49 yo F w/ L breast mass, outside biopsy showed invasive carcinoma and underwent needle localized lumpectomy.
What's the underlying condition?
A. Invasive ductal carcinoma with granulomatous reaction
B. Carcinosarcoma
C. Invasive mammary carcinoma with osteoclast-like giant cells
D. Invasive ductal carcinoma of no special type
Answer
The answer is “C”, Invasive mammary carcinoma with osteoclast-like giant cells
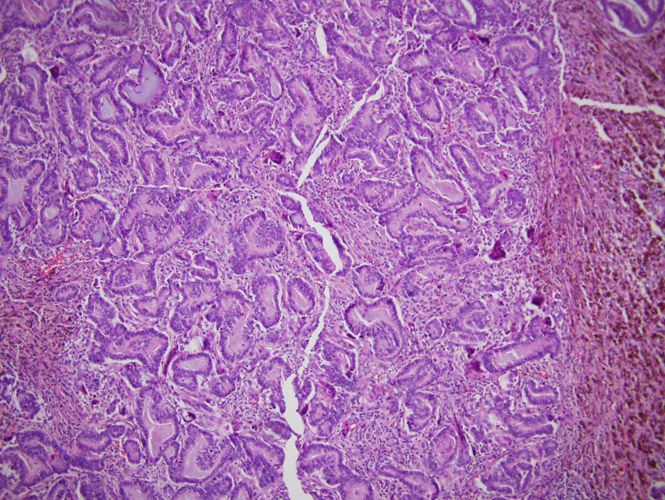
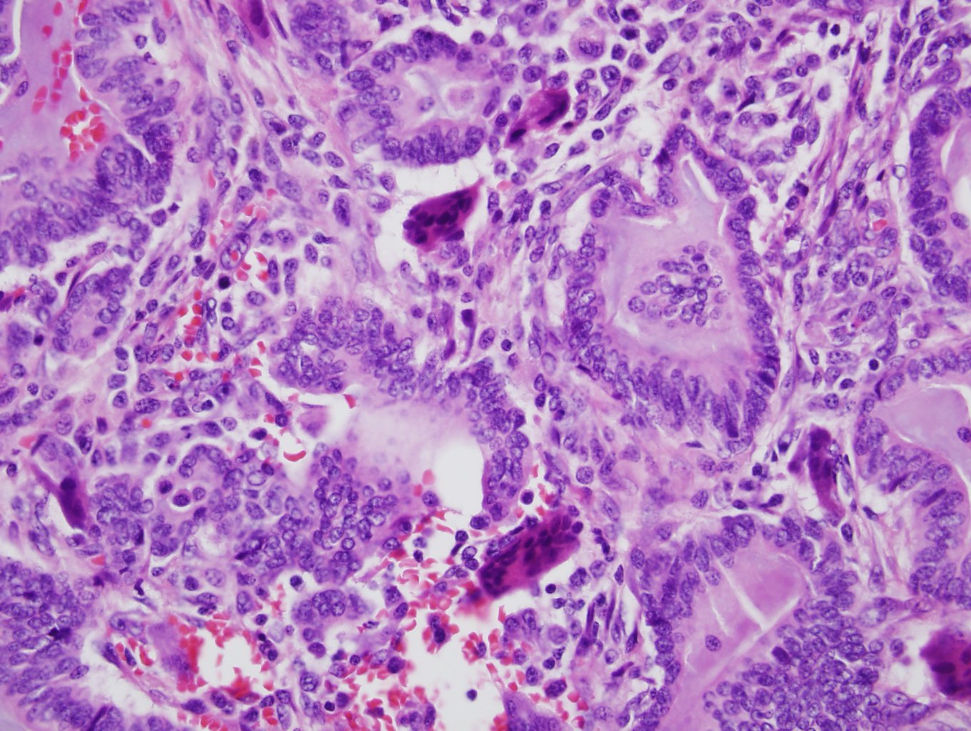
The sections show infiltrating ductal cells that are forming glandular pattern. Stromal hemorrhage with hemosiderin and lymphocytes are seen. Multinucleated giant cells are seen in intervening stroma and in the glandular lumens. The mechanism by which osteoclast-like giant cells are formed in breast carcinoma is not known. It has been postulated that one or more substances produced by the neoplastic cells induces the formation and the same process may be responsible for the angiogenesis and hemorrhage. These giant cells are positive for CD68 and negative for vascular markers, suggesting these cells are similar to histiocytic or osteoclasts of bone. The carcinoma cells are similar to ductal carcinoma, tends to be luminal type (hormone receptor positive). Although number of reported cases is limited, these tumors tend to show better prognosis with relatively low metastasis or recurrence rate.
References
Rosen’s breast pathology
Zhou S, Yu L, Zhou R, Li X, Yang W. Invasive breast carcinomas of no special type with osteoclast-like giant cells frequently have a luminal phenotype. Virchows Arch. 2014 Jun; 464(6):681-8.
Contributed by Shuko Harada, M.D.

