Case History
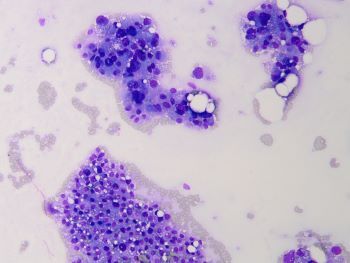
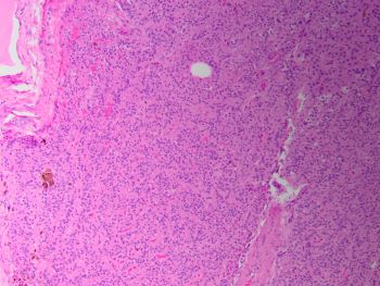
A middle-aged male presents with a solitary thyroid mass. Fine-needle aspiration and lobectomy are performed and representative sections are shown.
What is the best diagnosis?
- Follicular adenoma with bizarre nuclei
- Poorly-differentiated thyroid carcinoma
- Medullary thyroid carcinoma
- Parathyroid adenoma


Correct Answer: A. Follicular adenoma with bizarre nuclei
Discussion
The cytology smears show follicular cell groups with scant colloid and intermixed cells with large hyperchromatic nuclei and abundant cytoplasm. Histologic sections show an encapsulated lesion with follicular architecture. Scattered cells enlarged cells with bizarre nuclei are also noted, but this is more consistent with benign atypia seen in endocrine organs.
Case contributed by: Diana Lin, M.D., Assistant Professor, Anatomic Pathology