Explore UAB

Case History

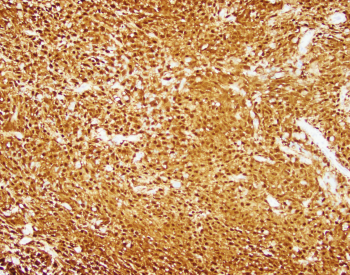
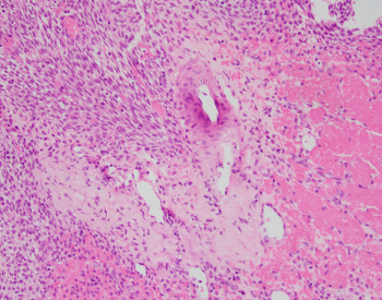
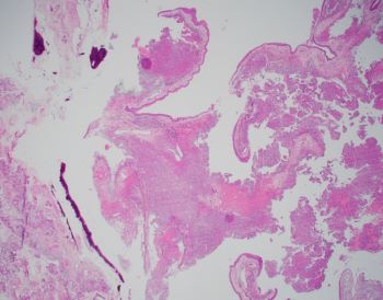
A 42-year-old female presents with nasal obstruction and a 3.0 cm polypoid nasal mass. The nasal mass shows cytologically bland spindle cell proliferation with scattered staghorn vessels and perivascular hyalinization. Provided are the H&E slides along with provided IHC including beta-catenin (tumor cells are diffusely and strongly positive for beta catenin nuclear staining, shown below) and SMA positivity (not provided). CD34 and STAT6 are negative.

 Ahmed_Case_1.1_2023.jpg Ahmed_Case_2_2023.png

Case_3.3_2023.jpg Ahmed_Case_4_2023.png

What is the best diagnosis?

A. Solitary fibrous tumor (SFT)
B. Nasal glomangiopericytoma/sinonasal glomangiopericytoma
C. Lobular capillary hemangioma

 

Case contributed by: Raheel Ahmed, M.D. Surgical Pathology Fellow, UAB Pathology