Case History
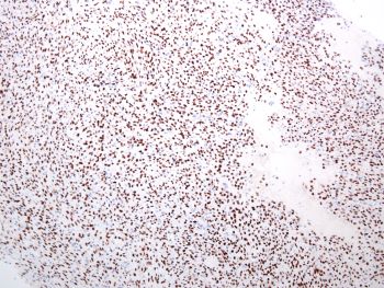
A 75-year-old man presents with a maxillary sinus mass. Immunostains are negative for keratins, desmin, Sox10, MUC4, Stat 6 and p63. The only positive immunostain is shown.
- Reactive stromal spindle cell proliferation
- Osteosarcoma
- Biphenotypic sinonasal sarcoma
- Solitary fibrous tumor

Answer: B. Osteosarcoma
Discussion:
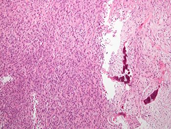
Sections show a spindle cell sarcoma with some small associated spicules of bone. Close examination of the spindle cell areas reveals an interstitial eosinophilic material that is consistent with osteoid. The immunostain provided is for SatB2 a sensitive but not specific marker of osteoblastic differentiation. The negative stains essentially exclude solitary fibrous tumor and biphenotypic sinonasal sarcoma. This tumor extended from the maxilla to the orbital floor. Osteosarcomas of the head and neck represent less than 10% of total osteosarcomas and most often arise from the mandible and maxilla. The main prognostic factor for these tumors is the margin status as they often recur locally.
1: Purgina B, Lai CK. Distinctive Head and Neck Bone and Soft Tissue Neoplasms.
Surg Pathol Clin. 2017 Mar;10(1):223-279. doi: 10.1016/j.path.2016.11.003. PMID:
28153134.
2: Machado I, Navarro S, Picci P, Llombart-Bosch A. The utility of SATB2
immunohistochemical expression in distinguishing between osteosarcomas and their
malignant bone tumor mimickers, such as Ewing sarcomas and chondrosarcomas.
Pathol Res Pract. 2016 Sep;212(9):811-6. doi: 10.1016/j.prp.2016.06.012. Epub
2016 Jun 26. PMID: 27465835.
3: Conner JR, Hornick JL. SATB2 is a novel marker of osteoblastic
differentiation in bone and soft tissue tumours. Histopathology. 2013
Jul;63(1):36-49. doi: 10.1111/his.12138. Epub 2013 May 23. PMID: 23701429.