Case History
This is a biopsy of a sinonasal mass in a 58-year-old man.
- Esthesioneuroblastoma
- Poorly differentiated squamous carcinoma
- Sinonasal undifferentiated carcinoma (SNUC)
- NUT carcinoma
Answer: C: Sinonasal undifferentiated carcinoma (SNUC)
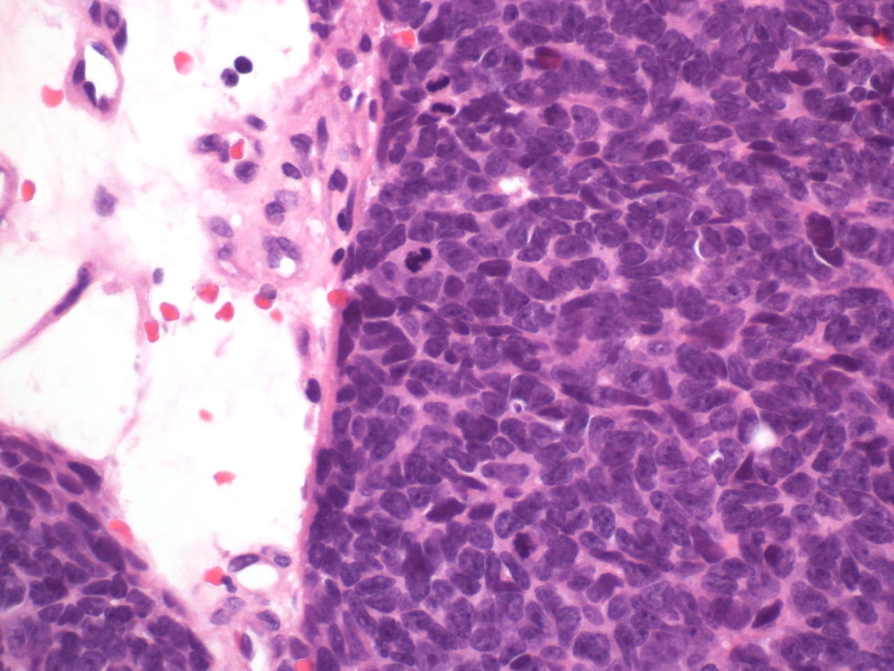
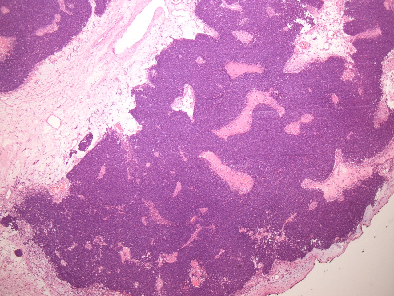
Sections show a mitotic, small blue cell tumor without obvious squamous differentiation or rosette formation. Immunostains for p40, synaptophysin, NUT and S-100 are negative. An immunostain for low molecular weight keratin is positive and SMARCB1 is retained. Small blue cell tumors of the sinonasal tract have a broad differential diagnosis. Esthesioneuroblastoma, rhabdomyosarcoma, squamous carcinomas, small cell neuroendocrine carcinoma, melanoma, lymphoma and SNUC are the historical differential diagnosis however NUT carcinoma and SMARCB1 negative carcinomas are more recently described tumors that enter into the differential. In this case the presence of low molecular weight keratin with absence of p40, NUT and neuroendocrine markers and retained SMARCB1 leaves only a diagnosis of sinonasal undifferentiated carcinoma.
References:
- Atlas of Head and Neck Pathology, Wenig, 2016, pp. 136-40
- Sinonasal undifferentiated carcinoma: clinicopathological spectrums and diagnosis reappraisal. Vaziri Fard E, Zhang S, Cai Z, Ding J, Sun Q, Saluja K, Zhu H. Hum Pathol. 2019 Jul;89:62-70.
- SMARCB1 (INI-1)-Deficient Adenocarcinoma of the Sinonasal Tract: A Potentially Under-Recognized form of Sinonasal Adenocarcinoma with Occasional Yolk Sac Tumor-Like Features. Shah AA, Jain D, Ababneh E, Agaimy A, Hoschar AP, Griffith CC, Magliocca KR, Wenig BM, Rooper LM, Bishop JA. Head Neck Pathol. 2019 Aug 29.
Case contributed by: Tom Winokur, M.D., Professor, Anatomic Pathology, UAB Pathology
