Explore UAB

Case History

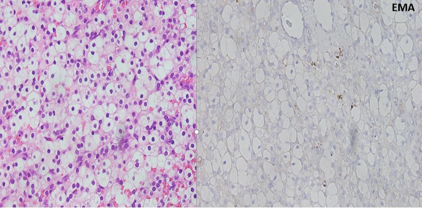
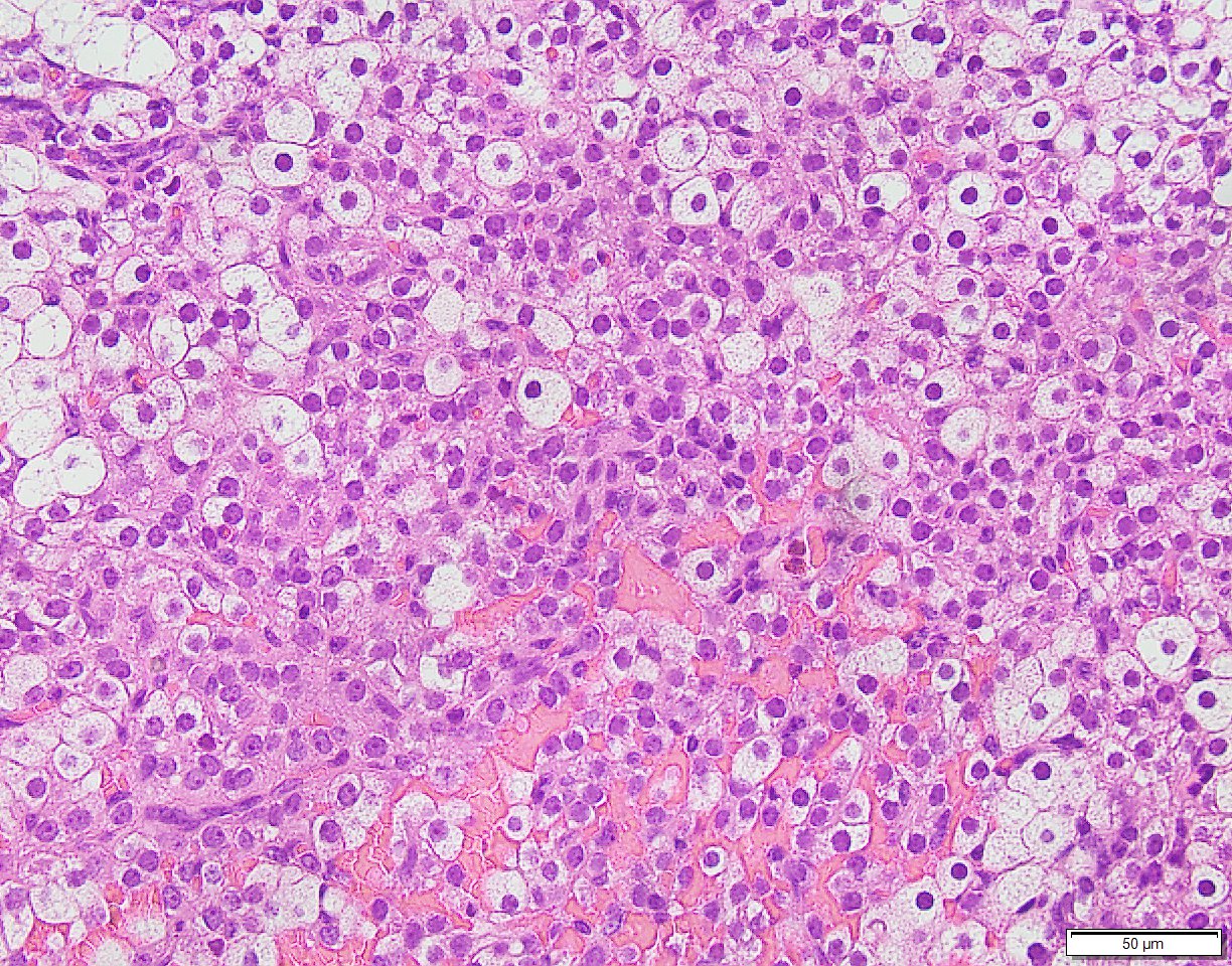
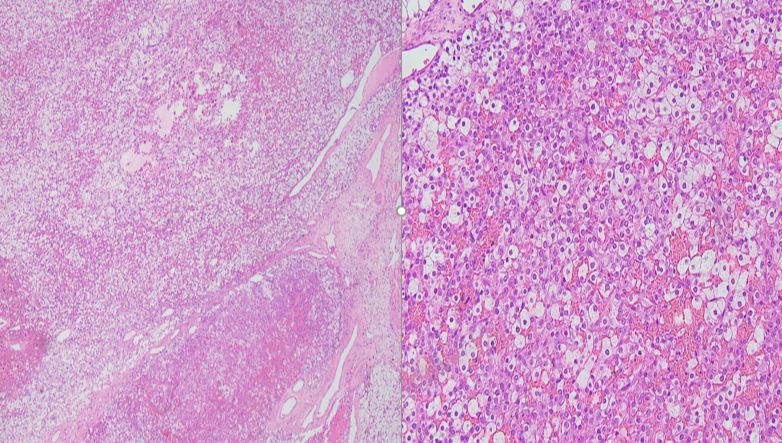
A 58-year-old woman presents with a 4.7 cm ovarian mass. The patient has a history of smoking, HTN, and DM2.  No definitive crystals are seen in the tissue sections examined. IHC images are shown. 
What is the best diagnosis?
A. Leydig cell tumor
B. Clear cell carcinoma of ovary
C. Metastatic clear cell renal cell carcinoma
D. Steroid cell tumor, NOS

  Question photo 1 Question Photo 2 Question photo 3 Question Photo 4

Answer:

D. Steroid cell tumor, NOS

Steroid cell tumor NOS is the correct diagnosis. The tumor cells are SF-1+, inhibin +, calretinin+, EMA-, PAX8-, and CAIX-.  All of the other and choices would be in the differential.  Leydig cell tumors have an identical immunoprofile, but Reinke crystals would be present and are required for the diagnosis.  Clear cell carcinoma of the ovary can form solid groups of clear cells, but the cells would be EMA+ and PAX8+ and negative for the typical sex cord tumor markers.  Metastatic clear cell renal cell carcinoma may show similar clear cell morphology, but would have a different immunoprofile including being  PAX8+, CAIX+, and EMA+. Metastatic adrenal cortical carcinoma would also be a consideration if there was history of an adrenal mass. The immunoprofile would be essentially the same.

Case contributed by: Tyler Clemmensen, M.D., UAB Pathology GYN/GU Pathology Fellow