Case History
A 35-year-old male with an excision for anal condylomas. What is the underlying infectious agent?
- T. Palladium
- Human Immunodeficiency virus
- High-risk Human Papilloma Virus
- Low-risk Human Papilloma Virus

Answer: A.) T Palladium

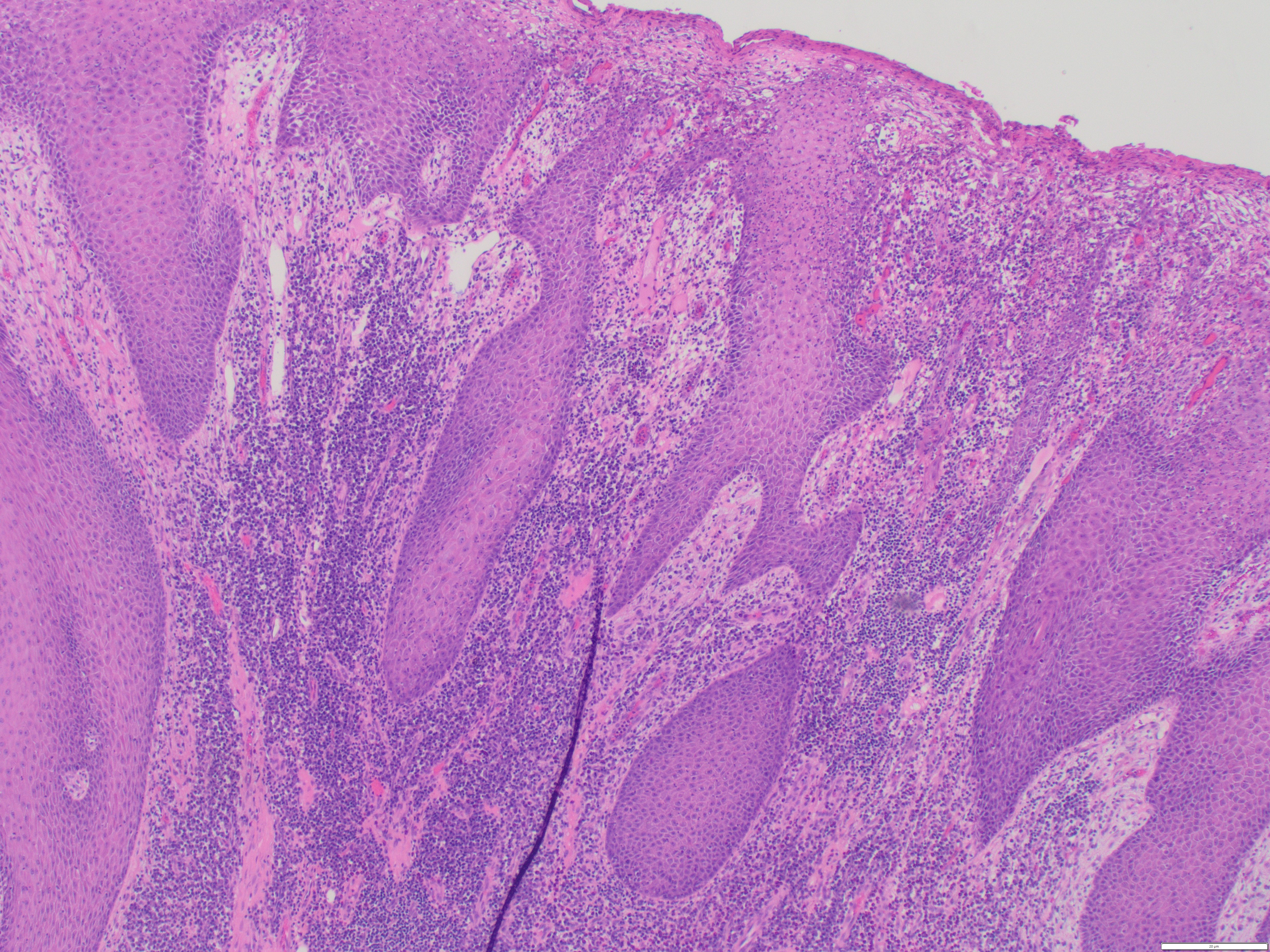
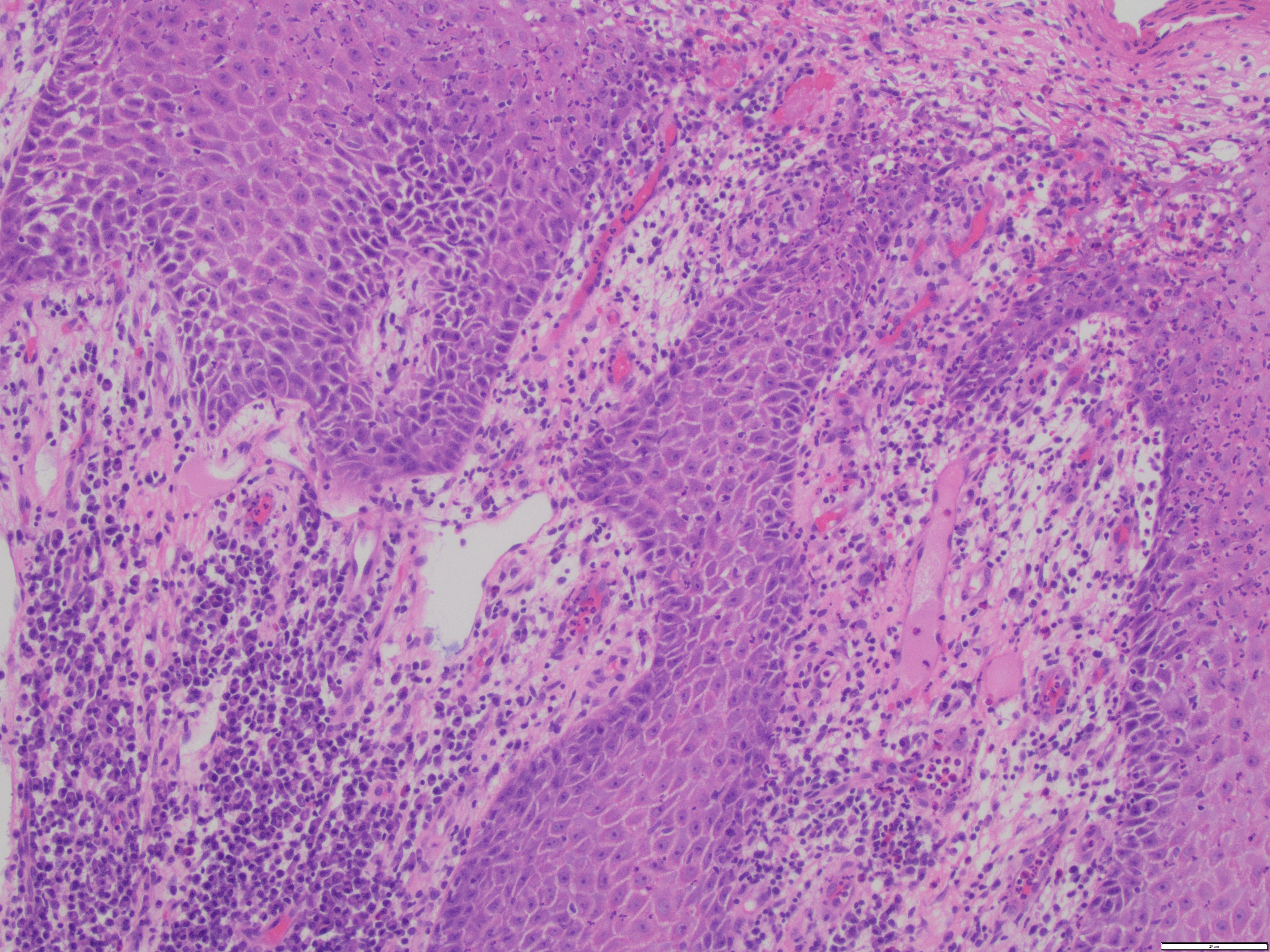
Discussion: Condyloma lata are cutaneous wart-like lesions of the genitalia caused by the spirochete T. pallidum (syphilis). Clinically, these lesions can resemble the more recognized counterpart, HPV-related condyloma acuminatum. However, on histologic examination, Condyloma lata contain epidermal hyperplasia with superficial neutrophils and intense dermal mononuclear cell infiltrate (classically dense plasmacytic inflammation as seen in this case). There is an absence of of the HPV-related koilocytic change, which are typically seen in a condyloma acuminatum.
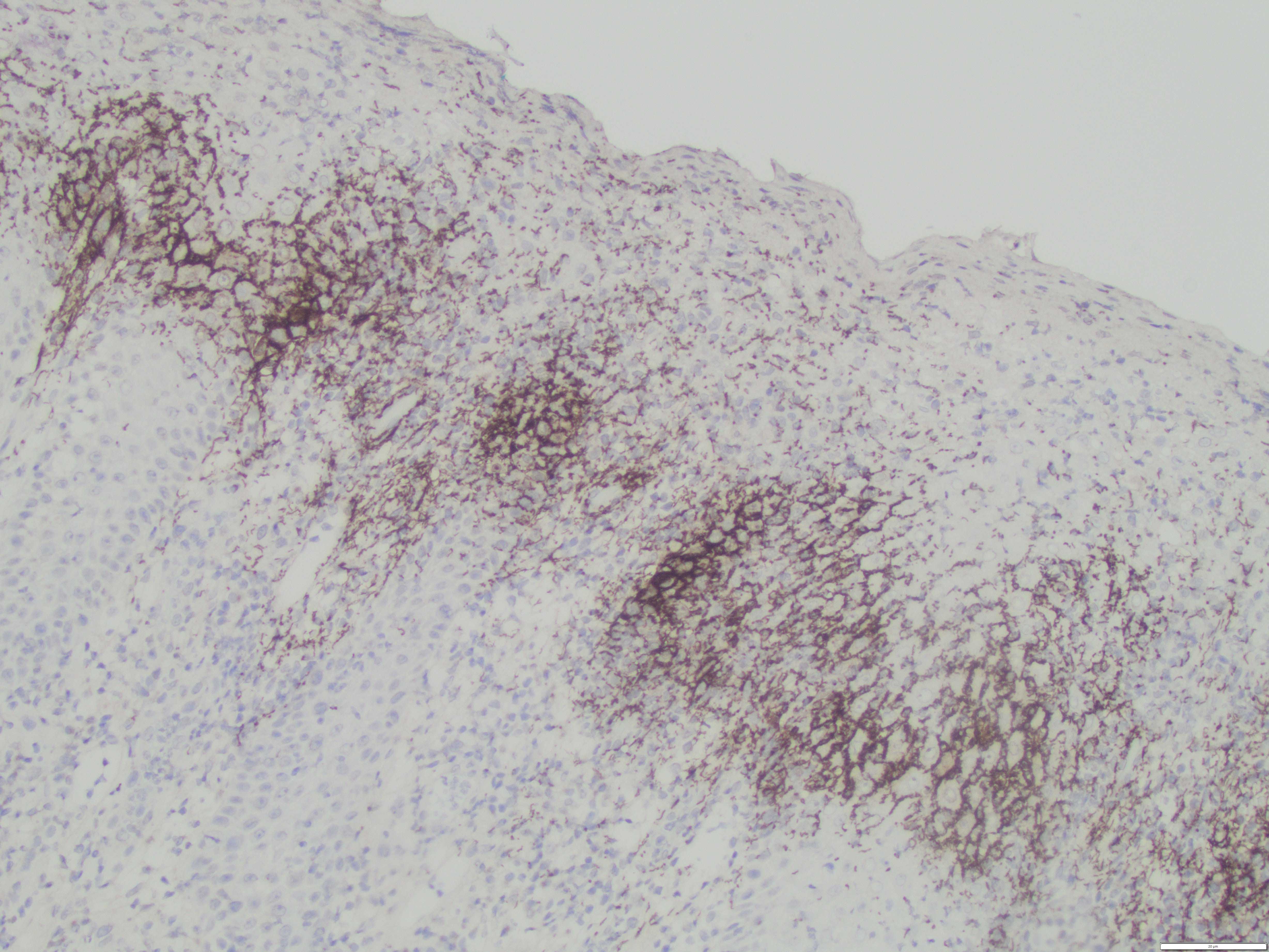
Often, there is high-clinical suspicion for secondary syphilis as these can be highly contagious and contain large number of spirochete organisms, as evidenced by thespirochete immunohistochemical stain.
Case contributed by: Chirag Patel, M.D., Assistant Professor, Anatomic Pathology