) and low platelet count. A bone marrow biopsy showed packed marrow and minimal aspirate material obtained.
What's the underlying condition?
- Hairy cell leukemia
- Chronic myelomonocytic leukemia
- Acute myelomonocytic leukemia
- Mast cell leukemia
Answer
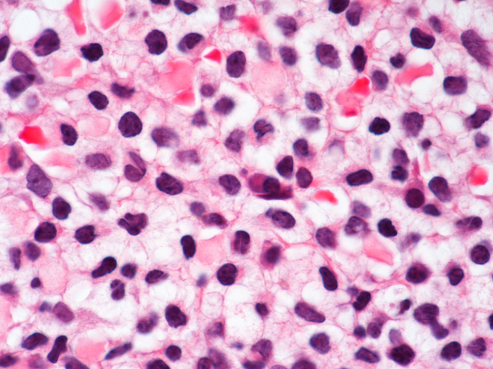
| The answer is “A”, Hairy cell leukemia. Leukemic cells with pale gray-cytoplasm and oval/reniform nuclei are morphologically consistent with hairy cell leukemia (HCL). Bone marrow biopsy is also typical with packed marrow, neoplastic cells with abundant cytoplasm and central oval nuclei (fried-egg appearance). Leukopenia is more common in HCL, however in variant-hairy cell leukemia (v-HCL) high cell counts are not unusual (flow cytometry: CD25dim, CD103+, CD11c+, CD20+, kappa+). Compared to classical HCL, in v-HCL CD25 and CD103 will show variable expression. References 1. Grever MR et al. Hairy cell leukemia. Blood Rev. 2014;28(5):197-203. 2. Matutes E et al. Hairy cell leukemia-variant. Best Pract. Clin Hematol. 2015;28(4):253-63 |
Contributed by Vishnu VB Reddy, M.D.

