Explore UAB

Filters

Picture152 yo M w/ SOB x2 yrs, slowly progressive. Occasional cough, some phlegm (brown w/ occasional...

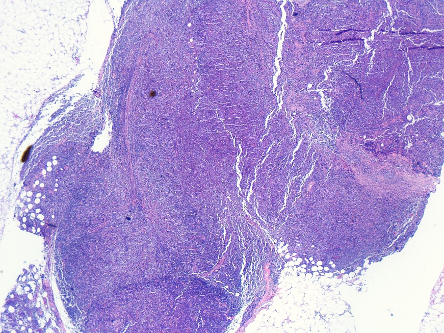
Fig131 year old man with an enlarging. painful mass at the apex of the gluteal cleft. Gross exam shows a 7.1 cm...

ESMC 20xA biopsy from a large thigh mass from a 50-year-old man is depicted. What is the most likely...

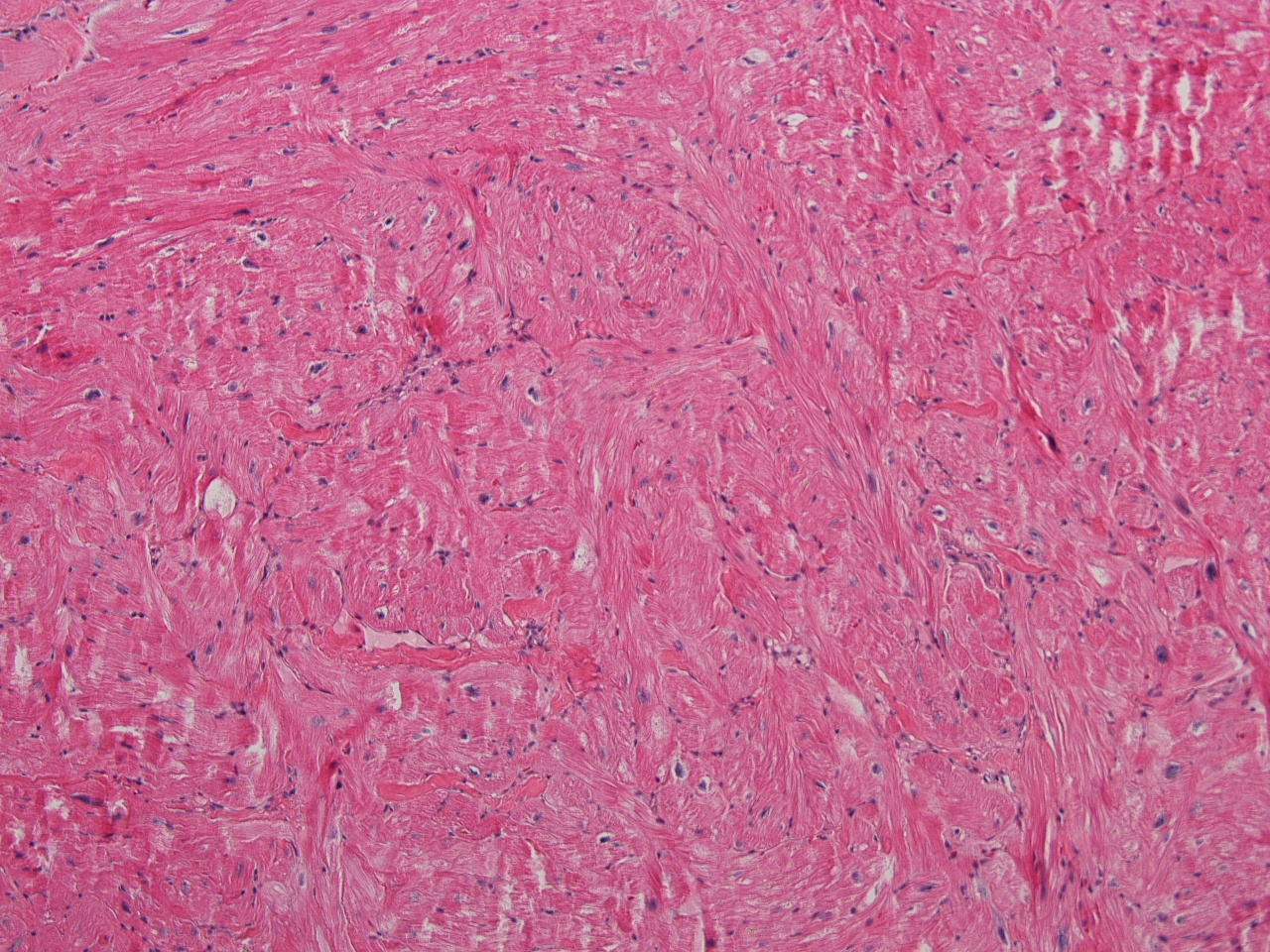
Picture144 year old female with 2.8 cm midline tongue mass

What's the underlying condition?

  1. Rhabdomyoma
  2. Paraganglioma
  3. Metastatic renal cell
  4. ...

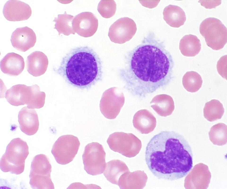
HCL V 165 year old male with skin lesions and easy bruisability on routine lab screening found to have...

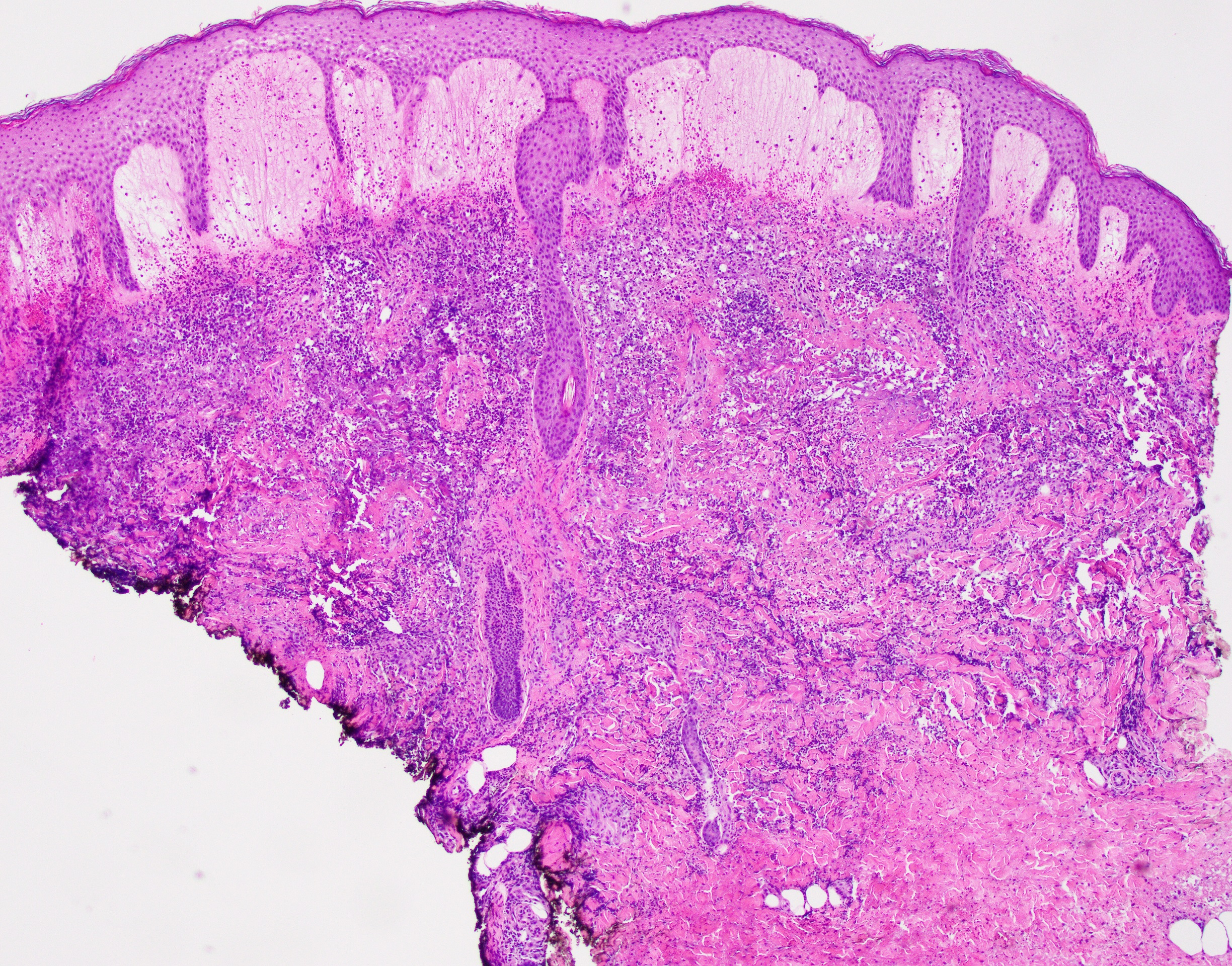
142 yo F with recently diagnosed multiple myeloma presents with sudden onset of tender erythematous...

Case 101217 4x49 yo F w/ L breast mass, outside biopsy showed invasive carcinoma and underwent needle localized...

Picture132 year old female with a cervical mass and bleeding..

What's the underlying condition?

A....

Picture149 yo with breast mass. Hx of breast implants and no cancer. CD45-/CD3-/CD20-/GATA3-/CK7-

What's the underlying...

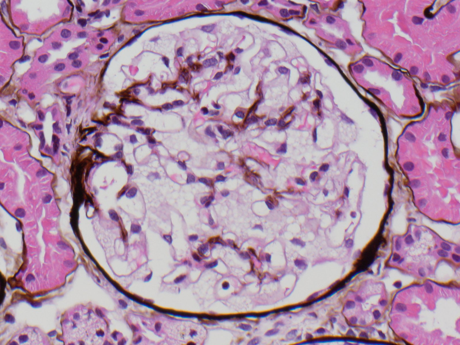
Fig B67 yo F h/o breast ca., HTN, DM II w/ 3+ proteinuria. C3 low. UIFE w/ 1 IgG K & 1 free K. FLC...

Jones2c silver stain400x19 yo F w/ fam. h/o cardiomyopathy, arrhythmia & renal dz. Cr 0.8, BUN 11. UA neg. Renal bx.

What's...

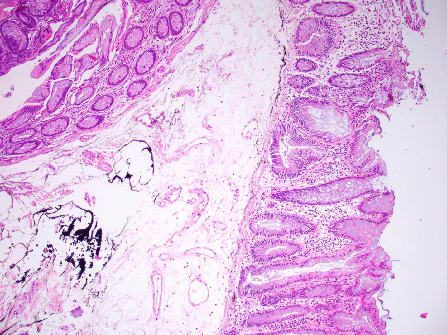
Picture2 267 yo M w/ multiple, morphologically similar polyps in colon (click the photos below to enlarge).

What's the...

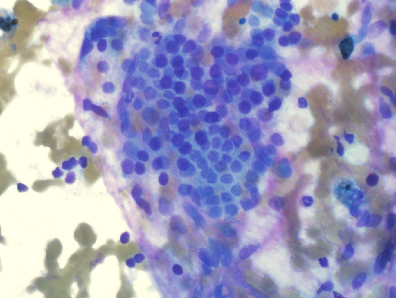
Picture560 yo M w/ generalized LAD & mediastinal mass. EBUS-FNA of R level 2 mediastinal LNs.

What's the...

28172014

37 yo postpartum F w/ ADHF. Imaging: RVH. H/o long QT. Sudden death of a sibling. Lft ventricle...