
Case history:
A 33 year-old female with ESRD 2/2 DM and simultaneous renal and pancreas transplant 4 years...

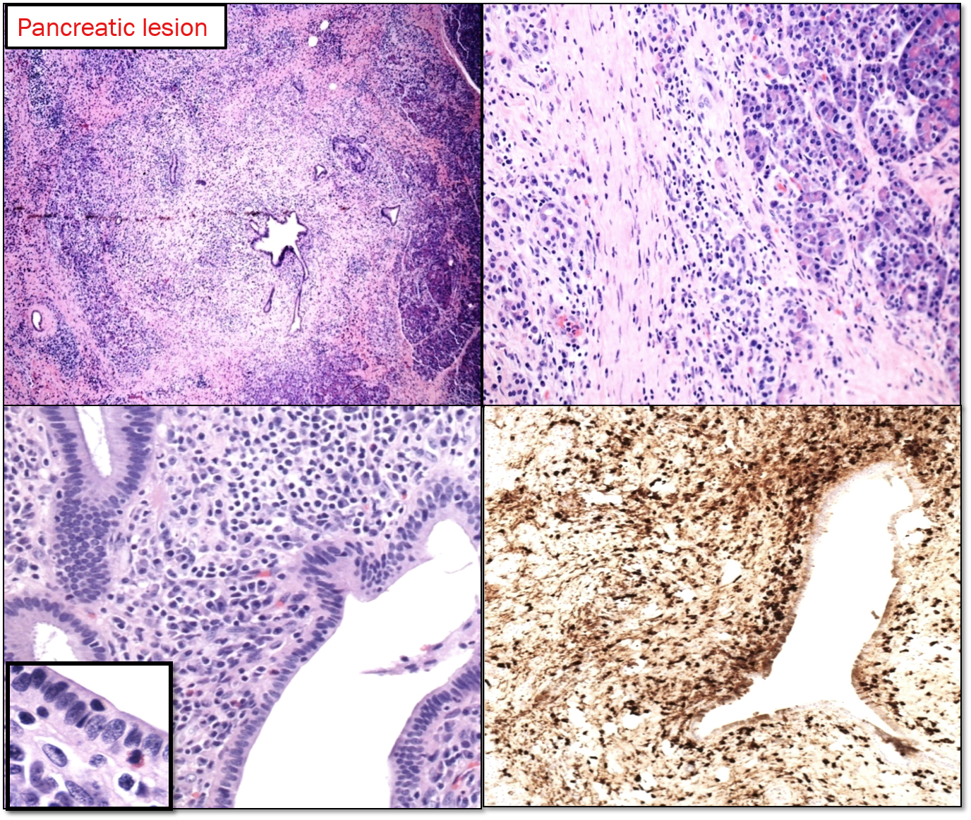
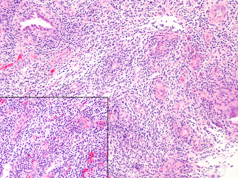
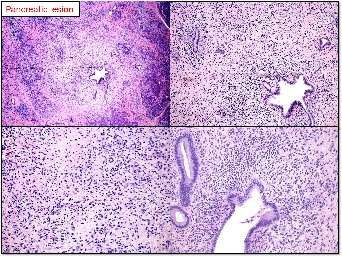
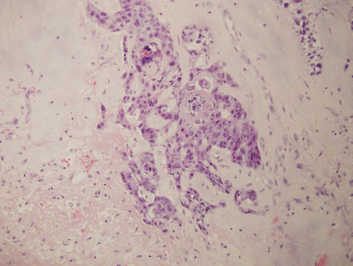
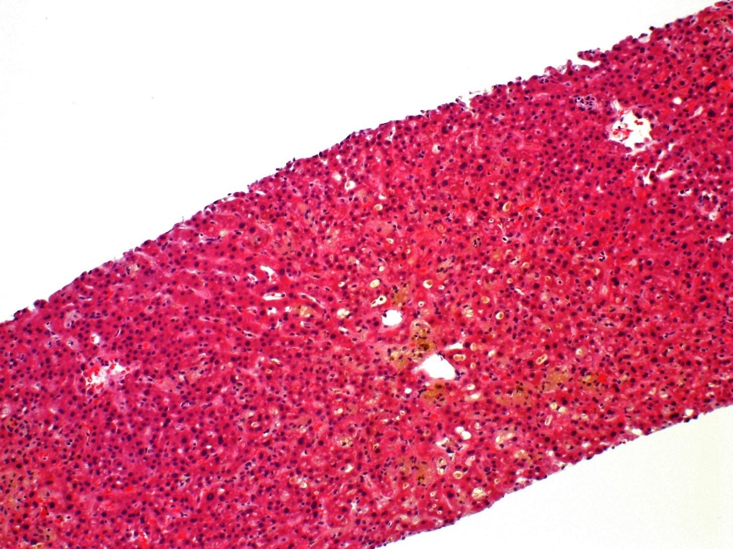
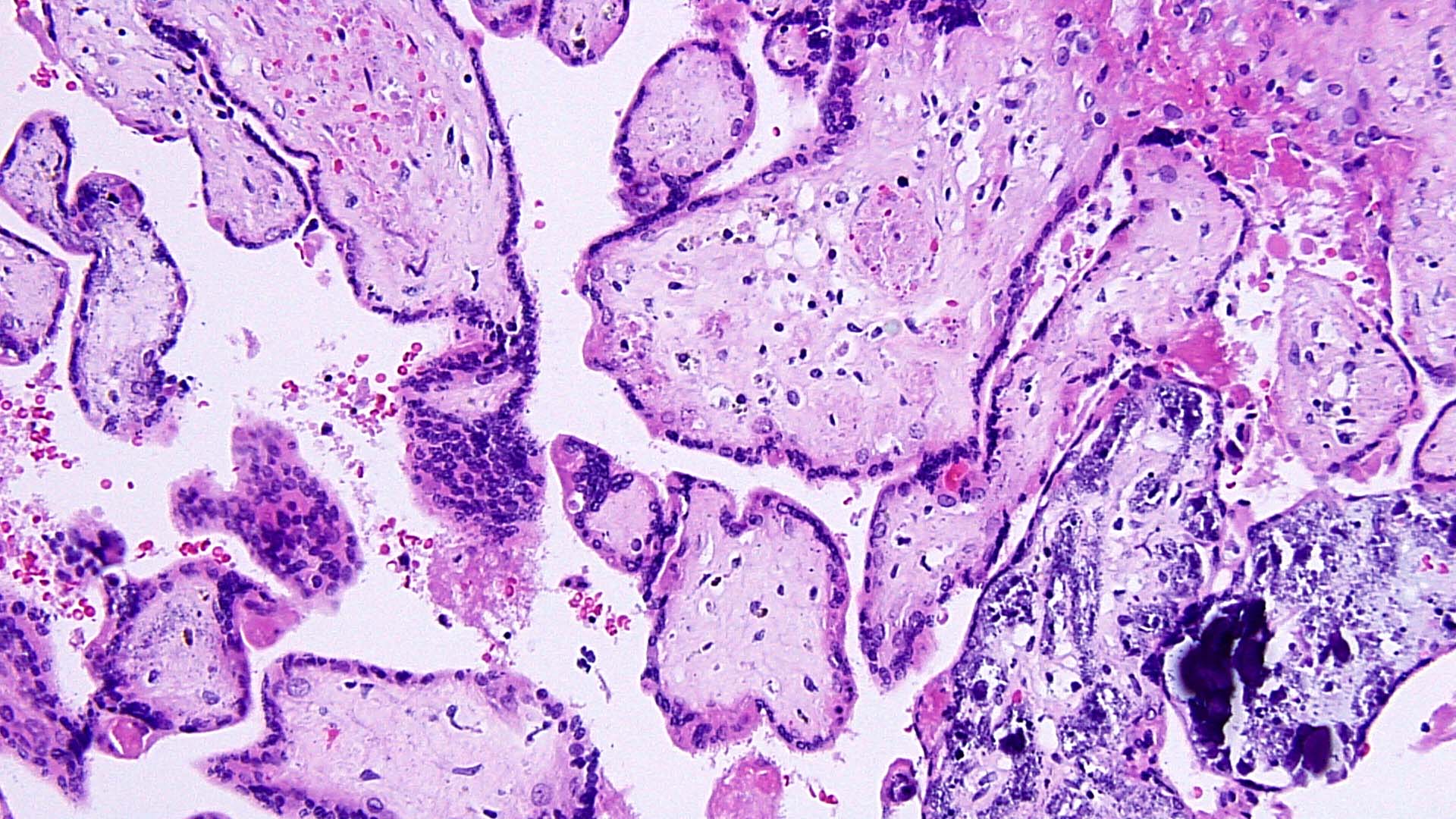
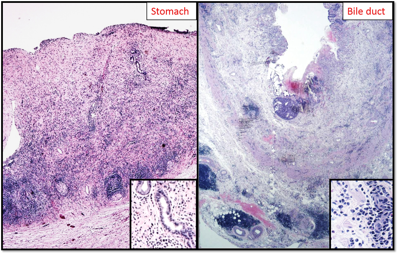
A 65-year-old male presented with abdominal pain and 4-5 pounds weight loss, but no biliary...
Tumor is grossly involving uterine serosa
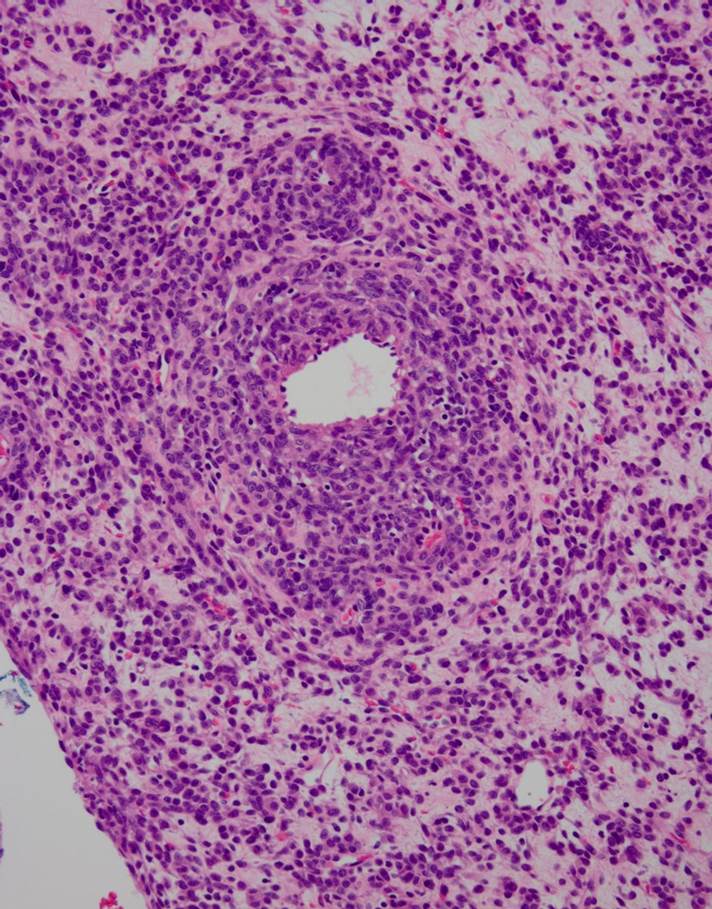
Myometrium with lymphovascular tumor invasion
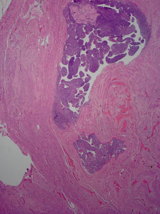
Detail of...

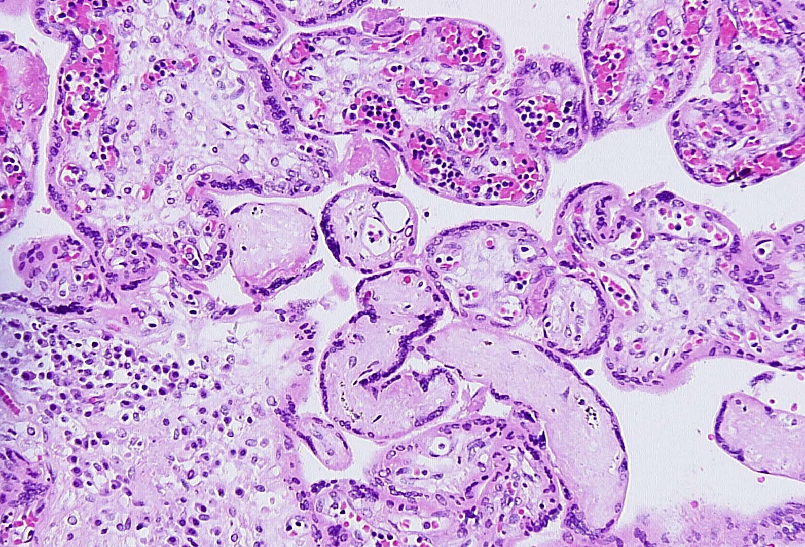
Clinical History:
17-year-old primigravida with delivery of live born infant at 31 weeks...
Clinical History:
A 13-year-old male undergoes orchiectomy for a testicular mass. Ultrasound shows an...
Clinical History:
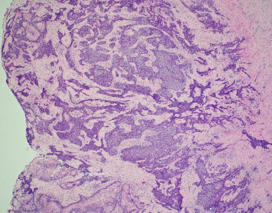
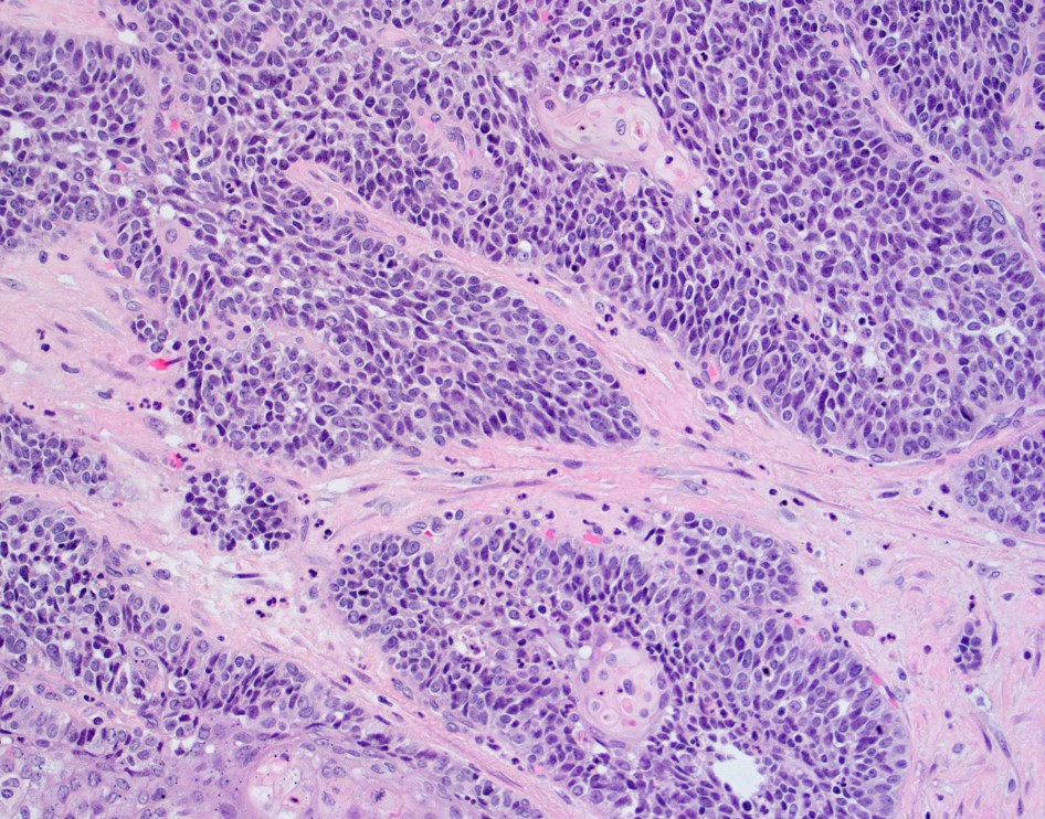
A 35 year- old female not known to be immunocompromised present with abnormal Pap...

Clinical History
The patient is a 73-year-old male with prostate cancer, HTN, hyperlipidemia and PE....

Clinical History:
This 39-year-old Hispanic woman, a never smoker, underwent thoracotomy and...


Clinical History:
A 71-year-old man with long standing history of hypertension presented with...
1) A 45-year-old woman described increased fatigue over a period of 1 week and decided to get a...
Clinical History
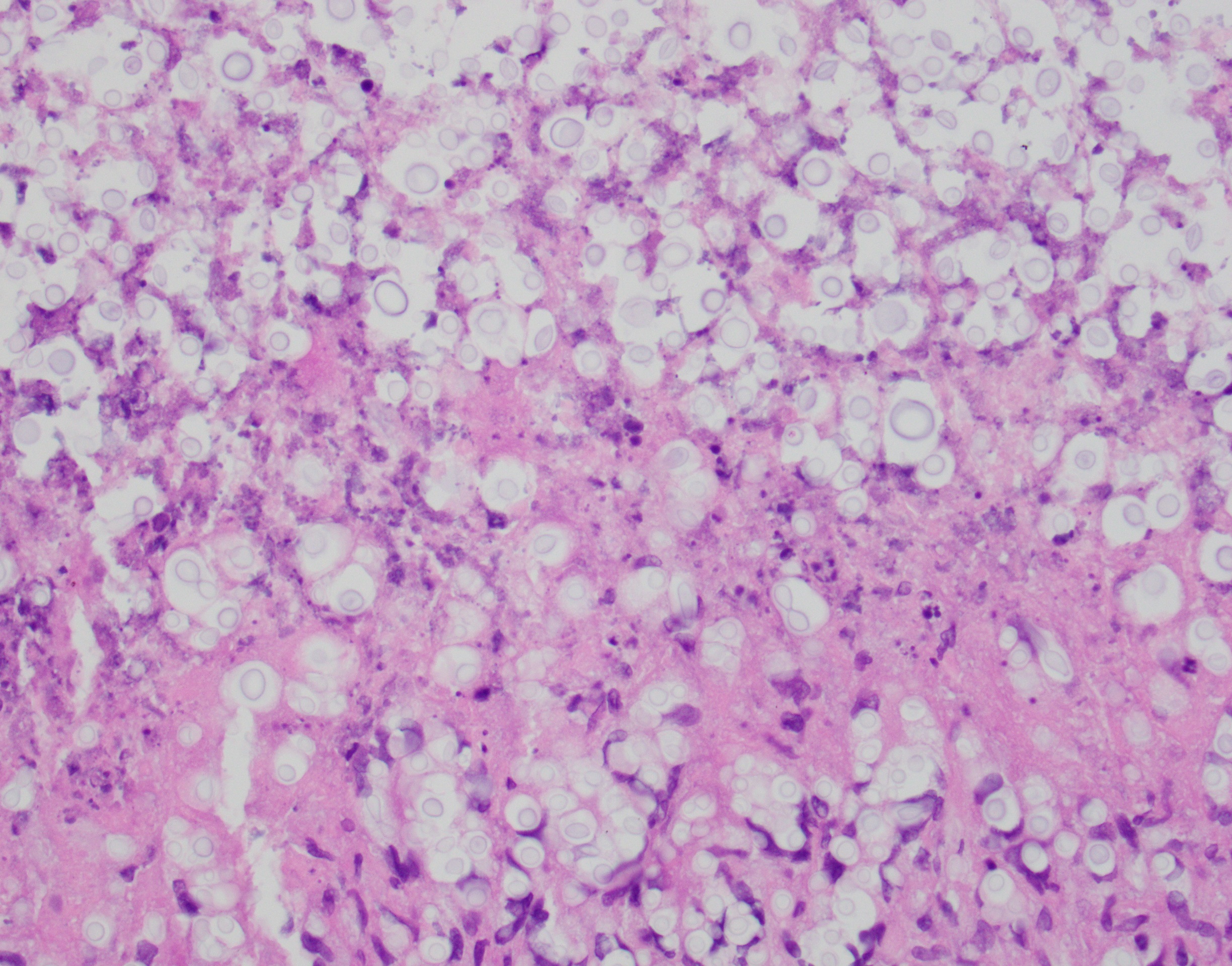
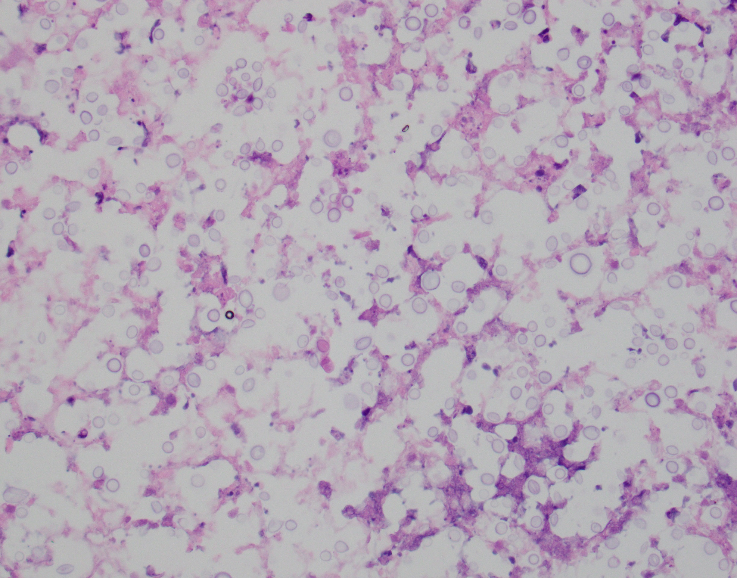
40 year old female with pelvic mass and friable cervix, biopsy was performed at OSH....

Clinical History
A 68 year old woman presents with a 5.8 cm adrenal mass identified incidentally...

Clinical History
A 28 year old male presents with gross hematuria after a trip abroad. Cystoscopy and...

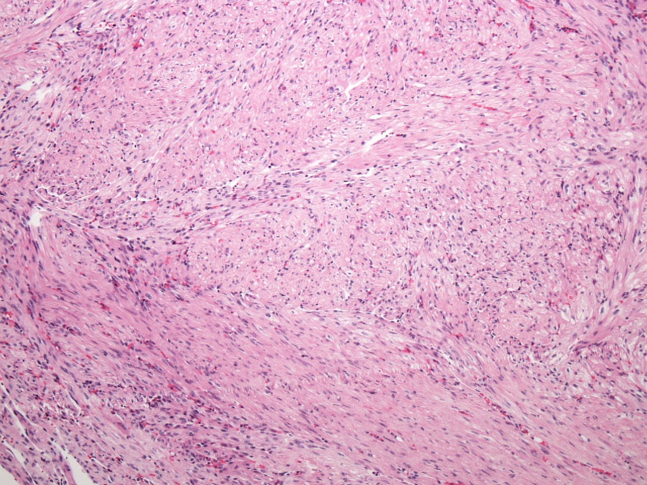
Resection of a 3.5 cm subcutaneous mass from the left hand of a middle-aged man...







