Case History
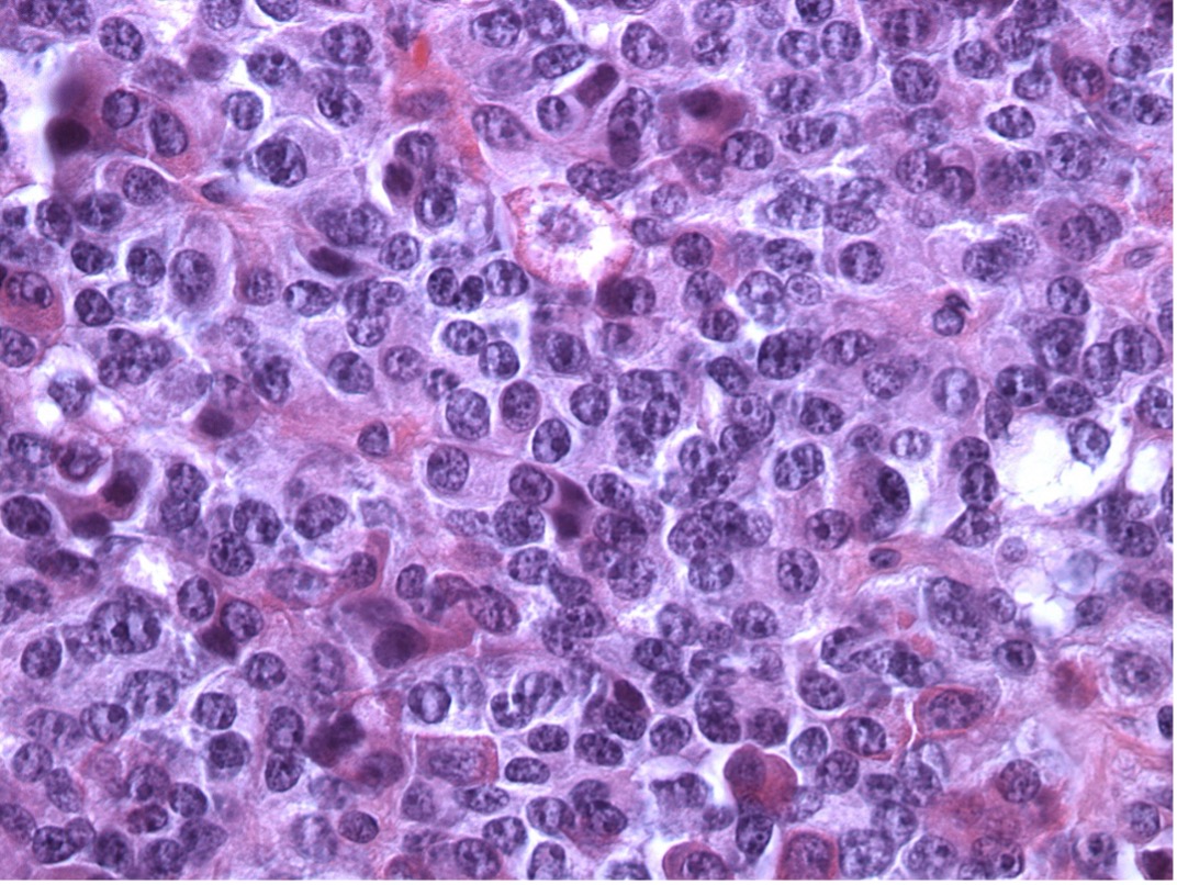
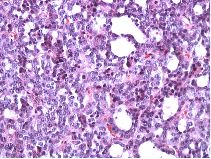
A 31 year-old man presented with enlarged supraorbital ridges, wide nose, and prognathism. Imaging studies demonstrate a thickened skull, enlarged frontal sinus, and a sella mass. Histopathology: solid neoplasm, interrupted by “pseudoglandular” spaces. Cells had eosinophilic cytoplasm and prominent nucleoli:

Presumed diagnosis and stains?
- Pituicytoma – TTF-1, S-100.
- Pituitary adenoma – ACTH, Ki-67.
- Craniopharyngioma – Beta-catenin.
- Pituitary adenoma – Growth hormone, Pit-1.
Answer: D. Pituitary adenoma (densely granulated), GH and Pit-1.
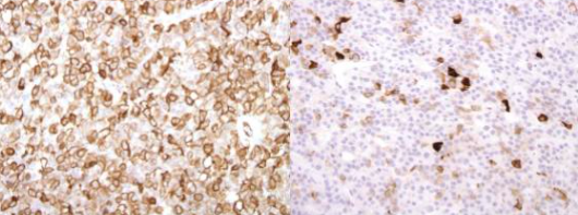
Discussion: Densely granulated somatotroph adenomas are eosinophilic and have a solid growth pattern. The pseudoglandular areas and prominent nucleoli are often seen in TSH adenomas. Pit-1 drives both GH and TSH (and Prolactin) producing adenomas. This patient had elevated TSH and GH on his lab studies. GH (left) and TSH (right) are below:

Case contributed by: Rob Hackney, M.D., Associate Professor, Anatomic Pathology, Neuropathology