Case History
A 61-year-old female presents with a 3.5 cm renal mass. Provided are the H&E and CA9...
Case History
A 30-year-old female with a history of kidney transplantation and immunosuppression...
Case History
A 33 yo male with pancytopenia (thrombocytopenia >10 years, leukopenia for 3 years),...
Case History
An 82-year old man with a history of CKD, hypertension and recently diagnosed clear...
Case History
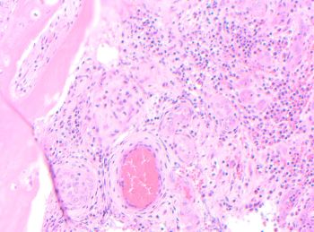
A 30-year-old man presented with a well-demarcated mandibular lesion of mixed density.

Case History
Appendectomy specimen with a clinical diagnosis of acute appendicitis.

Case History
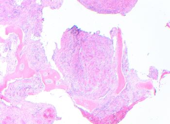
60 yr old male with a mandibular mass and lymphadenopathy. CBC showed marked absolute...
Case History
30-year-old with sellar/suprasellar mass

Case History
29 yo P1001 di/di twins at 33 weeks. Pre-eclampsia, selective IUGR baby B, PPROM.
Case History
60 yo female with a 28.7 cm solid, hemorrhagic, and degenerated uterine mass. Pelvic...
Case History
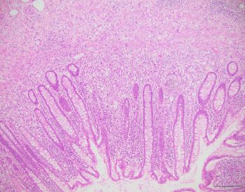
A 32-year-old male presents with abdominal pain and bloating. He undergoes a distal...
Case History
A female in her mid-40s was admitted for splenectomy due to splenomegaly. The...
Case History
26-year-old man presents with pericardial, right atrial and ventricular masses.
Past...
Case History
A 59-year-old female with a history of ESRD attributed to hypertension, a renal...
Case History
A 41-year-old female with a right breast circumscribed mass in the middle upper outer...
Case History
A 32-year-old female with a left breast suspicious mass at 12:00 o’clock underwent a...
Case History
A 43-year-old female presents with chronic unexplained diarrhea. Colonoscopy shows...
Case History
A 42-year-old female presents with nasal obstruction and a 3.0 cm polypoid nasal...
Case History
A 60-year-old male presented with a slowly enlarging, contrast-enhancing left lateral...
Case History
A 60 year-old-male presented with a lytic lesion of the C3 spinal vertebra. What is...