Case History
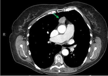
A 72-year-old female presented with a history of IDA, dyspnea, and upper GI symptoms and underwent CT imaging for evaluation of her symptoms.


What is the best diagnosis?
A. Lymphoma
B. Squamous Cell Carcinoma
C. Thymoma, Type A
D. Solitary Fibrous Tumor
Answer: C. Thymoma, Type A
Discussion:
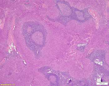
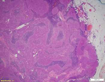
Thymomas are one of the most common tumors in the anterior mediastinum in adults. About 40% of cases are associated with paraneoplastic or autoimmune syndromes. Morphologically, these are epithelial tumors with bland spindle cells with a storiform pattern. Most cases lack necrosis and have a low Ki-67 index; however, these can be seen with atypical type A thymomas. They will stain strongly for epithelial markers (p40/p63) and will usually lack TdT-positive T-cells. Complete resection associated with overall survival even though about 20% of patients will have a Masaoka stage II or III tumors.
Case contributed by: Sarah Anderson, D.O., Surgical Pathology Fellow, UAB Pathology