Case History
A 55-year old female underwent CT of the abdomen for renal transplant evaluation revealing a 3.3 cm right renal lesion and a 3.2 cm soft tissue mass in the right celiac region. The soft tissue mass was biopsied. What is your diagnosis?
- Leiomyoma
- Schwannoma
- Gastrointestinal stromal tumor
- Solitary Fibrous Tumor

Answer:
The correct answer is B: Schwannoma.
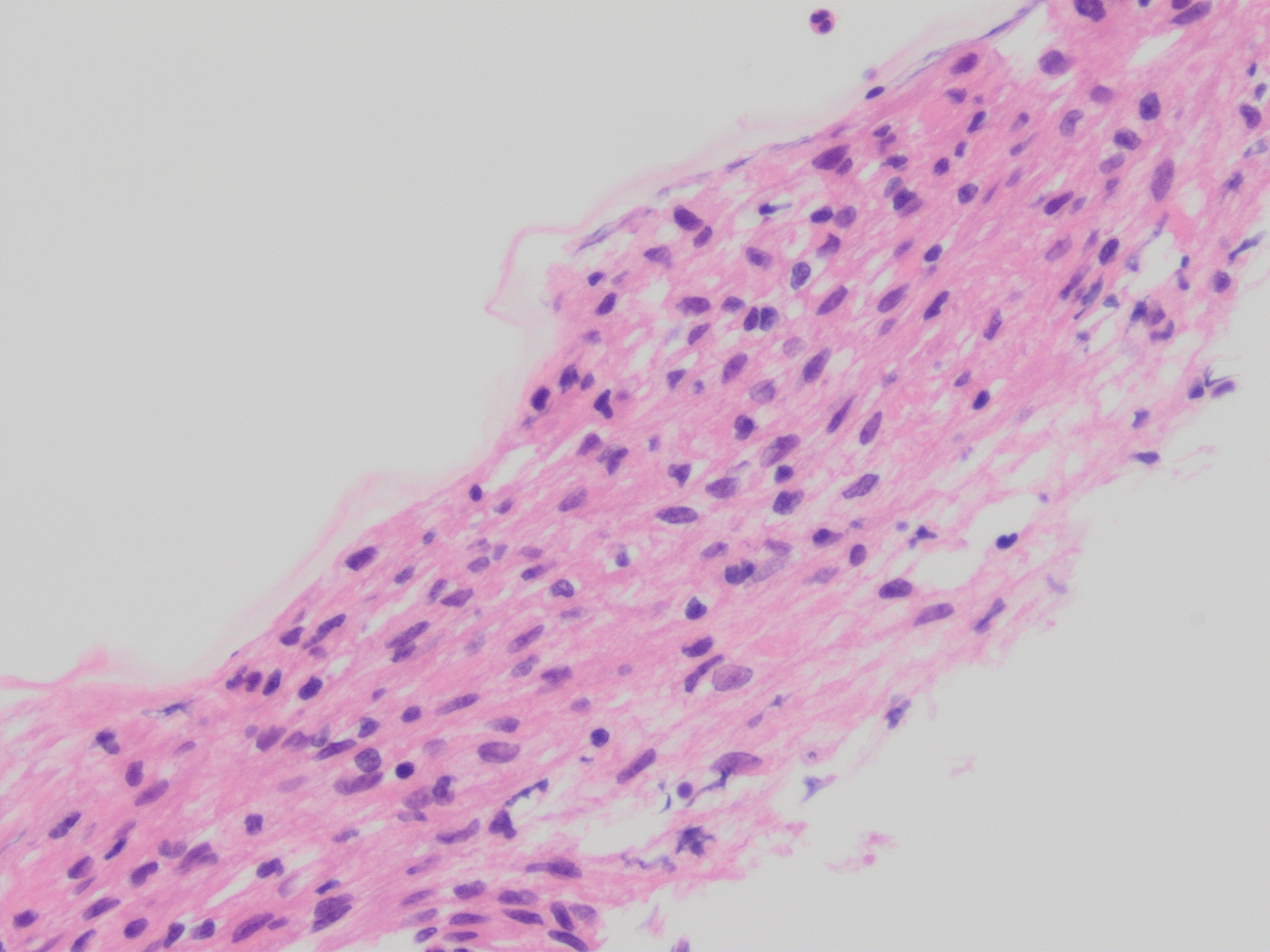
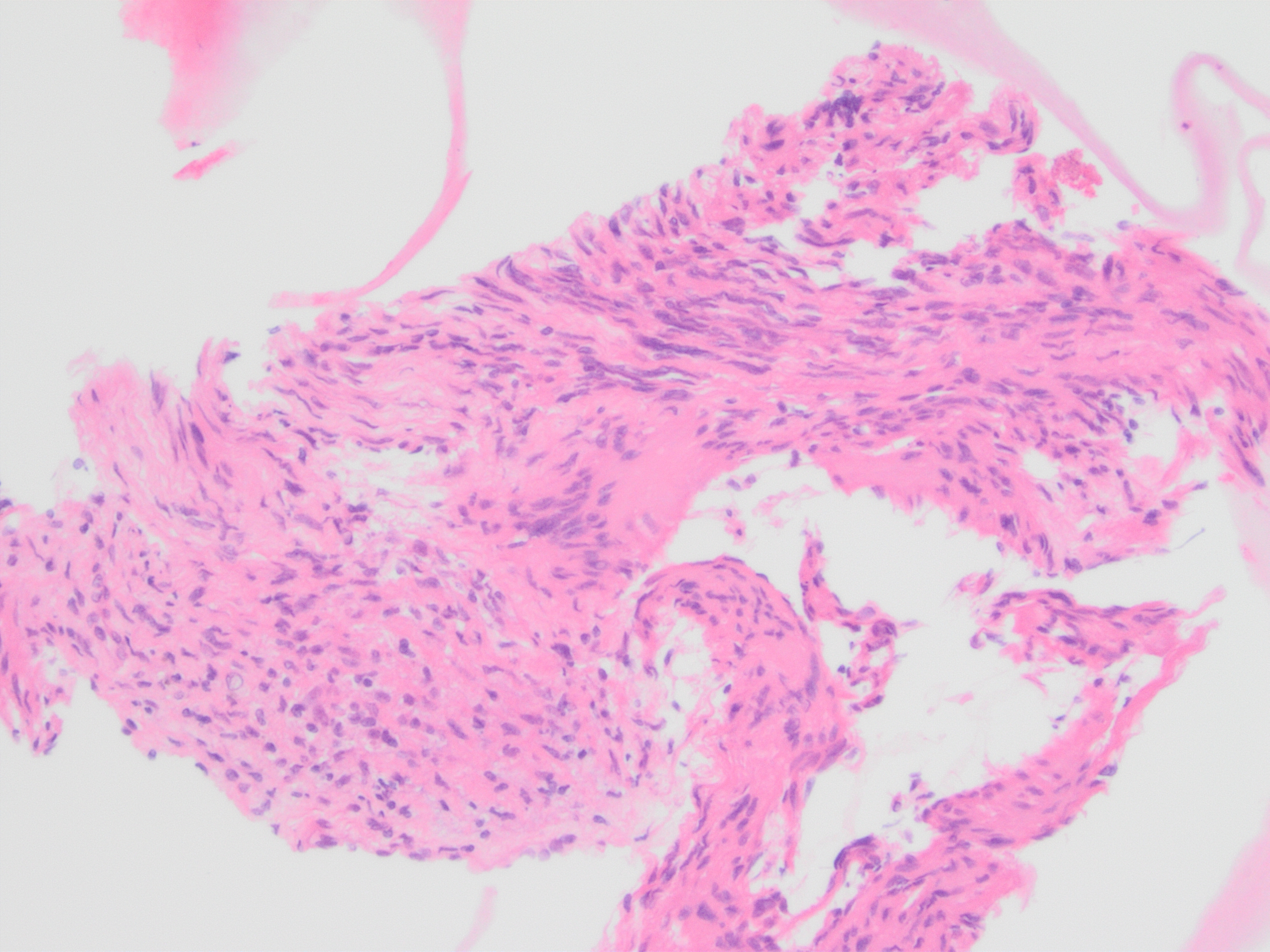
Immunohistochemistry was diffusely positive for Sox-10 and negative for C117 (C-kit), DOG1, SMA, CD34, supporting neural crest origin. On cytology, note a large tissue fragment with variable cellularity showing oval to wavy, “fishhook” nuclei on higher magnification and indistinct cell borders. On cell block, note the abundant filamentous cytoplasm and subtle nuclear palisading.
Case contributed by: Joseph Kaminsky, M.D., UAB Pathology, Cytopathology Fellow