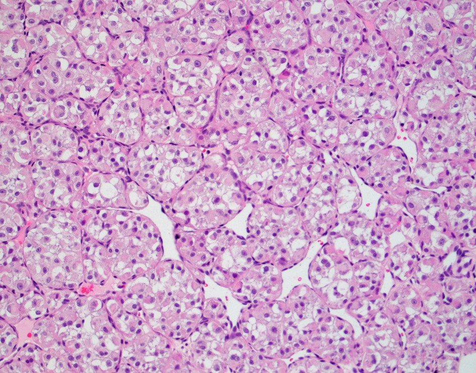
44 year old female with 2.8 cm midline tongue mass
What's the underlying condition?
- Rhabdomyoma
- Paraganglioma
- Metastatic renal cell carcinoma
- Alveolar soft part sarcoma
Answer
| The answer is “D”, Alveolar soft part sarcoma. Alveolar soft part sarcoma (ASPS) is a rare malignant neoplasm typically of infants, children and young adults containing a der(17)t(x;17)(p11.2;q25) translocation resulting in the fusion of the ASPSCR1 and TFE3 genes. Most common location is lower extremity but head and neck sites (tongue most common) are also affected. Histologically, ASPS shows a prominent lobular architecture formed by nests and lobules of tumor cells with fibrous septa and peripheral vascular channels. Nests of large polygonal cells with granular eosinophilic cytoplasm and nuclei containing prominent nucleoli are separated by sinusoidal vascular channels resulting in a pseudoalveolar pattern. Some cases can show sheet like growth. Intracytoplasmic rod shaped crystals are noted that are more easily seen with a PAS-D stain. Typical cases show cytological uniformity, but scattered pleomorphic cells can be seen. Mitotic rate is low and necrosis is uncommon. Immunohistochemically, there is nuclear TFE3 expression, and desmin is variably expressed. Myogenin, MyoD1, keratin, S100, HMB45 and S100 are negative. Treatment is surgical excision. Late recurrence and metastasis are common. Reference: Diagnostic Pathology. Soft Tissue Tumors. 2nd ed. Lindberg. Elsevier. |
Contributed by Todd Stevens, M.D.


