Case History:
51-year-old female undergoing resection of a left adrenal cortical adenoma was incidentally found to have a periaortic retroperitoneal mass during surgery.


What is the diagnosis?
A. Mantle cell lymphoma
B. FDC sarcoma
C. Castleman disease
D. Rheumatoid arthritis
Correct Answer: C. Castleman disease
Discussion:
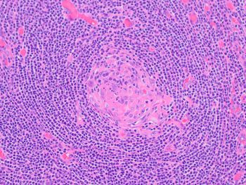
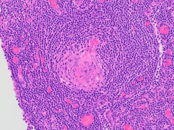
The lymph node is involved by Castleman disease, hyaline vascular variant. With disease localized to just the retroperitoneal “mass,” clinically the patient has unicentric Castleman disease. Histologically, the lymph node demonstrates a proliferation of follicles showing regressed/atretic hyalinized germinal centers with prominence of sometimes dysplastic-appearing follicular dendritic cells. There is radial penetration of germinal centers by blood vessels (so-called "lollipop" sign), and follicles with 2 or more germinal centers (so-called "twinning") are seen. There is broad expansion of mantle zones in an onion-skin appearance. The interfollicular areas contain increased thickened vessels with occasional sclerosis, occasional dysplastic-appearing follicular dendritic cells, and consists mostly of small lymphocytes with occasional transformed forms.
Case contributed by: Dr. Wilberger, M.D., Assistant Professor, Hematopathology