Case History
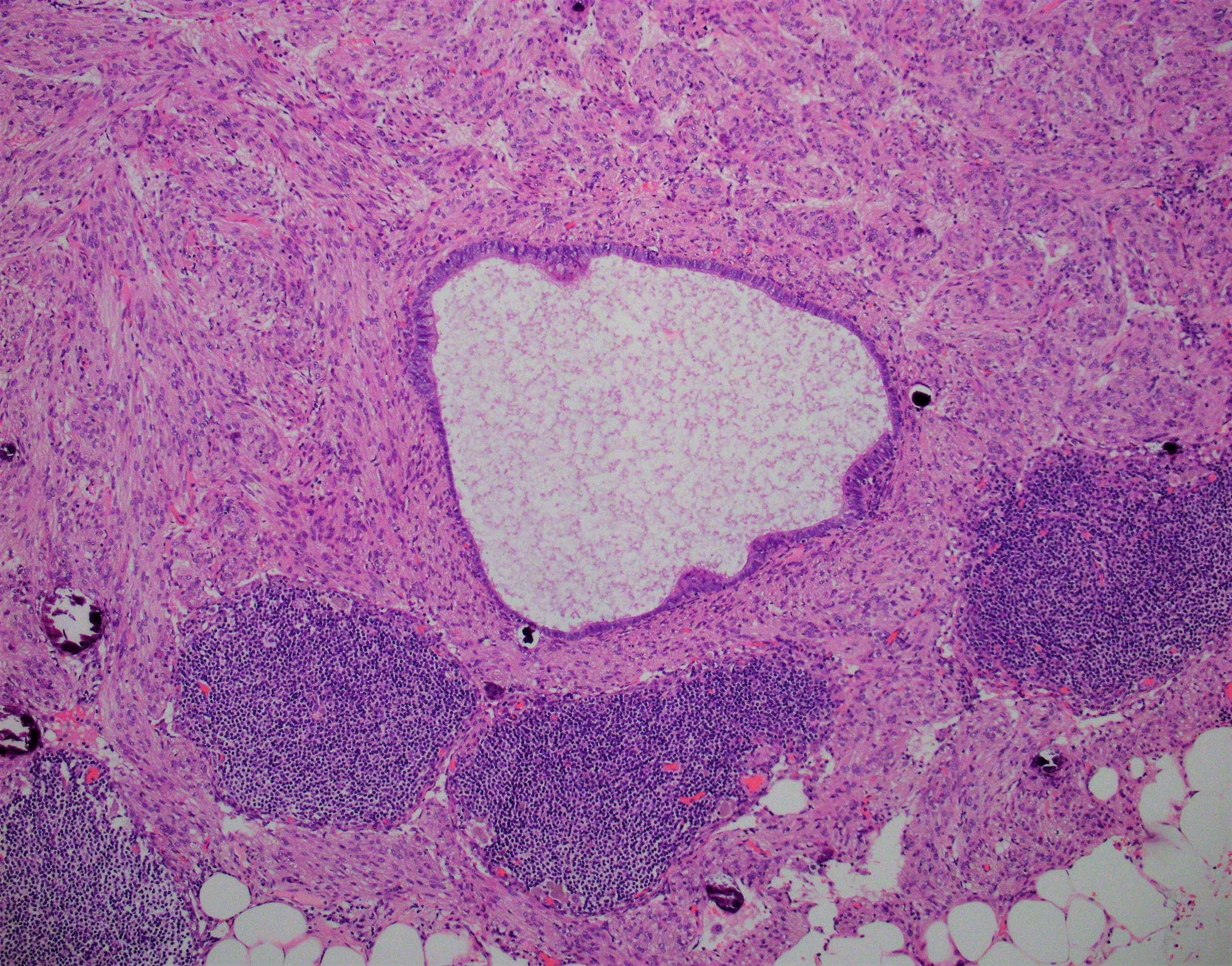
A 50 year old woman presented with abdominal pain. Examination of a pelvic sidewall lesion revealed cystic tissue lined by ciliated epithelium with underlying fascicles of spindle cells positive for SMA and HMB-45. Similar spindle cell aggregates were found in a lymph node.
What is the entity?
- Leiomyomatosis with endosalpingiosis
- Leiomyosarcoma with endosalpingiosis
- Lymphangioleiomyomatosis (LAM) with endosalpingiosis
- Schwannoma with endosalpingiosis

Answer:
C: The correct answer is lymphangioleiomyomatosis (LAM) with endosalpingiosis.
Discussion:
LAM belongs to the perivascular epithelioid cell family of tumors (PEComa). This category includes other entities such as angiomyolipoma(AML) , clear cell sugar tumor of lung (CCST), and PEComas occurring in less classic locations (PEComa-NOS). Demographically, it occurs almost exclusively in women and in patients with tuberous sclerosis.
LAM usually involves the lymphatic system, lungs, and kidneys. However, as in this case, it can be an isolated finding. Manifestations include overgrowth of smooth muscle-like cells in the lungs resulting in cyst formation leading to sequelae such as pneumothorax. Overgrowth of the cells in lymphatic vessels results in formation of lymphangiomas. Renal involvement usually occurs in the form of angiomyolipomas. Lymph node involvement by LAM is a less commonly documented occurrence that can be mistaken for metastasis.
The underlying genetic mutation is association with the genes TSC1 (hamartin) and TSC2 (tuberin). TSC1 mutations occur more commonly in familial cases of tuberous sclerosis. TSC2 mutations occur more commonly in sporadic manifestations of disease.