Case History
A 95 y/o male, non-smoker, with hx of ocular pemphigoid on immunosuppressants. 4 cm left level 4 mass, firm and fixed without tenderness to palpation.
What is the best diagnosis?
- Metastatic squamous cell carcinoma
- Metastatic prostatic adenocarcinoma
- Metastatic papillary thyroid carcinoma
- Metastatic renal cell carcinoma


The answer is “D”, metastatic prostatic adenocarcinoma.
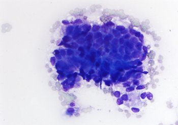
The specimen consists of three-dimensional sheets and clusters of atypical cells with prominent nucleoli and moderate amounts of fluffy cytoplasm. Some papillary structures are noted.

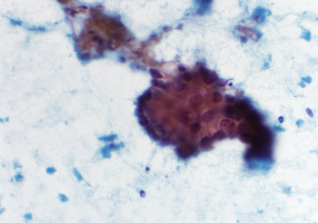
Immunohistochemical stains were performed on this case. The cells were positive for P501S and NKX3.1, and negative for CK7, CDK20, TTF-1 and SATB2.
Prostatic adenocarcinoma is the second most common cancer and second leading cause of cancer related death in American men. Its disease presentation ranges from asymptomatic to distant metastasis with systemic involvement. The axial skeleton, retroperitoneal lymph nodes and the regional lymph nodes are the most frequent sites of metastasis, but distant metastasis to cervical lymph nodes is an uncommon presentation. Although cervical lymph nodes are a common site of metastasis for head and neck malignancies, metastasis from the prostate can occur. Acinar structures and prominent nucleoli are distinguishing cytomorphologic features. Metastatic prostate cancer remains an incurable disease, which makes the discovery of prostate cancer in neck dissections for head and neck cancer an oncologically important finding.
References
Cibas ES, Ducatman BS. Cytology : Diagnostic Principles and Clinical Correlates. 6th ed. Philadelphia, PA: Saunders/Elsevier; 2020.