Case History
A 41-year-old female with a right breast circumscribed mass in the middle upper outer region.

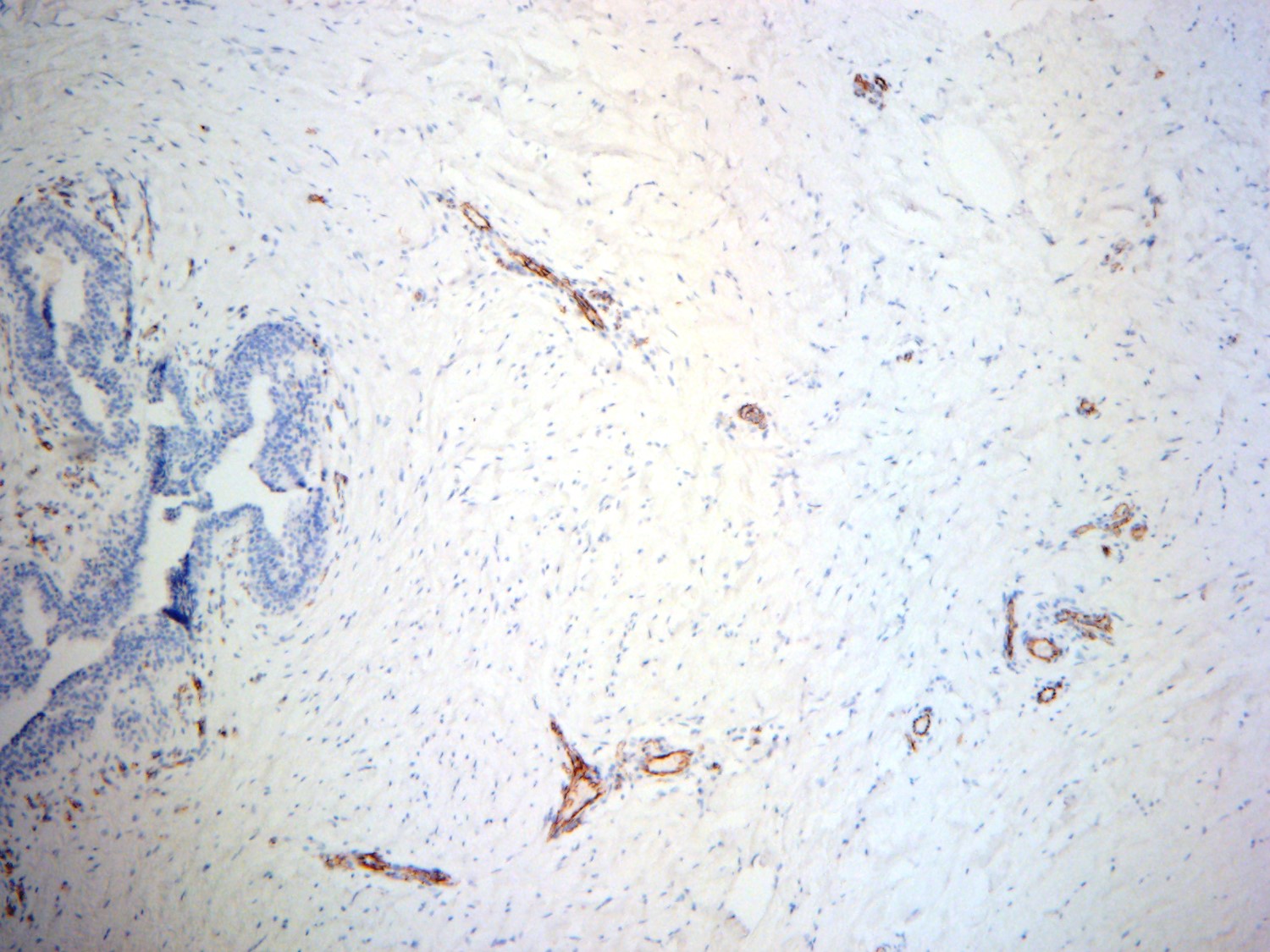
What is the diagnosis?
A. Pseudo-angiomatous stromal hyperplasia (PASH) tumor
B. Low-grade angiosarcoma
C. Cellular angiolipoma
D. Granulation tissue
Answer: A. PASH tumor
Discussion:
- PASH is most frequently a clinically insignificant microscopic finding
- Incidental finding in about 23% of breast biopsies
- Rarely produces a mass such as the one shown
- Slit-like, pseudovascular spaces lined by flattened myofibroblasts
- Myofibroblasts can aggregate into fascicles, termed fascicular PASH, similar to myofibroblastoma
- Vim/CD34/SMA/DES/PR (+)
- ER/CD31/Factor VIII (-)
Case contributed by: Hua Guo, M.S., M.D., Associate Professor, Division of Women's Health, UAB Pathology