Case History
42-year-old woman with two non-ulcerated skin nodules on right arm. The lymphoid...
Case History
A 76-year-old male with acute renal insufficiency and a recent diagnosis of multiple myeloma...
Case History
A 50-year-old male presents with a 9 cm retroperitoneal mass who had a resection of 16 cm fatty...
Case History
A 62-year-old- male with a history of multiple skin cancers presents to an ENT for a...
Case history
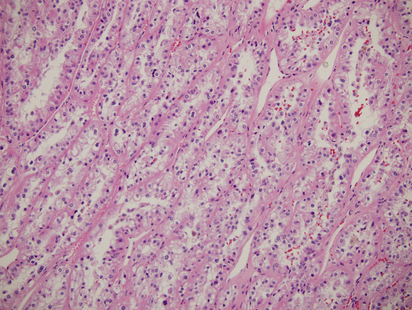
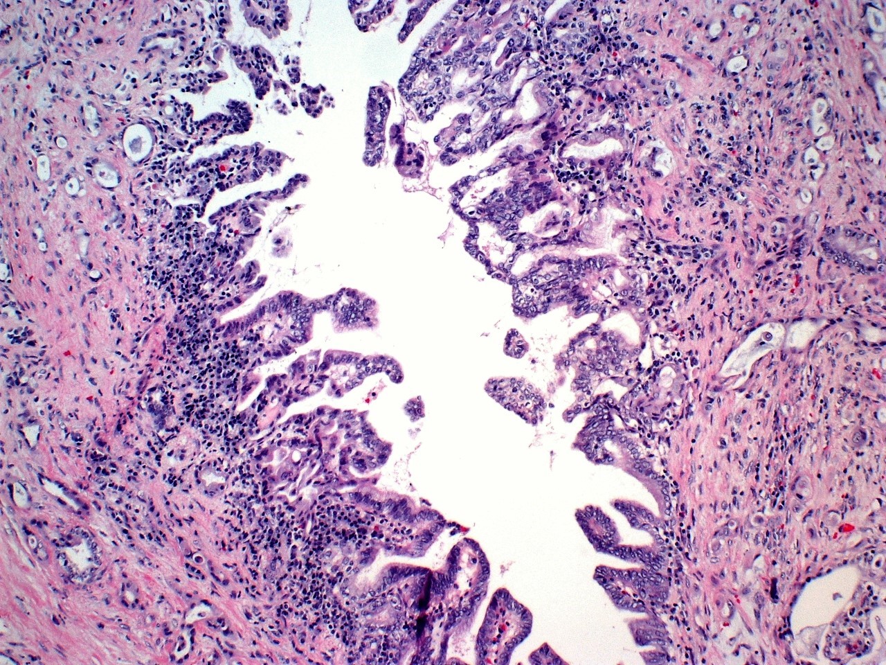
71-year-old male veteran presenting with hematuria. Two ulcerated lesions identified...
Case history
A patient presents with extrahepatic cholangiocarcinoma, a biopsy of the liver shows the...

Case history
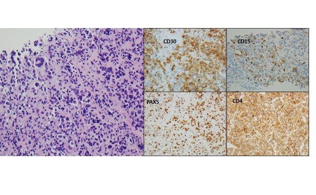
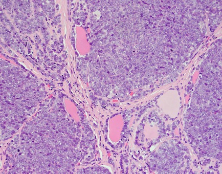
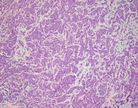
An 84-year-old woman presents with a mediastinal mass. Representative sections are...
Case history
Placenta from a 33-year old P0 mother delivered at 25 6/7ths weeks. Maternal history...

Case history
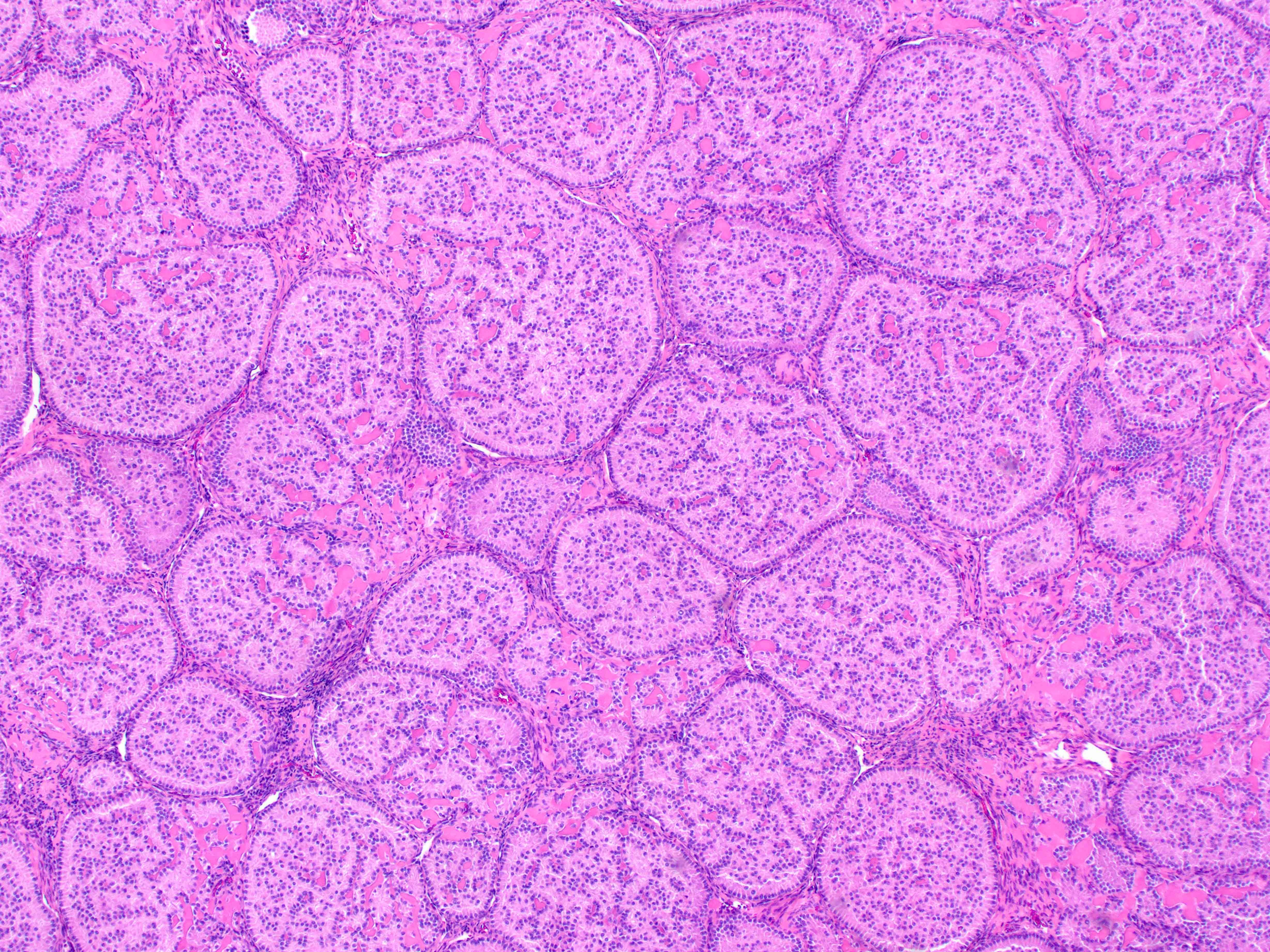
A 76-year-old man with a history of HTN and CKD Stage III presented with increased serum...

Case history
A 36 year old man presented to an OSH for an upper GI bleed. Biopsy was non...
Case history
A pancreatic head mass was discovered in a 50-year-old man with chronic pancreatitis....


Case history:
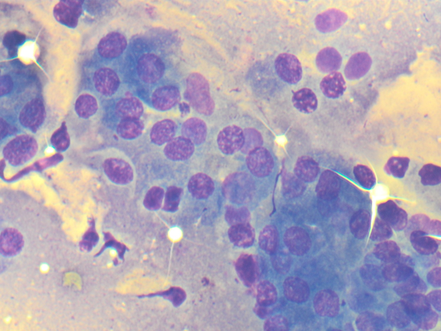
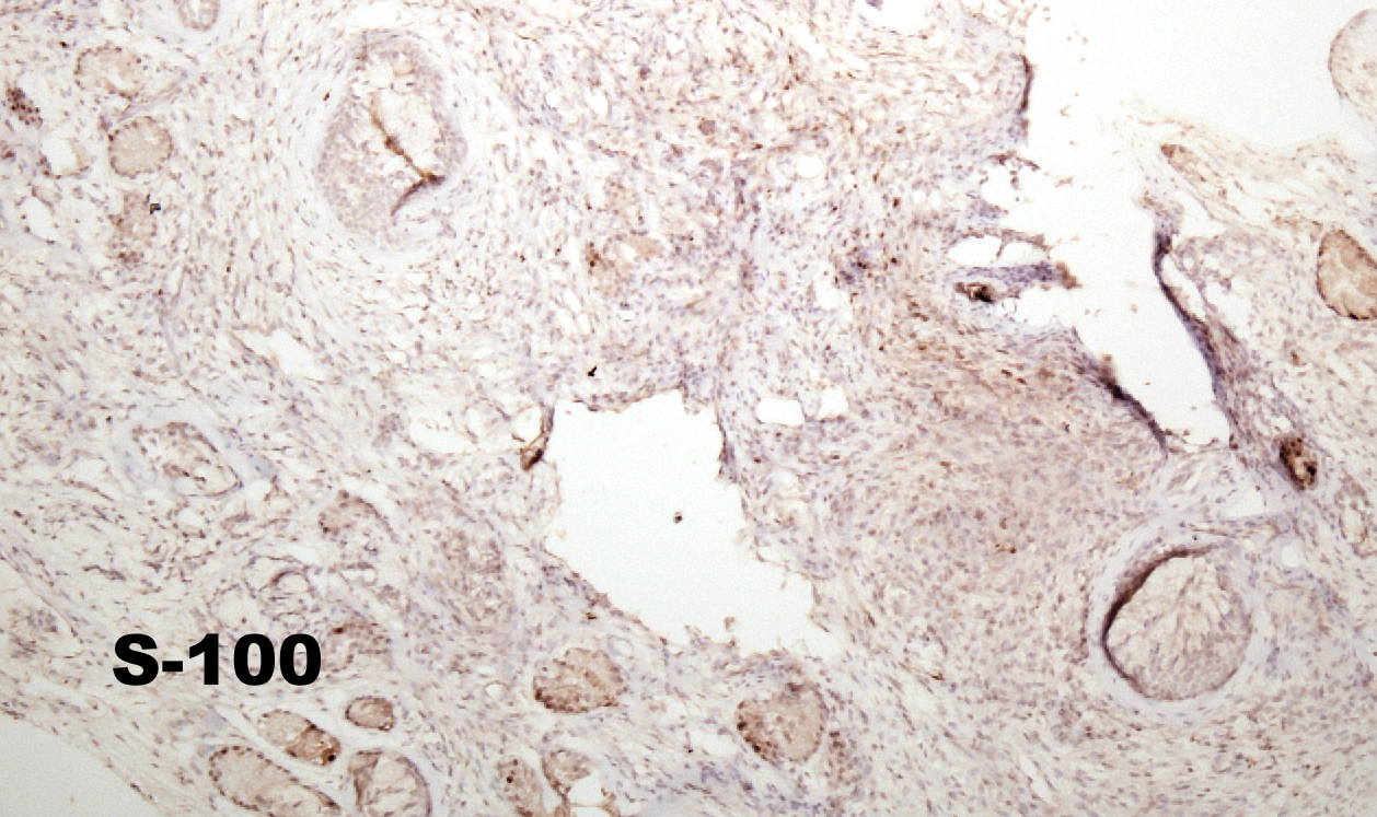
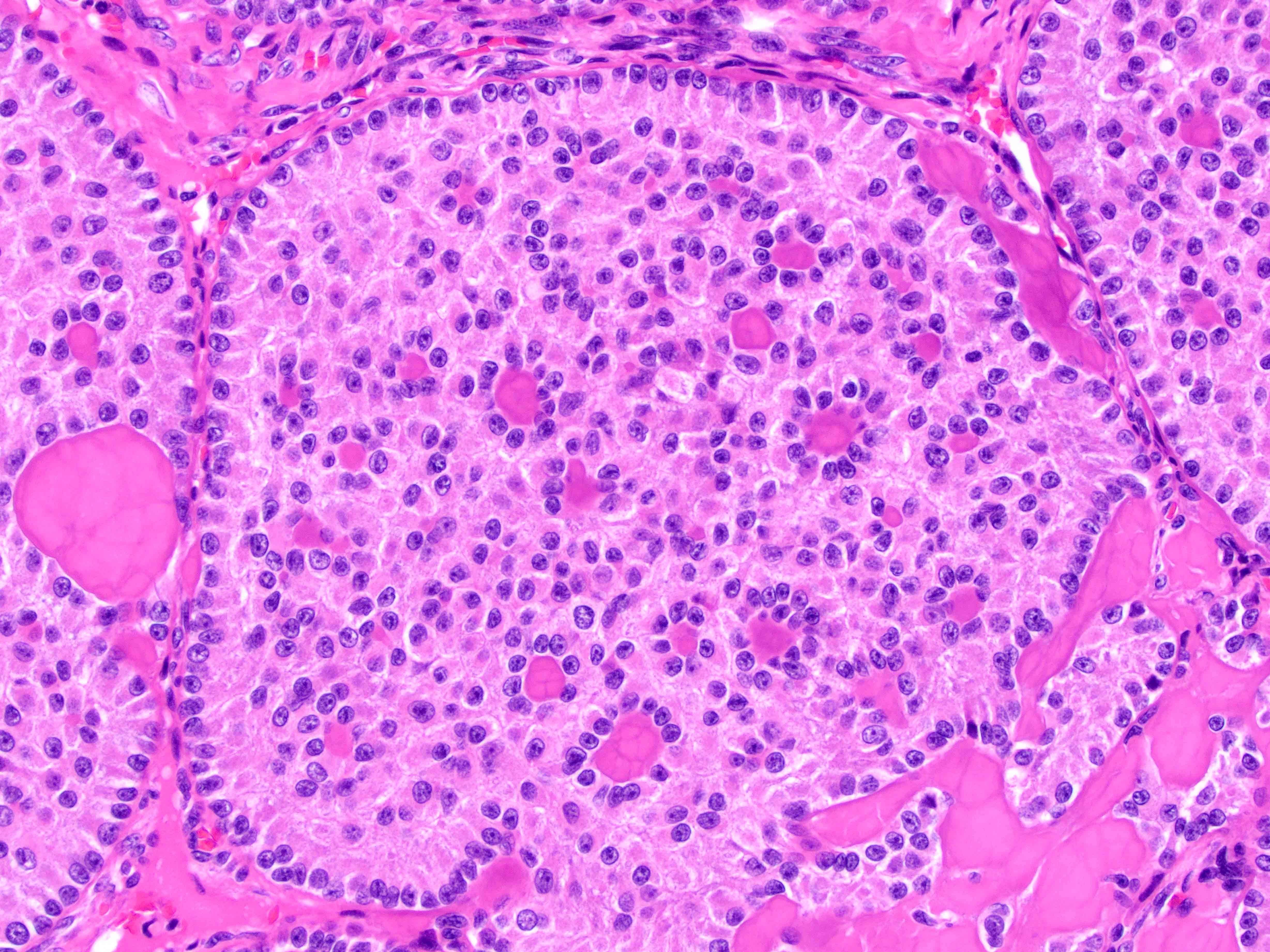
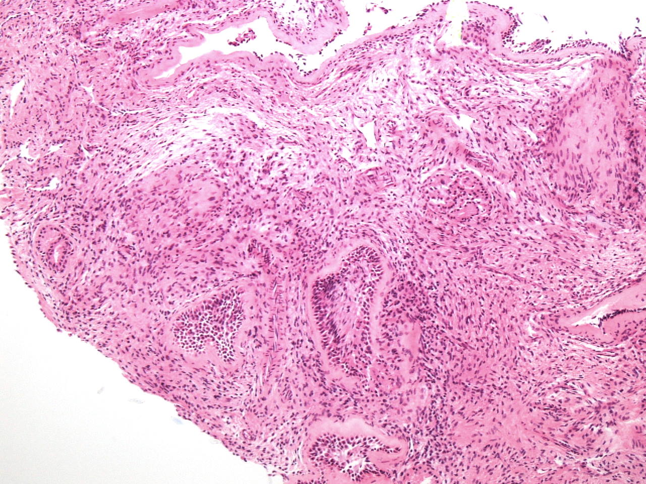
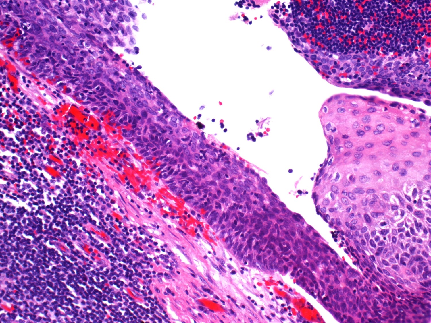
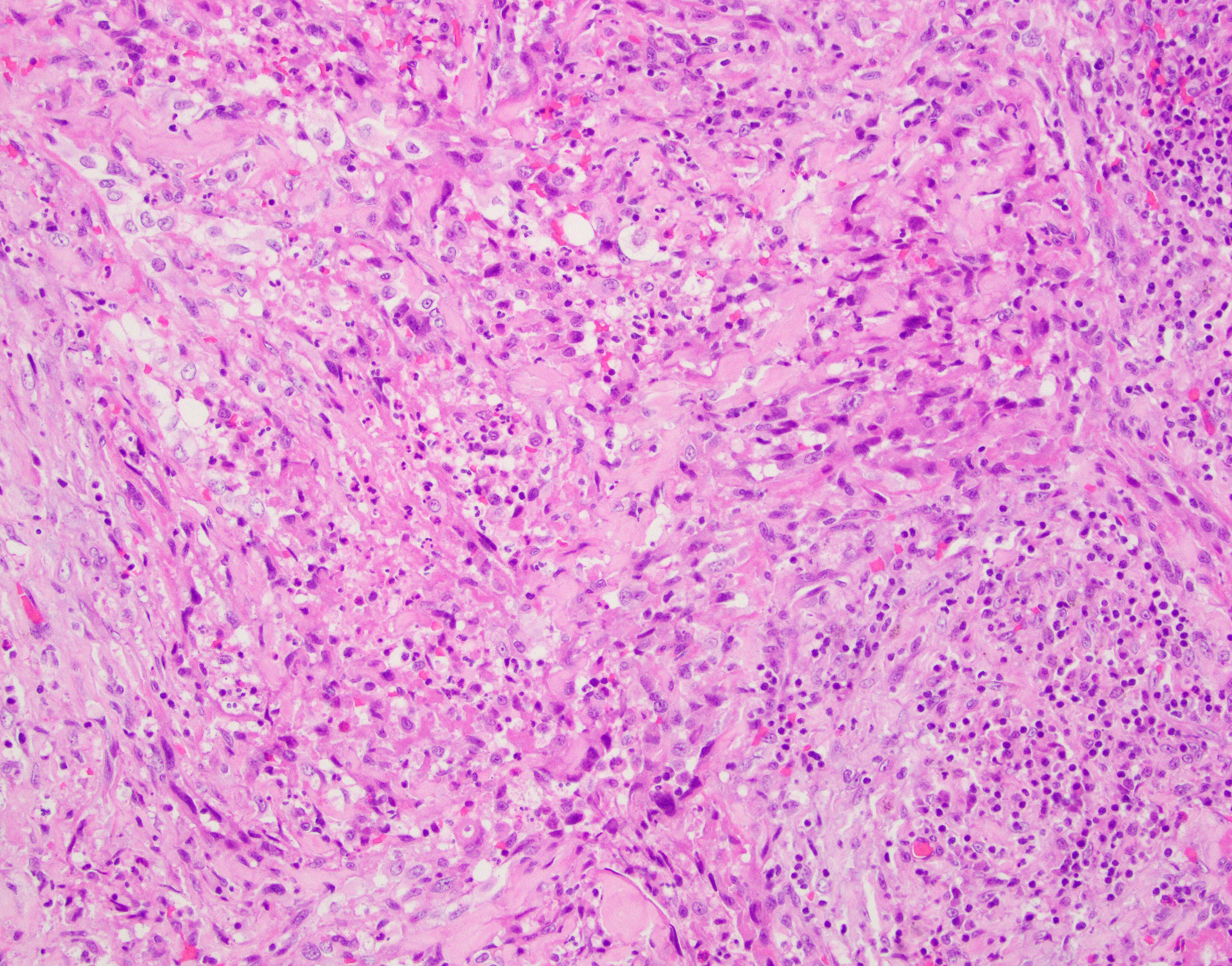
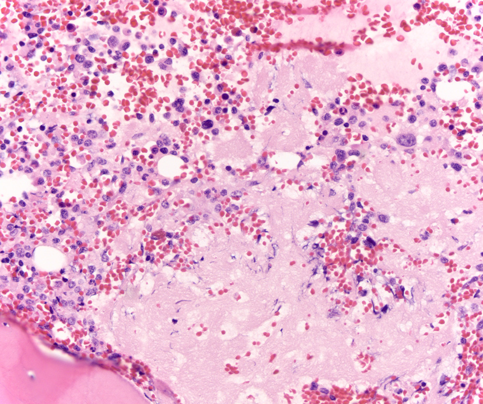
This is a biopsy from the olfactory cleft (skull base) in a 71-year-old woman with...

Case history:
A 14-year-old girl presented with left hip pain. Imaging studies show a...

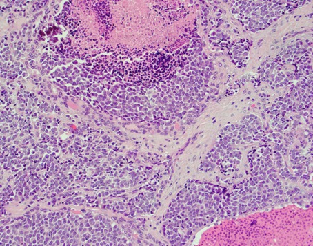
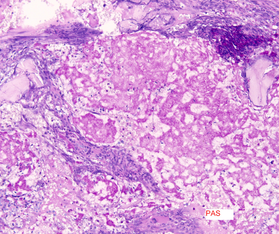
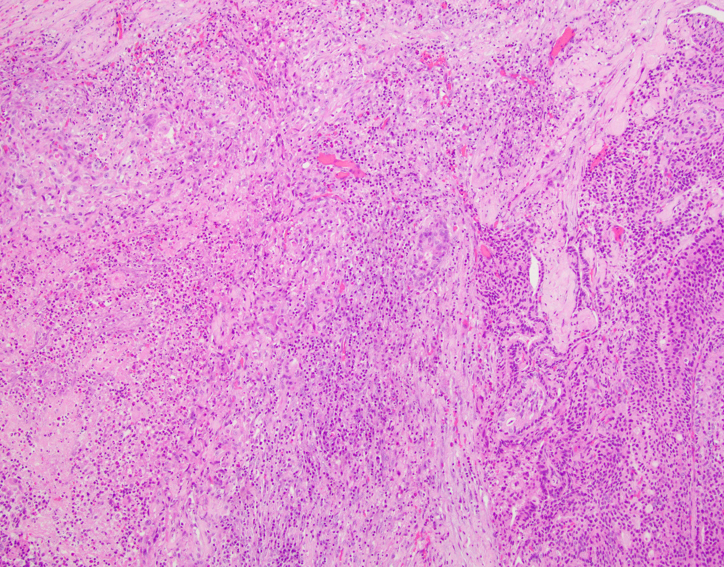
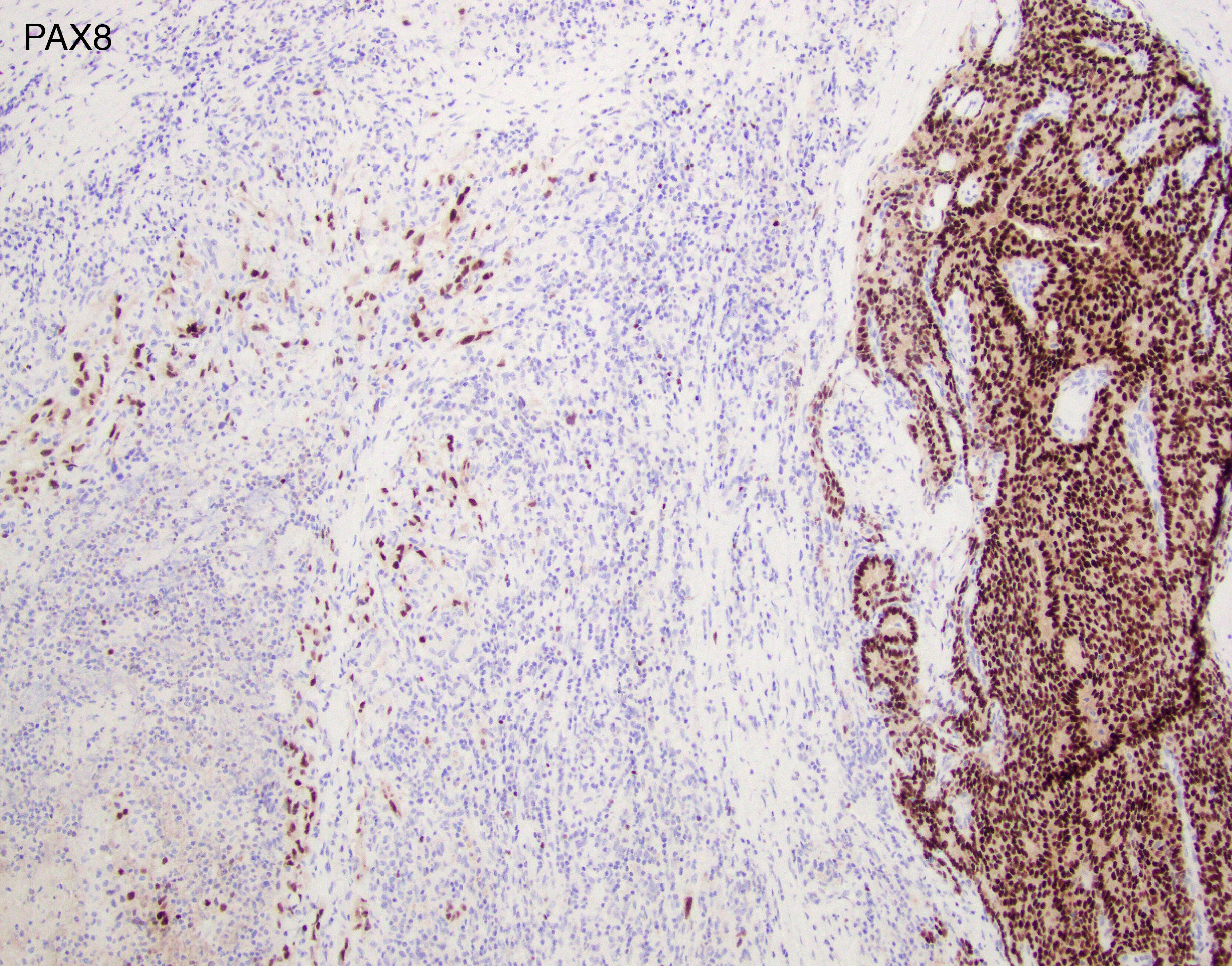
Case history: 17-year-old female with large, solid adnexal mass.
What is the diagnosis?
- Germ cell ...












