Case History:
17-year old male with right neck and axillary lymphadenopathy. Excisional biopsy of the right neck lymph node was performed:



What is the diagnosis?
A. Classical Hodgkin Lymphoma
B. Peripheral T-cell lymphoma, NOS
C. Anaplastic large cell lymphoma
D. Diffuse large B-cell lymphoma
Correct Answer: C. Anaplastic large cell lymphoma, ALK+.
Discussion:
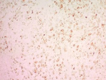
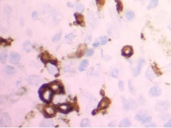
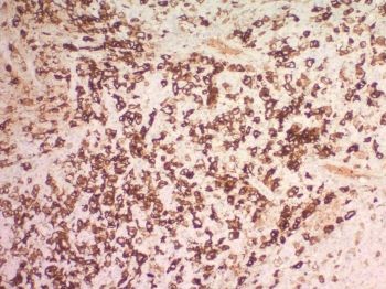
Sections of the lymph node show complete effacement of the lymph node architecture by atypical large cells with irregular nuclei, prominent nucleoli and abundant cytoplasm. Occasional large hallmark cells showing eccentric kidney-shaped nuclei are recognized. Mitoses are readily recognized, along with abundant apoptotic bodies. The background show many inflammatory cells that include small lymphocytes, plasma cells, neutrophils, and eosinophils. The atypical cells exhibit strong, diffuse reactivity for CD30 with membranous and Golgi area staining. The large atypical cells are positive for EMA and CD5 and appear to be negative for CD15, CD3, CD2, CD20, PAX5, and BCL2. ALK staining highlights a large subset of atypical large cells.
Case contributed by: Mohamed Masoud, M.D., Hematopathology fellow